УРАЛЬСКАЯ ГОСУДАРСТВЕННАЯ МЕДИЦИНСКАЯ
АКАДЕМИЯ ДОПОЛНИТЕЛЬНОГО ОБРАЗОВАНИЯ
РЕФЕРАТ
на тему:
«Ультразвуковая диагностика воспалительных заболеваний придатков матки».
Выполнил: Кравченко С.В.
г. Оренбург 2000г.
Ультразвуковая диагностика воспалительных заболеваний придатков матки.
В настоящее время ультразвуковое сканирование рассматривают как один из наиболее доступных и достоверных методов инструментальной диагностики воспалительных заболеваний внутренних половых органов. Этому главным образом способствовало появление приборов, работающих в режиме реального времени по принципу «серой шкалы» - системы многотонального изображения.
Однако, по мнению клиницистов, детальная интерпретация эхограмм, полученных при сканировании по методике «наполненного мочевого пузыря», нередко вызывает определённые трудности, обусловленные идентичностью акустических импедансов различных тканей. Прямые УЗ-признаки воспалительного процесса удаётся зарегистрировать в среднем у 30% - 40% больных[2]. Лишь при гидросальпингсах, являющихся следствием острого сальпингита или обострения хронического сальпингита, точность диагностики достигает 100%.
Данные литературы последних лет свидетельствуют о том, что наиболее характерные и диагностически значимые эхографические критерии различных клинических форм воспалительных заболеваний придатков матки удаётся выделить только с помощью трансвагинального ультразвукового сканирования.
Внедрение в клиническую практику трансвагинальной эхографии позволило одномоментно устранить недостатки, свойственные трансабдоминальному сканированию.
Во-первых
, повысилась информативность ультразвукового исследования вследствие уменьшения расстояния между эхопреобразователем и изучаемым органом или новообразованием, а также преимущественного использования высокочастотных датчиков.
Во-вторых
, отсутствие необходимости «наполнения» мочевого пузыря сделало возможным применение трансвагинальной эхографии в ургентной гинекологии.
В-третьих
, при трансвагинальном сканировании наличие ожирения или обширного спаечного процесса не оказывает выраженного влияния на визуализацию матки и придатков.
В-четвёртых
, трансвагинальная эхография не исключает возможности выполнения двуручной манипуляции при исследовании, что значительно облегчает топическую диагностику патологических процессов внутренних половых органов.
Забиваем Сайты В ТОП КУВАЛДОЙ - Уникальные возможности от SeoHammer
Каждая ссылка анализируется по трем пакетам оценки: SEO, Трафик и SMM.
SeoHammer делает продвижение сайта прозрачным и простым занятием.
Ссылки, вечные ссылки, статьи, упоминания, пресс-релизы - используйте по максимуму потенциал SeoHammer для продвижения вашего сайта.
Что умеет делать SeoHammer
— Продвижение в один клик, интеллектуальный подбор запросов, покупка самых лучших ссылок с высокой степенью качества у лучших бирж ссылок.
— Регулярная проверка качества ссылок по более чем 100 показателям и ежедневный пересчет показателей качества проекта.
— Все известные форматы ссылок: арендные ссылки, вечные ссылки, публикации (упоминания, мнения, отзывы, статьи, пресс-релизы).
— SeoHammer покажет, где рост или падение, а также запросы, на которые нужно обратить внимание.
SeoHammer еще предоставляет технологию Буст, она ускоряет продвижение в десятки раз,
а первые результаты появляются уже в течение первых 7 дней.
Зарегистрироваться и Начать продвижение
Однако считается, что при наличии объёмных образований, диаметр которых превышает 10 см, данные, полученные с помощью чрезвлагалищной эхографии, необходимо дополнить результатами сканирования через переднюю стенку. Последовательное применение обеих методик позволяет получить более обширное пространственное изображение органов малого таза.
В 50%-70% случаев острый воспалительный процесс маточных труб (острый сальпингит) сопровождается выраженной в той или иной степени экссудацией жидкости, которая, накапливаясь в просвете трубы (труб), формирует собственно гидросальпингс. Объём жидкости, замкнутый в полости расширенной маточной трубы, зависит от интенсивности и длительности воспалительного процесса; от анатомических особенностей - протяженности и конфигурации трубы, толщины и тонуса ее мышечной оболочки; от наличия или отсутствия рубцовых изменений вматочной трубе и степени их выраженности. Основные УЗ-признаки гидросальпингса обусловлены накоплением жидкости (воспалительный экссудат) в просвете маточной трубы. В зависимости от выраженности патологического процесса и анатомических особенностей труб возможны три варианта УЗ-картины: 1 - однокамерное жидкостноеобразование; 2 -
многокамерное жидкостное образование; 3 - абсцессматочной трубы.
