| Министерство здравоохранения РФ
Тюменская государственная медицинская академия
Методология диагностики
торакальных больных
(методическое пособие для студентов)
Тюмень -
2000
г.
Обследование больных заболеваниями легких и плевры в хирургической клинике решает две основные задачи: 1) диагностика основного заболевания и оценка связанных с ним сопутствующих патологических изменений; 2) выяснение состояния основных систем жизнеобеспечения, необходимое для оценки резервных возможностей организма больного и степени его функциональной операбельности.
Все методы диагностики в торакальной хирургии можно разделить на инвазивные и неинвазивные, основные и дополнительные.
ОСНОВНЫЕ МЕТОДЫ
Расспрос больного, изучение его жалоб, особенностей возникновения и развития заболевания, сведений о перенесенных болезнях, образе жизни и работе, вредных привычках являются отправным пунктом для построения плана дальнейшего специального, более углубленного и направленного обследования, определения последовательности применения как простых (физикальных),
так и более сложных (инструментальных) методов диагностики.
Наиболее доступные методы исследования — осмотр, пальпация, перкуссия, аускультация
— нередко позволяют отметить совокупность признаков или отдельные симптомы, с большой достоверностью характеризующие развитие изменений, которые в сочетании с данными анамнеза дают возможность правильно решить вопрос не только о диагнозе, но зачастую — и лечебной тактике. Полученные сведения позволяют не делать более сложные, часто сопряженные с определенным риском инструментальные исследования.
Нарастающая одышка, расстройства сердечной деятельности, появление подкожной эмфиземы, развившиеся в течение короткого времени вслед за болевыми ощущениями в груди, сочетающиеся с отсутствием или резким ослаблением дыхательных шумов над одним легким, коробочный звук при перкуссии в этой области груди дают возможность распознать спонтанный напряженный пневмоторакс.
Среди основных специальных методов обследования больных заболеваниями легких ведущее место принадлежит рентгенологическому исследованию.
РЕНТГЕНОЛОГИЧЕСКОЕ •
ИССЛЕДОВАНИЕ
Обязательным условием рентгенологического исследования больных заболеваниями легких следует считать рентгеноскопию
.
Забиваем Сайты В ТОП КУВАЛДОЙ - Уникальные возможности от SeoHammer
Каждая ссылка анализируется по трем пакетам оценки: SEO, Трафик и SMM.
SeoHammer делает продвижение сайта прозрачным и простым занятием.
Ссылки, вечные ссылки, статьи, упоминания, пресс-релизы - используйте по максимуму потенциал SeoHammer для продвижения вашего сайта.
Что умеет делать SeoHammer
— Продвижение в один клик, интеллектуальный подбор запросов, покупка самых лучших ссылок с высокой степенью качества у лучших бирж ссылок.
— Регулярная проверка качества ссылок по более чем 100 показателям и ежедневный пересчет показателей качества проекта.
— Все известные форматы ссылок: арендные ссылки, вечные ссылки, публикации (упоминания, мнения, отзывы, статьи, пресс-релизы).
— SeoHammer покажет, где рост или падение, а также запросы, на которые нужно обратить внимание.
SeoHammer еще предоставляет технологию Буст, она ускоряет продвижение в десятки раз,
а первые результаты появляются уже в течение первых 7 дней.
Зарегистрироваться и Начать продвижение
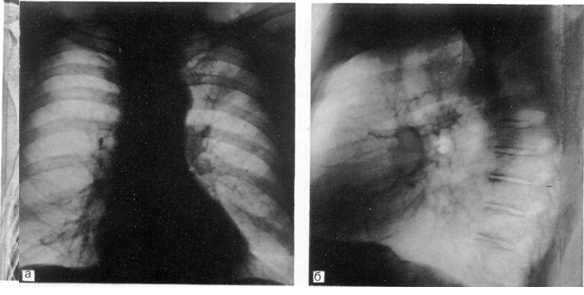
Рис. 3.
Рак верхней доли левого легкого.
а — прямая рентгенограмма: б — боковая рентгенограмма.
 В первую очередь рентгенологическая диагностика включает ориентировочный осмотр легочных полей, при этом определяются сторона и объем поражения. Обращается внимание на подвижность купола диафрагмы, состояние реберно-диафрагмальных
синусов, прозрачность легочных полей, структурность корней легких, размеры и конфигурацию срединной тени, формируемой органами средостения.
Рис.
2. Электрорентгенограмма грудной клетки. Норма.
Последующее рентгенографическое
обследование должно углублять и расширять представления о характере изменений в легких и грудной полости. Эти исследования проводят в прямой (переднезадней)
и боковой проекциях, дополняя их при необходимости снимками в косых проекциях и прицельными рентгенограммами (рис. 1). Важным достоинством рентгенографии являются объективность и достоверность полученных результатов, возможность сопоставления с данными ранее проведенных рентгенографических обследований, т. е.
возможность динамического наблюдения. Последнее нередко является одним из важнейших факторов дл
я установления правильного диагноза.
Рентгенографическое обследование в двух проекциях позволяет с наибольшей точностью определить локализацию и распространенность поражения легких, изменения в средостении, состояние междолевых щелей, оценка и сопоставление степени прозрачности участков легкого в различных его отделах, мельчайшие очаговые тени, что особенно ценно при проведении дифференциального диагноза между туберкулезом легких, саркоидозом, пневмокониозом
и другими заболеваниями, дающими исходные рентгенологические изменения.
Для улучшения визуализации трахеобронхиального
дерева и уплотненных лимфатических узлов средостения используются так называемые переэкспонированные снимки грудной полости. На них особенно четко определяются элементы корня легкого на фоне как бы выведенного на «второй план» легочного рисунка.
Для получения первой, наиболее общей, информации о характере рентгенологических изменений в легких и грудной полости (наряду с флюорографией
) в некоторых клиниках стала использоваться электрорентгенография
. Важнейшим достоинством метода электрорентгенографии являются его высокая экономическая эффективность, исключение расходов на оснащение специальных фотолабораторий и реактивов, необходимых для рентгенографии. Процесс электрорентгенографии не зависит от водоснабжения, получение крупноформатных снимков происходит на свету. Изображение воспроизводится на селеновой пластине и затем переносится на бумагу (рис. 2).
Сервис онлайн-записи на собственном Telegram-боте
Попробуйте сервис онлайн-записи VisitTime на основе вашего собственного Telegram-бота:
— Разгрузит мастера, специалиста или компанию;
— Позволит гибко управлять расписанием и загрузкой;
— Разошлет оповещения о новых услугах или акциях;
— Позволит принять оплату на карту/кошелек/счет;
— Позволит записываться на групповые и персональные посещения;
— Поможет получить от клиента отзывы о визите к вам;
— Включает в себя сервис чаевых.
Для новых пользователей первый месяц бесплатно.
Зарегистрироваться в сервисе
Электрорентгенография имеет неоспоримые преимущества при проведении неотложной рентгенологической диагностики.
Томографическое
(послойное) исследование
. Томографическое
исследование органов грудной полости также выполняется в прямой и боковой проекциях. Количество томограмм,
выполняемых при различных патологических изменениях в органах грудной полости, зависит от поставленных задач и определяется для каждого больного индивидуально. При необходимости томограммы,
сделанные в прямых проекциях, могут быть дополнены томограммами
в косых проекциях. Оптимальными срезами считаются срезы в промежутке от 8 до 12 см, отступя от остистых отростков позвонков. Выполнение томографического
исследования позволяет уточнить данные, полученные при обзорной рентгенографии: определяются точная локализация и характер патологического процесса в легком, его распространенность, отношение к сосудам и бронхам легкого, плевре и органам средостения. С помощью томографии удается оценить проходимость трахеи и бронхов, выявить в просвете дыхательных путей новообразования, инородное тело. Томография служит важным вспомогательным приемом для изучения характера изменений в лимфатических узлах средостения, в костных образованиях, формирующих каркас грудной полости.
 Возможности рентгенологической диагностики заметно расширились за счет становления и клинического использования компьютерной рентгенотомографии
. По сравнению с обычной рентгенографией компьютерная рентгенография имеет в десятки раз большую разрешающую способность и позволяет различать ткани с разностью по плотности до 0,5 %.
Это дает возможность четко определять границу между нормальной и патологически измененной легочной тканью. На компьютерных томограммах
органов грудной полости удается не только локализовать патологический очаг, но и определить его размеры, оценить плотность и однородность, соотношение с соседними анатомическими образованиями и органами.
Рис. 3.
Компьютерная томография органов грудной клетки. Норма.
Компьютерная томография дает возможность получить наиболее полную рентгенологическую информацию об опухолях и кистах средостения, сосудистых изменениях в легких, аневризмах, о состоянии трахеобронхиального
дерева, характере и структуре «шаровидных образований в легких», патологических изменениях в плевре, грудной стенке, особенно при ее злокачественных поражениях (рис. 3).
БРОНХОСКОПИЯ
Эндоскопическому обследованию трахеобронхиального дерева придается очень большое значение, так как с его помощью у большинства больных получают достоверную информацию о характере изменений в трахеобронхиальном
дереве, что особенно важно в диагностике опухолевых заболеваний трахеи и бронхов.
Диагностические возможности бронхоскопии расширялись по мере совершенствования и создания новых моделей бронхоскопов.
Бронхоскопы
конструкции Брюнингса,
Мезрина
постепенно уступили место более удобной и безопасной модели бронхоскопа
системы Фриделя.
Последний обеспечивает адекватную вентиляцию легких во время бронхоскопии. Бронхоскопы
этой конструкции (так называемые «дыхательные») до настоящего времени широко используются в бронхологической,
пульмонологической
и хирургической практике.
Применение оптических приставок в сочетании с надежной, устойчивой вентиляцией легких, снабжение дыхательных бронхоскопов
источниками «холодного» света во многом определили широкое применение жестких моделей бронхоскопов. Несомненным достоинством дыхательных бронхоскопов является возможность
выполнения с их помощью не только диагностических, но и некоторых лечебных манипуляций на бронхах (удаление инородных тел и небольших доброкачественных опухолей при помощи набора щипцов, обработка слизистой оболочки лекарственными препаратами, в том числе лечение бронхиальных свищей). Дыхательные бронхоскопы
жесткой конструкции позволяют выполнить длинной иглой пункционную
трансбронхиальную биопсию бифуркационных и некоторых групп внутрилегочных
лимфатических узлов. С помощью дыхательных бронхоскопов выполняют лечебные окклюзии бронхиального дерева при гнойно-деструктивных поражениях легких, пневмотораксе, а также осуществляют дренирование бронхов.
Вместе с тем диагностические возможности жестких моделей бронхоскопов ограничиваются пределами главных, долевых и начальными отделами сегментарных
бронхов, т. е.
центрально расположенными отделами дыхательных путей. Это обусловлено жесткостью конструкции и относительно крупными их размерами. Оптические приставки позволяют только осмотреть начальные отделы сегментарных бронхов и исключают возможность выполнения биопсии. Кроме того, повышенная травматичность
исследования трахеобронхиального
дерева с помощью жестких моделей бронхоскопов вынуждает прибегать при их применении к общему обезболиванию.
Дальнейшее развитие бронхоскопической диагностики проявилось в связи с созданием и использованием волоконно-оптических эндоскопов — фибробронхоскопов.
К числу наиболее важных достоинств фибробронхоскопов относятся высокая эластичность прибора, небольшие размеры диаметра диагностического тубуса (до 6 мм), надежная система мощного потока «холодного света». Диагностический канал фибробронхоскопа
и набор биопсийных
щипчиков и скарификаторов позволяют получать материал для морфологического исследования не только из отделов трахеобронхиального дерева, доступных визуальному контролю, но и из более дистальных.
С помощью волоконно-оптических моделей фибробронхоскопа стали возможны детальный осмотр бронхиального дерева и получение материала для морфологического изучения вплоть до сегментарных, субсегментарных,
а для отдельных долей (нижней, средней, части сегментов верх
них
долей) — и суб-субсегментарных
бронхов.