 1. Однокамерный вариант
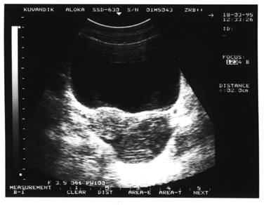
. В пространстве между одним из яичников и маткой (вдоль боковой стенкиматки), то есть в одной из параметральных областей, выявляется жидкостное образование правильной вытянутой формы со значительным преобладанием продольного размера над поперечным. При этом конфигурация патологического очага может быть овальной (рис.1), веретенообразной или S-образной. Структура жидкого содержимого однородная. Матка, эндометрий и яичники не изменены. На стороне поражения почти всегда лоцируется неизмененный яичник. Оптимальные условия для визуализации патологического очага создаются при поперечном обзорном сканировании с использованием способа дозированной компрессии передней брюшной стенки УЗ-датчиком (желательно секторным).
Как правило, этот вариант воспаления маточных труб встречается у молодых женщин и часто обнаруживается при первичном обращении к гинекологу.
Дифференциальная диагностика.
Распознавание первого варианта гидросальпингса обычно затруднений не вызывает, но при незначительных размерах жидкостного образования возможны трудности и расхождения диагнозов. Для предотвращения таких упущений в процессе УЗ-сканирования, при наличии клинических данных за воспаление придатков, показан тщательный, целенаправленный поиск жидкости, ограниченной стенками маточной трубы.
Сервис онлайн-записи на собственном Telegram-боте
Попробуйте сервис онлайн-записи VisitTime на основе вашего собственного Telegram-бота:
— Разгрузит мастера, специалиста или компанию;
— Позволит гибко управлять расписанием и загрузкой;
— Разошлет оповещения о новых услугах или акциях;
— Позволит принять оплату на карту/кошелек/счет;
— Позволит записываться на групповые и персональные посещения;
— Поможет получить от клиента отзывы о визите к вам;
— Включает в себя сервис чаевых.
Для новых пользователей первый месяц бесплатно.
Зарегистрироваться в сервисе
Иногда бывает довольно трудно отличить крупный кровеносный сосуд, локализующийся в параметральной области, от резко вытянутого гидросальпингса, что наблюдается в случае сильно выраженной мышечной оболочки трубы или при повышенном ее тонусе. Указанные (трубные) факторы способствуют преимущественному распределению воспалительного экссудата в продольном направлении, симулируя просвет сосуда. УЗ-дифференциация между избыточно вытянутым незначительным гидросальпингсом и кровеносным сосудом осуществляется следующим образом: гидросальпингс
характеризуется гладкими (ровными или волнистыми) стенками во всех отделах; ширина просвета неравномерная, с плавными сужениями и расширениями; кровеносный сосуд -
при полипозиционной эхолокации всегда удаётся увидеть отходящие от основного ствола множественные, более мелкие ветви, определяющие общую ангиоархитектонику жидкостногообразования; кроме того, если смещать УЗ-датчик точно по ходу изучаемого сосуда, всегда удается проследить место впадения его в более крупный сосуд или область слияния с другими элементами кровеносной системы.
У большей части больных гидросальпингс лоцируется в нижних отделахмалого таза, так как содержащий жидкость участок маточной трубы, под действием силы тяжести заполняющего его экссудата, обычно опускается вниз. Лишь в отдельных случаях гидросальпингс может быть виден в верхних отделах, что объясняется индивидуальными особенностями трубы (выраженная извилистость в сочетании с гипотонусом стенок). В связи с этим, поиск жидкостного образования должен осуществляться на всех уровнях эхолокации. У некоторых пациенток визуализировать в процессе УЗИ незначительный объем жидкости в маточной трубе вообще не представляется возможным. Это происходит, когда из-за давления наполненногомочевого пузыря содержащий воспалительный экссудат отрезок трубы оказывается распластанным между мочевым пузырём, маткой, стенками малого таза и прямой кишкой.В этих наблюдениях целесообразно сделать дополнительное исследование с пустыммочевым пузырём (желательно - ТВ). После опорожнениямочевого пузыря исчезает давление на окружающие его анатомические структуры (декомпрессиямалого таза), что способствует расправлению содержащей жидкость маточной трубы, и гидросальпингс становится видимым на эхограммах. Указанный методический прием особенно полезен, когда нет ТВ-датчика. Если же имеется полный комплект сканирующих устройств, то ТВ-УЗИ позволяет без особого труда решить диагностическую задачу.