Диагностическая ценность фибробронхоскопии
заметно повышается при дополнении визуального исследования взятием материала для морфологического (гистологического и цитологического) изучения: щипцовой и скарификационной
биопсией, направленной аспирацией промывных вод из участков предполагаемого поражения легкого.
Конструкция современных волоконно-оптических бронхоскопов позволяет широко проводить обследование трахеобронхиального дерева с использованием местного обезболивания.
Проведению бронхологических обследований способствует также появление новых терминальных анестетиков,
обладающих широким диапазоном терапевтического действия и невысокой токсичностью (лидокаин,
тримекаин).
Они пришли на смену ранее использовавшимся для этих целей препаратам типа дикаина,
нередко вызывавшим у обследуемых тяжелые общие расстройства.
Основным для использования фибробронхоскопа является местное обезболивание ингаляцией аэрозоля раствора лидокаина
. Ингаляционную аэрозольную анестезию удобно выполнять при помощи аэрозольного ингалятора, который обеспечивает создание аэрозольного потока раствора. После анестезии раствор лидокаина распределяется на поверхности слизистых оболочек трахеи и бронхов. Как правило, к моменту завершения обезболивания появляются чувство «неловкости при глотании» и своеобразное ощущение «облегчения глубины вдоха».
Несмотря на достоинства фибробронхоскопии
под местным обезболиванием, полностью отказаться от применения наркоза при этом исследовании не представляется возможным. У многих больных только под наркозом, в условиях полной релаксации, обеспечивается доступность визуальной диагностики изменений в трахеобронхиальном
дереве. К числу таких больных относятся лица с неустойчивой, эмоционально-лабильной психикой, дети, а также больные с признаками аллергизации
к препаратам, используемым для местного обезболивания. Кроме того, бронхологическое
обследование целесообразно выполнять под наркозом в тех случаях, когда диагностика затруднительна: обследование продолжается длительное время или требуется совместный осмотр и обсуждение выявленных изменений несколькими специалистами.
Распознавание изменений в трахеобронхиальном
дереве, определение и оценка признаков развития заболевания представляют весьма ответственную задачу и требуют применения специальных методических приемов. Это тем более важно, что информация, получаемая в процессе осмотра трахеобронхиального дерева, во многом определяет весь ход последующего бронхологического обследования, а иногда — и лечебную тактику. Поэтому при осмотре через фибробронхоскоп следует придерживаться единой системы, предусматривающей получение наиболее полных данных о состоянии и изменениях в трахеобронхиальном
дереве.
В обязательном порядке оценивается состояние всех доступных осмотру отделов трахеобронхиального дерева. Особое внимание уделяется области тех изменений, которые отмечены при рентгенологическом обследовании.
После проведения тубуса фибробронхоскопа в гортань тщательно осматривают голосовые связки. При этом оценивают характер и степень их подвижности: ограничение подвижности (парез) голосовой складки может свидетельствовать о вовлечении в патологический процесс возвратной ветви блуждающего нерва.
В трахее детально осматривают ее стенки (передняя, задняя, боковые) на всем протяжении — от подскладочного
пространства до бифуркации — места ее деления на правый и левый главные бронхи.
Информация, получаемая на этом этапе бронхоскопии, может быть несколько расширена за счет приема, позволяющего оценить подвижность отдельных участков трахеи и бронхов (стенок, гребешков). Если при проведении исследований жесткими моделями бронхоскопов
смещение стенок и гребешков трахеи и бронхов тубусом эндоскопа выполняется без особого труда, то для эластичных эндоскопов с волоконной оптикой это трудновыполнимо
.
Завершив осмотр трахеи, переходят к изучению киля ее бифуркации, начальных отделов главных бронхов. При этом, наряду с оценкой состояния слизистой оболочки бифуркации, специальное внимание уделяют ее конфигурации. Так, уплощение или «развертывание» киля бифуркации трахеи, отклонение его в сторону, ограничение или отсутствие подвижности чаще всего свидетельствуют о значительных изменениях в расположенных рядом группах лимфатических узлов средостения: их увеличении, формировании плотных малоподвижных конгломератов. Все это позволяет судить о распространенности патологических изменений в легких, органах средостения.
После обследования бифуркации трахеи переходят к осмотру бронхов. Методически правильно начать его с изучения просвета дыхательных путей легкого, в котором не предполагается патологических изменений. Такой подход позволяет сформировать общее представление о состоянии слизистой оболочки просвета дыхательных путей у данного конкретного больного (хронический бронхит, атрофический
бронхит и т. п.).
Тогда, зная эти «фоновые» изменения, при осмотре слизистой оболочки бронхов пораженного легкого легче обнаружить даже небольшие изменения, вызванные заболеванием (признаки воспаления, перестройки рельефа).
В пределах легкого осмотр главных бронхов, отходящих от него долевых и далее — сегментарных,
субсегментарных
и более мелких осуществляют по единой системе, с обязательной регистрацией состояния гребешков в зонах их деления, а также респираторных движений бронхов, степени сократительной способности их устьев. Осмотр бронхиального дерева в пределах каждого легкого производят сверху вниз: от верхнедолевых бронхов до бронхов базальной
пирамиды.
При скоплении в просвете дыхательных путей патологического содержимого, препятствующего проведению осмотра, затрудняющего интерпретацию полученных данных, его удаляют с помощью электроотсоса. При необходимости бронхиальное дерево промывают изотоническим раствором натрия хлорида или раствором антисептика (фурацилин
).
Уже на основании только осмотра при фибробронхоскопии
имеется возможность получить точное представление о характере патологических изменений в легких более чем у 60 % больных. Так, при опухоли в просвете бронха определяется «плюс-ткань» в виде бугристых грибовидных, папилломатозных,
гранулематозных,
полиповидных
разрастаний; при наличии инфильтратов стенки бронха видно плоское или бугристое с гладкой или шероховатой поверхностью выбухание,
а также сужение просвета бронха с какой-либо стороны или концентрического характера. Как правило, в зоне изменений слизистая оболочка также изменена: рыхлая, легко кровоточащая, лишенная респираторной подвижности. Документировать результаты осмотра при фибробронхоскопии
позволяет фотографирование выявленных изменений в трахеобронхиальном
дереве.