Не являются исключением случаи однокамерного варианта гидросальпингса, ошибочно расцениваемого, независимо от способа сканирования, как киста яичника. Необходимость дифференциальной диагностики с фолликулярной кистой возникает редко и только при наличии правильной овальной формы гидросальпингса. В 90%-95% случаев, при однокамерном варианте экссудативного сальпингита, конфигурация овального жидкостного образования - неправильная вследствие выраженного преобладания продольного размера патологического очага.
 2. Многокамерный вариант.
Локализация такая же, как и при первом варианте, но с большим распространением в латеральном и медиальном направлениях за счёт более крупных размеров патологического очага и часто встречающегося двухстороннего поражения. На эхограммах (условия сканирования прежние, с элементами продольной эхолокации) в одной из параметральных областей с распространением в позадиматочное пространство лоцируется многокамерное жидкостное образование неправильной вытянутой формы, которая зависит от числа камер и степени распространенности процесса. Многокамерность образования обусловлена множественными перетяжками, возникающими либо вследствие перегибов маточной трубы, заполненной воспалительным экссудатом, либо за счет спаек, частично или полностью перекрывающих просвет трубы. Число камер (полостей) колеблется от 2 до 7. Стенки тонкие, контуры чёткие и неровные из-за выпячивания перерастянутых жидкостью стенок маточной трубы. Размеры варьируют в широких пределах, но во всех случаях длина гидросальпингса значительно больше его поперечника. В некоторых наблюдениях длина жидкостного образования достигает 150 мм. Структура содержимого однородная. Крайне редко в одной из полостей видны мелкие эхопозитивные включения линейной формы, низкой эхоплотности (фибрин, детрит), хорошо видимые при ТВ-сканировании. В отличие от других патологических многополостных жидкостных образований встречающихсяв малом тазу, для многокамерного гидросальпингса характерно своеобразное расположение составляющих его камер - друг за другом, как звенья цепи. Этот симптом не может считаться патогномоничным, но безусловно является постоянным эхо-признаком данного вида экссудативного сальпингита. Матка не изменена. Яичник на стороне поражения не лоцируется, так как параметральная область и позадиматочное пространство, как правило, полностью заняты патологическим жидкостным объектом. Другой яичник без особенностей.
Содержимое одной или нескольких полостей может быть неоднородным из-за множественных эхопозитивных включений, обычно скапливающихся у нижней стенки образования. Эти включения имеют линейный, точечный или нитевидный характер; морфологически - детрит и фибрин. Стенки такой полости (полостей) в 80% диффузно утолщены (до 6 мм) вследствие воспалительной инфильтрации и отёка. Указанная картина бывает при гнойном сальпингите, который, в случае многокамерного варианта гидросальпингса, является осложнением обычного экссудативного воспалительного процесса.
Дифференциальная диагностика.
Многокамерный вариант экссудативного сальпингита следует дифференцировать с жидкостными образованиями невоспалительной природы, состоящими из нескольких полостей: многокамерная фолликулярная киста и "простая" псевдомуцинозная киста. Многокамерные фолликулярные кисты, по сравнению с однокамерной формой, встречаются редко. Они возникают в результате слияния друг с другом нескольких неовулировавших доминантных фолликулов в одном из яичников. Число камер обычно не превышает трёх. Большее число камер наблюдается редко и бывает только у женщин с резко выраженными гормональными нарушениями. Эти кисты так же, как и сальпингит, локализуются в одной из параметральных областей, но распространение жидкостного объекта в позадиматочное пространство, что в 90% случаев присутствует при многокамерном гидросальпингсе, встречается редко. Форма фолликулярных кист правильная овальная. И главное, жидкостные образования фолликулярного генеза как правило самоликвидируются после месячных или исчезают под воздействием гормонального лечения.
Псевдомуцинозные кисты ("простые", то есть без внутрикистозных папиллярных разрастаний), для которых характерна многокамерность полости, имеют существенные отличия от многокамерного экссудативного сальпингита:
- заболевание обычно наблюдается у пожилых женщин; отсутствуют клинические и лабораторные признаки воспаления;
- патологический объект локализуется выше, чем гидросальпингс и лоцируется в области одного из углов матки;
- форма неправильная округлая и более крупные размеры;
- число камер не ограничено;
- патогномоничным для этих кист является то, что мелкие полости, имеющие вид самостоятельных кист, располагаются внутри более крупных камер, а те в свою очередь - внутри основного патологического жидкостного образования.
3. Абсцесс
. В одной из параметральных областей лоцируется однокамерное жидкостное образование правильной округлой, реже овальной формы. Стенки плотные, толщина может достигать 8мм - результат воспалительной инфильтрации стенки трубы; контуры ровные, местами нечёткие и тяжистые за счет спаек. Размеры - не более 70 мм в диаметре. Структура содержимого неоднородная из-за множественных мелких включений (фибрин, детрит), расположение которых меняется в зависимости от положения пациентки: при горизонтальном положении эти включения равномерно распределяются в полостиобразования, при вертикальном положении - смещаются в нижнюю часть полости. Аналогичный эффект - подвижность внутриполостных включений, достигается компрессией полости датчиком (особенно ТВ). Этот симптом наблюдается при размерах патологического очага более 40 мм в диаметре. Форма включений либо вытянутая (длиной от 2 до 7 мм), либо они лоцируются как эхопозитивные точки. Плотность их низкая или средняя. Матка имеет обычный вид. У ряда больных на стороне поражения виден неизмененныйяичник, оттеснённый в ту или иную сторону за счёт давления образования. Параметральные вены с двух сторон почти всегда расширены. Представленная УЗ-картина может быть расценена как ограниченный гидросальпингс с нагноением или, более точно, абсцесс маточной трубы (тубарный абсцесс).
Тубарный абсцесс, по-сравнению с другими формами воспалительных изменений, встречается редко и, в рассмотренном здесь виде, отражает процесс частичной резорбции гноя на фоне продолжающейся экссудации с образованием так называемой "воспалительной кисты". Морфологический субстрат её - гнойный экссудат, ограниченный воспалительно изменёнными, местами истонченными стенками маточной трубы. При деструкции стенки возможен прорыв гнойника в брюшную полость с развитием пельвиоперитонита.
УЗ-диагностика пельвиоперитонита очень трудна и состоит в регистрации того или иного количества свободной жидкости в полостималого таза. Более надежным признаком развития пельвиоперитонита (как правило, ограниченного) служит внезапное исчезновение УЗ-изображения жидкостного образования и появление небольшого объема жидкости в по-задиматочном пространстве. Причем визуализация её затруднена из-за спаек и часто сопутствующего гнойному воспалению пареза кишечника. Необходимо иметь в виду, что ограниченный пельвиоперитонит, возникающий при дренировании абсцесса, нужно рассматривать не как осложнение заболевания, а как закономерный этап его течения под воздействием терапии. Абсцессматочной трубы в 60%-75% случаев встречается у женщин, ранее перенесших те или иные воспалительные заболевания матки и её придатков.
Дифференциальная диагностика.
Эхографическую картину абсцессаматочной трубы необходимо дифференцировать со всеми жидкостнымиобразованиями, локализующимися в параметральных областях и содержащими внутриполостные включения. Речь идёт об эндометриоидных и тератодермоидных кистах.
Эндометриоидные
кисты часто содержат эхопозитивные включения, которые могут напоминать картину абсцесса. Отличительные симптомы: эхопозитивные внутрикистозные включения формируют специфическую мелкоячеистую структуру ("пчелиные соты"); содержимое кисты неподвижно при перемене положения больной и при компрессии патологической полости датчиком; жидкостное образование несколько увеличивается в размерах перед месячными.
Дермоидные
кисты с зернистым содержимым, стенки и структура которых являются производными кожи, в общих чертах похожи на крупный абсцесс. Во-первых, множественные мелкие зерна в просвете кисты могут быть приняты за фибринозно-гнойные включения внутри абсцесса. Во-вторых, зерна в кисте легко изменяют свою локализацию при компрессии или перемене положения больной. Кистозные тератомы этого типа часто достигают больших размеров (более 70 мм в диаметре), так как длительное время существуют бессимптомно и обычно выявляются при профосмотрах и случайных УЗИ. Внутриполостные зерна более оформлены и массивны, а эхоплотность их выше, чем аналогичные элементы структуры абсцесса. При компрессии УЗ-датчиком истинные дермоиды, содержащие жидкость, легко деформируются - стенки их тонкие, мягкие и безболезненные. Это сопровождается интенсивным движением зерен внутри полости. Компрессия же абсцессов резко болезненна из-за воспалительной инфильтрации стенок и перифокальных изменений. Кроме того, абсцессаммалого таза обычно сопутствует гиперемия параметральных вен, чего никогда не наблюдается при кистах. То же самое касается факта обнаружения рядом с патологическим объектом интактногояичника, визуализация которого неоспоримо свидетельствует в пользу воспалительной природы жидкостного объекта. К сожалению, этот симптом при крупных абсцессах наблюдается редко, так как жидкостное образование больших размеров обычно экранирует изображение яичника.