Наряду с детальным осмотром и определением патологических изменений в трахеоброн
хиальном
дереве эндоскопическое обследование больных с заболеваниями легких обеспечивает взятие материала для морфологической верификации заболевания. У большинства больных это позволяет успешно завершить этиологическую и топическую диагностику заболевания. Особенно важными становятся результаты морфологической диагностики при подозрении на рак легкого. Предпринятые в начальном периоде обследования больного, они дают возможность в короткое время установить правильный диагноз и определить показания к наиболее рациональному лечению.
Большое практическое значение результатов морфологических исследований материала, получаемого при бронхоскопии, определило разработку и усовершенствование специальных приспособлений для его получения. К ним относятся наборы биопсийных
щипцов, кюретки,
щеточки-скарификаторы, иглы для выполнения чрезбронхиальной
биопсии, всевозможные аспираторы.
ДИАГНОСТИЧЕСКАЯ ПУНКЦИЯ ПЛЕВРАЛЬНОЙ ПОЛОСТИ
Пункция плевральной полости относится к числу широко распространенных диагностических приемов при заболеваниях легких и плевры. Получаемая при этом информация нередко позволяет судить о характере патологических изменений и определяет последующую лечебную тактику. Кроме того, освобождение плевральной полости от экссудата или воздуха чаще всего позволяет предпринять последующее обследование с применением более сложных приемов и методов как за счет улучшения состояния больных, так и вследствие восстановления нормальных анатомических взаимоотношений органов грудной полости, расправления
коллабированного
или ателектазированного
легкого.
Показания к пункции определяют при выявлении физикальными
и рентгенологическими методами обследования скопления жидкости или газа в плевральной полости. В зависимости от характера этих находок уточняются место и задачи плевральной пункции.
При скоплении в плевральной полости жидкости пункция выполняется в положении больного сидя с опорой-подставкой под руку со здоровой стороны туловища. Место для пункции намечают сзади, в нижних отделах грудной полости, чаще всего — по ходу седьмого межреберья
между средне-подмышечной
и лопаточной линиями.
В намеченной для пункции точке выполняют послойную анестезию тканей грудной стенки. Обязательным условием плевральной пункции является предупреждение сообщения полости с внешней средой — в плевральную полость не должен попасть воздух.
Вид и характер жидкости в полости, ее количество уже в процессе проведения пункции нередко решают многие вопросы диагностики (гной, хилезная
жидкость, кровь, серозный экссудат). Тем не менее принципиально важным является специальное изучение жидкости. Определяются ее плотность, биохимический и цитологический состав, характер микрофлоры и чувствительность ее к антибиотикам. Часть жидкости рекомендуется оставить в пробирке на сутки для макроскопической оценки осадка.
При наличии в плевральной полости воздуха пункцию вы
полняют спереди во втором межреберье
по среднеключичной
линии. Использование при этом пневмотораксного
аппарата позволяет не только удалить из плевральной полости воздух и установить его количество, но и уточнить характер сообщения плевральной полости с воздухоносными
путями. Это часто является определяющим при решении вопросов последующей лечебной тактики. Для этой цели используют плевроманометрию,
дающую возможность на разных этапах эвакуации воздуха определить степень и устойчивость отрицательного давл
ения в плевральной полости.
При скоплении в плевральной полости воздуха и жидкости чаще всего требуется выполнение плевральных пункций из нескольких точек. Выбор места пункции определяется областью скопления жидкости или газа, диагностированных при рентгенологическом исследовании. Пункцию плевральной полости рекомендуется завершать контрольным рентгенологическим исследованием, которое позволяет судить об эффективности пункции, а также может дать дополнительную информацию о характере изменений в легких или плевральной полости, получение которой ранее — на фоне экссудата или воздуха — было затруднительно.
ДОПОЛНИТЕЛЬНЫЕ МЕТОДЫ
ДИАГНОСТИЧЕСКИЙ ПНЕВМОТОРАКС
Диагностический пневмоторакс применяется д
ля уточнения места расположения солидных образований, изучение которых при рентгенографии или томографии не позволяет решить: исходят ли они из средостения и других образований, формирующих грудную полость, или располагаются в легком. С помощью диагностического пневмоторакса можно уточнить наличие или отсутствие сращений в плевральной полости, степень фиксации ими легкого.
На рентгенограммах, выполненных после наложения пневмоторакса, удается установить, отошло ли образование вместе с легким, или же осталось связанным с грудной стенкой, диафрагмой, средостением.
Наиболее удобным местом для пункции плевральной полости с целью наложения диагностического пневмоторакса являются второе межреберье
по среднеключичной линии (в положении больн
ого сидя) или третье — пятое межреберья
по с
редней подмышечной линии (в положе
нии больного лежа на здоровом боку).
В намеченной точке на всю глубину грудной стенки выполняется послойная местная анестезия. На то, что игла находится в плевральной полости, указывают свободное поступление анестезирующего раствора из шприца, самопроизвольные перемещения его поршня в ритме дыхания больного; на подключенном пневмотораксном
аппарате регистрируются перепады давления на манометре.
Убедившись в том, что игла находится в плевральной полости, с помощью пневмотораксного аппарата в нее дозированно
вводится 750 — 1000 мл воздуха или кислорода. При этом на манометре регистрируется «положительное — положительное»
давление. Игла извлекается. Больному придается положение, необходимое д
ля оттеснения легкого газом от той или иной части стенки грудной полости. Затем выполняется рентгенологическое исследование. После завершения исследования газ из плевральной полости удаляется.
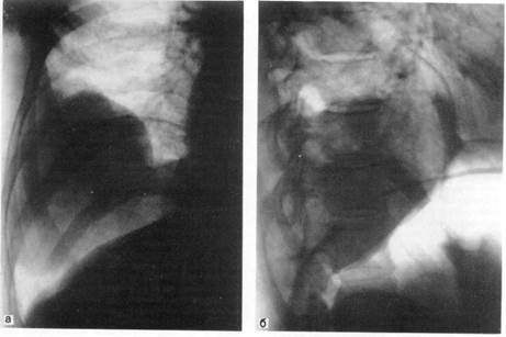
Показанием к введению воздуха или кислорода в брюшную полость с последующим рентгенологическим обследованием являются образования, прилежащие к нижним долям легких и куполу диафрагмы, когда не удается ответить на вопрос: располагаются ли они в легком, исходят из диафрагмы или находятся в под
диафрагмальном
пространстве, например в печени (рис. 4).