Группа симптомов, которые, в сочетании с клиникой воспалительного процесса вмалом тазу, позволяют установить диагноз тубарного абсцесса:
- локализация в одной из параметральных областей (рядом с боковой стенкойматки, ближе к позадиматочному пространству);
- стенки тонкие, иногда с веретенообразными утолщениями на ограниченном протяжении;
- неоднородность жидкого содержимого из-за мелких (линейных и точечных) эхопозитивных включений низкой и средней плотности;
- часть внутренних структур находится во взвешенном состоянии и при перемене положения больной смещается в нижний полюс полости;
- на стороне поражения может быть обнаружен интактныйяичник;
- резкая болезненность при даже незначительной компрессии УЗ-датчиком через переднюю брюшную стенку или контактном соприкосновении во время ТВ-сканирования;
- реактивные изменения в виде расширения параметральных вен;
- положительная динамика под воздействием противовоспалительной терапии.
Несмотря на многочисленные исследования, выделить специфические акустические признаки острого гнойного сальпингита не удалось. В большинстве наблюдений на эхограммах определялись расширенные, утолщённые, вытянутые маточные трубы, характеризующиеся повышенным уровнем звукопроводимости. У каждой второй больной в прямокишечно-маточном углублении отмечалось скопление «свободной» жидкости. Следует заметить, что указанные эхографические признаки, хотя и позволяют предложить наличие острого сальпингита, однако истинную диагностическую ценность приобретают только при сопоставлении с данными полученными при клиническом обследовании, поскольку идентичная картина нередко наблюдается и при нарушенной внематочной беременности. При неясных клинических симптомах и спорных эхографических признаках важную дополнительную информацию можно получить с помощью пункции прямокишечно-маточного углубления, выполненной через задний свод влагалища под контролем трансвагинальной эхографии.
По данным А. Н. Стрижакова и А. И. Давыдова (1994), при небольших размерахпиосальпинкса на эхограммах определяется расширенная маточная труба веретенообразной или тубусовидной конфигурации с чёткими ровными контурами, резко утолщенными стенками и неоднородным внутренним содержимым. С помощью трансвагинального сканирования практически всегда удается чётко отграничить пиосальпинкс и интактный яичник. В подобных наблюдениях интерпретация клинической картины и установление нозологического диагноза не вызывают серьёзных затруднений.
Вместе с тем при наличии пиосальпинкса больших размеров на эхограммах определяется образование округлой формы с плотной капсулой и мелкоточечной внутренней структурой. Описанная акустическая картина на первый взгляд напоминает таковую при абсцессе яичника, пиоваре, нагноившейся эндометриоидной кисте яичника. В этой клинической ситуации при проведении топической и нозологической диагностики необходимо ориентироваться на идентификацию яичника в виде отдельного анатомического образования, причем наилучшим образом это удается сделать при транспельвическом сканировании [Стрижаков А. Н].
Установлено, что у каждой второй больной с гнойным поражением маточных труб в патологический процесс вовлекаются яичники, при этом наблюдаются изменения, характерные для оофорита (51,2%), абсцесса яичника (9,9%), пиовара (1,1%) [Подзолкова Н. М.].
Приостром оофорите на эхограммах определяется увеличенный яичник с многочисленными мелкими фолликулярными кистами, которые разделены тонкими гиперэхогенными перегородками.
Ультразвуковая диагностикапиовара основывается на визуализации патологического образования округлой формы, внутренняя структура которого представлена хаотично расположенной среднедисперсной эхопозитивной взвесью на фоне повышенного уровня звукопроводимости. Капсула пиовара неравномерно утолщена (6—10 мм), характеризуется высокой акустической плотностью.
В отличие от пиовара приабсцессе яичника по периферии гнойного образования удается визуализировать неизмененную овариальную ткань. Этот эхографический критерий лежит в основе дифференциальной диагностики пиовара и абсцесса яичника.
Гнойные воспалительные заболевания придатков матки, как правило, сопровождаются выраженным спаечным процессом, диагностика которого может быть осуществлена посредством транспельвического сканирования. Основным эхографическим признаком спаечного процесса является «несмещаемость» яичников и маточных труб по отношению к матке, петлям кишечника и мочевому пузырю, что можно выявить с помощью тракционных движений трансвагинального датчика.
Наибольшим акустическим полиморфизмом отличаются эхограммы больных стубоовариальными абсцессами.
При односторонней локализации абсцесса удается выделить условные границы между воспалительно измененными маточной трубой и яичником, исходя из различия их формы, эхо плотности и внутренней структуры. Так, пиосальпинкс характеризуется овоидной конфигурацией, гомогенным расположением точечных эхосигналов и низким уровнем звукопроводимости. Следует отметить, что пиосальпинкс и абсцесс яичника (пиовар) при данной клинической форме гнойного поражения придатков матки имеют общую капсулу.
При двусторонней локализации тубоовариального абсцесса границы между маточными трубами и яичниками не определяются. На эхограммах визуализируется единый конгломерат с плотной капсулой, множественными внутренними перегородками различной толщины и неоднородным внутренним содержимым, что свидетельствует о скоплении гнойного экссудата.
Двусторонний тубоовариальный абсцесс дифференцируют от абсцессов пузырно-маточного и прямокишечно-маточного углублений. Для выявления абсцесса пузырно-маточного углубления транспельвическое сканирование следует проводить при наполненном мочевом пузыре. Выполнение этого условия позволяет четко выделить границы абсцесса пузырно-маточного углубления: спереди — мочевой пузырь, сзади — матка, справа и слева — петли кишечника. В то же время задней «стенкой» абсцесса прямокишечно-маточного углубления является прямая кишка. Для более точной дифференциальной диагностики данной клинической формы гнойных воспалительных заболеваний придатков матки оптимальной является комбинированная трансвагинальная и трансректальная методика сканирования.
В заключение следует отметить, что трансвагинальная эхография является оптимальным скрининговым методом диагностики воспалительных заболеваний придатков матки. Проведенные исследования показали, что информативность транспельвического сканирования при гнойном поражении маточных труб и яичников составляет 88,1% [Стрижаков А. Н.]. Использование данного метода позволяет не только верифицировать патологический процесс и оценить степень анатомических изменений в очаге воспаления, но и осуществлять динамический визуальный контроль эффективности комплексной противовоспалительной терапии.
За время работы, врачом ультразвуковой диагностики, в гинекологическом отделении Кувандыкской ЦРБ, с 1994г. по 2000г., мною было осмотрено 417 больных с воспалительными заболеваниями придатков матки. В 21 (5%) случае было диагностировано гнойное тубоовариальное образование, что было подтверждено в дальнейшем при оперативном лечении. В одном случае (из 21) не был диагностирован пиосальпингс и с другой стороны, что привело к незапланированному расширению оперативного вмешательства. Причина диагностической ошибки была в выраженности спаечного процесса в малом тазу и в сложности выведения маточной трубы.
У 94 (22,6%) пациенток не было диагностировано каких либо органических изменений в придатках матки. Что наблюдалось и при повторном обследовании после окончания курса лечения. У этой группы больных повторной госпитализации в течение года, после лечения, не наблюдалось.
У 302 (72,4%) пациенток были диагностированы УЗ-признаки воспалительного процесса в маточных трубах (различные формы гидросальпингса).
Используемая литература:
- Стрижаков А.Н., Подзолкова Н.М. «Гнойные воспалительные заболевания заболевания придатков матки». М.Медицина.1996г.
- Хачкурузов С.Г. «УЗИ в гинекологии».С-П. 1999г.
- Демидов В.Н., Зыкин Б.И. «Ультразвуковая диагностика в гинекологии». М.Медицина. 1990г.
- Стрижаков А.Н., Давыдов А.И. «Клиническая трансвагинальная эхография. М.Медицина. 1994г.
NB! Иллюстрации взяты из книги:
Хачкурузов С.Г. «УЗИ в гинекологии».С-П. 1999г. и собственное наблюдение (рис.3). Вы сможете самостоятельно отредактировать рисунок в любом графическом редакторе, чтобы изменить к примеру, дату исследования либо название стационара, ФИО больного. Либо можете полностью удалить графику.
С уважением Кравченко СВ.
e-
mail:
krav@
rambler.
ru.
|