Методика наложения пневмоперитонеума
состоит в следующем. В положении больного на спине в точке, располагающейся на 2—3 см выше и левее пупка, на всю глубину брюшной
стенки выполняется послойная местная анестезия. В момент прокола париетальной брюшины появляется ощущение свободного, без сопротивления вытекания обезболивающего раствора из шприца даже при отсутствии давления на поршень. После этого иглу присоединяют к пневмотораксному
аппарату и в брюшную полость дозированно
в течение 3—5 мин вводят 1000—1200 мл кислорода, воздуха или закиси азота. Последний удобен ввиду быстрого рассасывания и некоторого анальгезирующего
эффекта. Больному на 20—30 мин придается положение на здоровом боку с несколько приподнятой верхней частью туловища. При этом введенный газ перемещается под купол диафрагмы, оттесняя его кверху. На рентгенограммах удается четко дифференцировать нижнюю поверхность диафрагмы. В удалении газа из брюшной полости необходимости нет. В течение 3 — 8 сут
ок воздух рассасывается самостоятельно. Кислород и закись азота исчезают раньше, обычно к исходу первых суток. Рис.
4. Доброкачественная опухоль правого легкого в условиях искусственного пневмоперитонеума.
а — прямая рентгенограмма; б — боковая рентгенограмма.
Пневмомедиастинография
применяется для уточнения расположения образований, которые на рентгенограммах и томограммах
прилежат к органам средостения,
сливаясь с ними. Кроме того, этот метод может быть использован для более четкого выявления различных новообразований средостения, уточнения их взаимоотношения с расположенными здесь органами. Оттесняя медиастинальную
плевру со стороны средостения, удается уточнить расположение новообразований по отношению к легкому в случаях, когда сращения в плевральной полости не позволяют наложить пневмоторакс.
Для наложения переднего пневмомедиастинума
больного укладывают на спину с небольшим валиком под лопатками и отведенной кзади головой. В области яремной вырезки грудины делают местную анестезию кожи и под
кожной клетчатки. За грудину вводят тонкую иглу, предпосылая раствор анестетика.
Убедившись, что конец иглы находится в клетчатке средостения, а не в сосуде, к павильону ее присоединяют пневмотораксный
аппарат и медленно, дозированно
в течение 7—10 мин, вводят 500—750 мл воздуха или кислорода. Больному придается положение на спине с приподнятым ножным концом, а затем — на здоровом боку, что необходимо для более направленного распределения газа в пределах клетчаточных
пространств. После этого выполняется рентгенологическое обследование.
При наложении заднего пневмомедиастинума
используют пресакральный
доступ, откуда газ по клетчатке забрюшинного
пространства достигает задних отделов средостения.
Для этого в положении больного на животе ниже верхушки копчика выполняют местную послойную анестезию. Длинную тонкую иглу, предпосылая раствор анестетика, проводят под копчик и далее выше в направлении к передней поверхности крестца. Убедившись в том, что конец иглы располагается в пресакральной
клетчатке, а не в прямой кишке, с помощью пневмотораксного
аппарата поэтапно вводят до 1500— 2000 мл воздуха (не кислорода!).
После завершения этого этапа исследования больной в течение часа находится в вертикальном или полусидячем положении. Периодически рентгенологическим методом уточняется перемещение газа в восхо
дящем направлении к заднему средостению. После достижения им клетчаточных пространств заднего средостения выполняется рентгенологическое обследование.
бронхография
Основными показаниями к применению этого метода в настоящее время являются: подозрение на аномалию трахеи и бронхов, бронхоэктазии,
другие хронические нагноительные
заболевания легких, туберкулез, некоторые формы пневмосклерозов.
Для успешного выполнения бронхографии требуется специальная предварительная подготовка больных, особенно отделяющих значительное количество мокроты, так как в этом случае получить хорошее заполнение бронхов не представляется возможным.
Для освобождения трахеобронхиального дерева от патологического содержимого применяются как медикаментозные средства (отхаркивающие, мокроторазжижающие,
спазмолитические), так и специальные методы — паровые ингаляции, ингаляции с муколитиками,
ферментами, эндотрахеальные
вливания, лечебные бронхоскопии. Только
убедившись в полноценности и эффективности предпринятой подготовки, приступают к исследованию. В качестве контрастного вещества наиболее удобной является смесь сульфата бария и порошка из корня алтея. Перед введением смесь подогревается до 36—37 °С. В большинстве случаев исследование проводится под местным обезболиванием. Для этой цели используют препараты дикаина,
растворы новокаина, тримекаина.
Для введения контрастной смеси применяют стандартные управляемые катетеры Розенштрауха
— Смулевича.
После анестезии верхних дыхательных путей проводится обезболивание бронхиального дерева исследуемой стороны в различных положениях больного: на спине, на животе, на боку с опущенным головным концом. В дальнейшем, в зависимости от поставленных задач, проводят исследование бронхиального дерева всего легкого, его доли или сегмента. Заполнение бронхов производится под контролем рентгенотелевизионного
экрана. Рентгенограммы выполняются в прямой, боковой и косых проекциях в положении больного стоя или лежа на латероскопе.
После завершения исследования бронхиальное дерево с помощью электроотсоса, присоединяемого к введенному в просвет бронхов катетеру, по возможности максимально освобождают от контрастного вещества, промывают теплым антисептическим раствором. В течение последующих суток больному выполняются паровые ингаляции. На следующий день целесообразна контрольная рентгеноскопия. Она позволяет судить о полноте освобождения бронхиального дерева от контрастного вещества, а также, что не менее важно, может выявить изменения, не обнаруженные в ходе исследования (остаточные полости, кисты, в которых задерживается контрастное вещество).
Бронхография легких может быть выполнена под наркозом. Особенность ее проведения заключается в том, что больной лежит на спине, осуществляется искусственная вентиляция легких в условиях миорелаксации.
Контрастное вещество вводят через интубационную
трубку и в период кратковременного апноэ
выполняют рентгенограммы обоих легких в прямой и косых проекциях (рис. 5).
Применяются также аэрозольные бронхографии с использованием в качестве контрастного вещества порошка тан
тала. Тантал, покрывая слизистую оболочку трахеи и бронхов, позволяет с большой четкостью выявить детали ее строения — складки, железистый аппарат. Контрастное вещество в виде мелкодисперсного
порошка вводится в просвет дыхательных путей при помощи специального устройства — распылителя. Отмечены хорошая переносимость процедуры больными, высокая информативность полученных результатов. Аэрозольная бронхография особенно предпочтительна в тех случаях, когда необходимо точно оценить рельеф слизистой оболочки трахеобронхиального
дерева, диагностировать стенозы трахеи и крупных бронхов, особенно у больных с низкими функциональными резервами, в том числе у лиц, перенесших операции на легких. Рис. 5.
Поднаркозная
бронхография у ребенка. Косая проекция. Норма.
Плеврография
— метод исследования, с помощью которого удается выявить, точно локализовать, определить размеры и конфигурацию остаточной плевральной полости при эмпиемах, ригидном
легком, спонтанном пневмотораксе и т. п.
Фистулография
выполняется для определения направления и протяженности свищевых ходов, распознавания поддерживающих их причин (инородное тело, остеомиелит ребра), а также дл
я выяснения формы и размеров ост
аточной полости при сообщении ее с просветом бронхиального дерева.
В качестве контрастного вещества используются водорастворимые вещества — кардиотраст, уротраст
и др.
В плевральную полость контрастное вещество вводят путем пункции в точке, ранее намеченной по рентгенограммам или при рентгеноскопии, а в случае плеврокожного
свища — через введенный в свищевой
х
од катетер или иглу с булавовидным
концом. После заполнения полости наружное отверстие свища закрывают полоской лейкопластыря.
Рентгенографию выполняют стоя (в двух проекциях) и лежа на латероскопе.
Плеврография
и фистулография
в настоящее время являются наиболее распространенными из методов, дающих возможность определить, локализовать и оценить размеры остаточной плевральной полости. Необходимо иметь в виду, что размеры полостей, как правило, превышают их контрастное изображение на рентгенограммах
АНГИОПУЛЬМОНОГРАФИЯ
Ангиопульмонография
— способ контрастного исследования сосудов малого круга кровообращения. Чаще всего показания к ангиопульмонографии
определяются как дифференциально-диагностические: при пороках развития легкого, нагноительных
заболеваниях, бластоматозном
процессе. Она дает также возможность определить функциональное состояние паренхимы легкого, оценить гемодинамику Различают четыре способа ангиопульмонографии:
1) общую ангиопульмонографию,
выполняемую путем внутривенного введения контрастного вещества или посредством ангиокардиографии
из правого желудочка сердца; 2) селективную ангиопульмонографию,
выполняемую из ствола или ветвей легочной артерии; 3) суперселективную ангиопульмонографию, включающую контрастирование
из долевых, сегментарны
х ветвей легочной артерии; 4) окклюзионную
ангиопульмонографию, выполняемую при заклинивании субсегментарной
или лобулярной
ветви легочной артерии концевой частью сердечного катетера или при блокировании баллоном катетера магистральной ветви легочной артерии. Ангиопульмонография производится в рентгенооперационных,
обеспечивающих телевизионный рентгенологический и физиологический контроль, оснащенных автоматическими инъекторами
для быстрого, дистанционного и синхронного с рентгенографией введения контрастного вещества (уротраст,
верографин
и др.) в сосуды и сердце. Сердечный катетер вводится в сосуды, как правило, чрескожно-чрезбедренным
способом.
 |
Бронхиальную артериографию
целесообразно выполнять в сочетании с катетеризацией легочной артерии и изучением показателей давления, оксиметрией
в регионах выше и ниже выявляемых анастомозов двух систем кровообращения легких. Рис. 6.
Ангиопульмонография.
а — артериальная фаза; б — капиллярная фаза; в — венозная фаза.
Рис.
7.
Селективная ангиография бронхиальных артерий.
При контрастном исследовании сосудов средостения можно установить признаки поражения расположенных здесь лимфатических узлов при раке легкого.
Контрастное исследование сосудов средостения включает в себя флебографию
и аортографию
.
Флебография
выполняется с учетом характера патологического процесса, выявляемого при помощи рентгенографии, томографии, бронхографии. При указании на вероятное поражение лимфатических узлов переднего средостения выполняют верхнюю кавографию
и контрастное исследование внутренних грудных вен, а при подозрении на поражение лимфатических узлов заднего средостения — азигографию.
При анализе ангиопульмонограмм
обращают внимание на пофазовое
продвижение контрастного вещества по различным регионам легкого: легочной артерии, капиллярного русла, венозной системы малого круга кровообращения (рис. 6).
По комбинации ангиографических
признаков представляется возможным охарактеризовать вид и распространенность патологического процесса (при двухпроекционной сериографии
— посегментарно)
в легком, при этом обращается внимание на наличие деформации сосудов, смещение, контуры, разреженность сосудистого рисунка (рарефикацию),
степень развития сосудов отдельных сегментов, долей, легкого, характер расположения камер сердца, ротацию сердца и др.
Комплексная оценка ряда показателей (давление в правых камерах сердца и системе легочной артерии, насыщение кислородом артериальной и смешанной венозной крови, а также в различных регионах малого круга и др.) позволяет определить резервные возможности малого круга кровообращения и рационально планировать лечение пульмонологических
больных. В сочетании с количественной оценкой регионарного легочного кровотока, определение легочных объемов крови значительно расширяет и углубляет представления о резервных возможностях организма.
При селективной ангиографии бронхиальных артерий катетер вводится в грудную аорту и далее — до устья бронхиальных сосудов; введение контрастного вещества осуществляется с помощью автоматического инъектора.
Сериография,
проводимая, как правило, в переднезадней проекции, может быть дополнена рентгенограммами в боковой или косой проекциях в зависимости от задач исследования (рис. 7).
При анализе бронхиальных ангиограмм
определяются уровень и тип анатомического ветвления сосудов, положение, форма, диаметр, характер контуров сосуда, извитость его и проходимость, характер и уровень окклюзии, степень развития коллатеральных ветвлений и их взаимосвязь с легочной артерией. Учитываются уровни анастомозирования
двух систем кровообращения легких (субсегменты, сегменты, доли или
лобулярные ветви легочной артерии). Рис. 8.
Верхняя кавография.
Контрастированы
верхняя полая вена, безымянная вена и правое предсердие.
Рис. 9.
Флебограмма
внутренних грудных вен.
Верхняя кавография наиболее часто выполняется путем пункции локтевых вен или их катетеризации. Другим вариантом верхней кавографии
является ретроградная катетеризация верхней полой вены через нижнюю полую вену и правое предсердие. При введении контрастного вещества регистрируется продвижение его по венам переднего средостения, а также сосудам малого круга (рис. 8).
Контрастное исследование внутренних грудных вен выполняется введением контрастного вещества в грудину на уровне четвертого межреберья.
На флебограммах
внутренние грудные вены видны в виде двух контрастируемых
сосудов, расположенных параллельно обеим сторонам грудины (рис. 9). Признаками, указывающими на наличие увеличенных лимфатических узлов парастернальной
области, считают локальные сужения просвета вен вплоть до полного блока, появление ретроградного кровотока,
коллатеральных ветвей, участков расширения вен на ограниченном протяжении.
Контрастное исследование непарной и полунепарной вен — азигография
— может быть выполнено как с помощью внутрикостного
введения контрастного вещества, так и посредством прямой катетеризации устья непарной вены. Для внутрикостного введения обычно используют остистый отросток одного из нижнегрудных позвонков, а также задние сегменты IX и Х
ребер. При этом контрастное вещество заполняет, кроме непарной вены, полунепарную и вены позвоночных сплетений. При прямой катетеризации устья непарной вены катетер с проводником вводится в нижнюю полую вену, правое предсердие, верхнюю полую вену. Проводник удаляется. Концевая часть катетера, имеющая двойной изгиб, в верхней полой вене принимает исходно приданную ему форму. Конец катетера устанавливают в устье непарной вены, а затем производят ретроградное заполнение ее. Тугое и интенсивное заполнение всей системы непарной и полунепарной вен, а также восходящих поясничных вен получают при введении 20—30 мл контрастного вещества с объемной скоростью до 15 мл/с.
При аортографии
удается определить отношение патологического процесса в средостении к аорте и ее магистральным ветвям. В соответствии с данными флебографии средостения (кавографии,
азигографии
и др.) это дает возможность более полно оценить степень распространенности процесса в лимфатических узлах переднего и заднего средостения. Наиболее характерные ангиографические
признаки, указывающие на увеличение лимфатических узлов средостения, можно по данным флебографии
, охарактеризовать следующим образом: дефекты наполнения, блок сосуда, сужение различной степени и протяженности, изменение конфигурации сосуда, смещение и вынужденно фиксированное его положение, различные формы обструкции сосудов, развитие коллатерального кровотока
и степени его выраженности, сопровождающееся расширением сосудов, повышенной их извитостью.
Флебография
позволяет дифференцированно
оценить органические и функциональные изменения вен средостения, однако для этого необходимо отчетливо представлять физиологические места сужений верхней полой вены (у места впадения в правое предсердие), внутренних грудных вен (на уровне грудино-реберного
сочленения) и др. При выявлении дефекта наполнения оценивается его форма (округлый одиночный или полициклический, ровный или изъеденный контур сосуда). Если для сдавления
вены характерен ровный контур, то дл
я прорастания ее стенки — изъеденный, неровный. Полицикличность контуров сосуда и циркулярность
сужения вены указывают на распространенность процесса в средостении. Полная блокада вены выявляется в виде различных форм ее культи: цилиндрической, конусообразной, округло-выпуклой или с округло-вогнутым контуром. Форма культи может косвенно указывать на характер и причину окклюзии — сдавление,
сдавление-тромбоз
или прорастание опухолью. Если блок расположен в районе опухоли, то изменения сосуда наиболее вероятно связаны с ней. Обструкция вены на значительном расстоянии от опухоли указывает на ее тромбоз. Неровность нижнего контура левой плечеголовной
вены патогномонична
для увеличения преаортокаротидных
лимфатических узлов и смещения кверху и кпереди дуги аорты. Близкое положение дуги аорты к плечеголовной вене создает передаточную пульсацию на ее нижнюю стенку, что при ангиографии проявляется неровностью контура сосуда. Различным уровням обструкции
сосудов средостения соответствуют определенные вариа
нты коллатерального кровообращения.
РАДИОИЗОТОПНЫЕ МЕТОДЫ ИССЛЕДОВАНИЯ ЛЕГКИХ
Радиоизотопные методы исследования легких основаны на регистрации излучения радиоактивных изотопов, введенных в организм больного через дыхательные пути или кровеносную систему. При проведении вентиляционной радиографии легких используют радиоактивный изотоп ксенона.
Вдыхание смеси ксенона с кислородом дает возможность судить о состоянии бронхиального дерева, оценить участие в вентиляции различных отделов паренхимы легкого. Однако применение радиоактивных газов не позволяет получить картину сосудистого русла легких.
Об интенсивности легочного кровотока, диффузионной способности альвеол судят по ска
н
нограммам,
полученным при введении радиоактивных препаратов в кровеносное русло. Для этой цели используется альбумин человеческой сыворотки, меченный радиоактивными изотопами. Сразу же после внутривенного введения меченый альбумин с частицами размерами не более 10 мкм
задерживается в капиллярном русле легких. Излучение изотопа, которым мечен альбумин, регистрируется сканером. В результате исследования получают точную информацию о характере капиллярного кровотока
в различных участках легкого.
Радиоизотопное сканирование легких позволяет оценить различные нарушения кровообращения, особенно при тромбоэмболических
поражениях сосудов, при бластоматозных
поражениях. В этих случаях на сканограммах
обнаруживаются сужение легочных полей и разрежение или полное отсутствие записи в зоне расположения опухоли, что может быть решающим для диагноза.
При тромбоэмболиях сосудов малого круга кровообращения в остром периоде сканирование позволяет диагностировать и оценить объем нарушения легочного кровообращения. Повторные исследования дают возможность контролировать степень и характер восстановления легочного кровообращения.
Возможности отдельных методов, используемых при обследовании больных заболеваниями легких, могут быть расширены за счет их сочетанного
использования.
Следует отметить, что выполнение подобных исследований пока еще ограничивается специализированными пульмонологическими
стационарами, имеющими необходимое оснащение и подготовленный для проведения такого обследования персонал.
ДИАГНОСТИЧЕСКИЕ ОПЕРАТИВНЫЕ ВМЕШАТЕЛЬСТВА
ТРАНСТОРАКАЛЬНАЯ ИГЛОВАЯ
БИОПСИЯ ПЛЕВРЫ
Показанием к выполнению пункционной
биопсии плевры чаще всего является предположение о туберкулезном или бластоматозном
ее поражении.
В точке, намеченной по рентгенограммам и томограммам,
проводится послойное местное обезболивание грудной стенки, после чего с помощью специально предложенной для этой цели иглы Эбрамса
[М.
Abrams],
имеющей наружный диаметр 4 мм, вращательным движением высекается цилиндрик мягких тканей грудной стенки с париетальной плеврой. Полученный материал направляется для гистологического изучения.
Принципиальным недостатком этого метода является то, что выполняется он, по существу, вслепую. Поэтому при свойственном плевральным листкам очаговом характере поражения при определении этиологического диагноза учитывать следует лишь положительный результат исследования.
ТРАНСТОРАКАЛЬНАЯ ПУНКЦИОННАЯ
БИОПСИЯ ЛЕГКОГО
Показанием к пункционной биопсии является формирование в периферических отделах легкого так называемых «шаровидных образований», морфологическая структура которых неясна, а торакотомия
сопряжена с повышенным риском.
Биопсия выполняется в рентгеновском кабинете под контролем экрана электронно-оптического преобразователя. Определяется кратчайшее расстояние от поверхности кожи до образования в легком, и в намеченной точке выполняется послойная анестезия тканей грудной стенки. Для пункции используются игла Сильвермена
или различные ее модификации. Для этой цели также применяется игла-троакар с концом, заточенным в виде фрезы. Под контролем рентгеновского экрана игла с троакаром вводится в образование в легком. Убедившись в правильном расположении конца иглы, троакар извлекают, а иглу медленно продвигают вперед, вращая по часовой стрелке. Режущий фрезевой
конец высекает участок образования. Затем с помощью шприца создается небольшой вакуум, удерживающий в просвете иглы биопсийный
материал, и игла извлекается. Полученный материал подлежит морфологическому изучению.
Из наиболее частых осложнений трансторакальной
биопсии легкого следует отметить: пневмоторакс, небольшое кровохарканье; при инфицированном исследуемом образовании (формировании в нем абсцесса) возможен перенос инфекции по ходу иглы с развитием флегмоны грудной стенки. Возникновение имплантационных
метастазов при пункции злокачественной опухоли относится к числу очень редких осложнений.
ТОРАКОСКОПИЯ
Этот диагностический прием имеет значение при обследовании больных туберкулезом легких, спонтанным пневмотораксом. Кроме того, с помощью торакоскопии возможны уточнение локализации и характера бронхоплевральных
свищей при хронической эмпиеме плевры, а также осмотр париетальной и висцеральной плевры при подозрении на поражение их опухолью с направленным взятием материала для морфологического изучения. Исследование выполняется в перевязочной или операционной. Перед торакоскопией на стороне поражения накладывается пневмоторакс. Больной укладывается на здоровый бок с заведенной за голову рукой. Наиболее удобным местом для введения прибора является область пересечения третьего — пятого межреберий
со средней подмышечной линией, но в зависимости от целей исследования и характера рентгенологических изменений оно может быть соответственно изменено. При сформировавшемся плеврокожном
свище эндоскоп вводится в плевральную полость по этому каналу. Кожа после обезболивания прокалывается остроконечным скальпелем, а через остальные слои грудной стенки проходят в плевральную полость с
помощью троакара с мандреном
из комплекта торакоскопа.
После извлечения мандрена
через троакар проводится торакоскоп.
Вращая торакоскоп вокруг оси и изменяя угол его наклона, производят осмотр легкого, висц
еральной и париетальной плевры. С помощью биопсийных
щипчиков направленно, под контролем
зрения, берется материал для морфологического
изучения.
В качестве торакоскопа может быть использован
фибробронхоскоп,
небольшой наружный диаметр
которого, системы надежного и интенсивного
освещения и управления, а также устройства
для выполнения биопсии расширяют возможности
метода.
После окончания исследования эндоскоп и троакар
извлекаются, на грудную стенку накладываются
швы. Удаляется воздух из плев
ральной полости. В числе возможных осложне
ний торакоскопии иногда отмечают формирова
ние реактивного выпота, лечение которого осуществляется
пункциями.
АБСЦЕССОСКОПИЯ
Волоконно-оптический эндоскоп может быть использован для оценки состояния полости абсцесса легкого, осмотра дренирующего бронха, динамического контроля за процессами очищения и заживления гнойной полости.
Для выполнения исследования эндоскоп в полость абсцесса вводится через сформировавшийся свищевой ход или путем торакоцентеза.
Перед проведением троакара следует убедиться в том, что легкое в зоне расположения абсцесса спаяно с париетальной плеврой. После этого выполняется пункция полости абсцесса. По ходу иглы через стенку грудной полости проводится троакар с мандреном. После извлечения мандрена
с помощью резинового катетера и электроотсоса удаляется гнойное содержимое, промывается полость. Через троакар проводится эндоскоп. Полость осматривается, берется материал для морфологического и микробиологического исследований.
БИОПСИЯ НАДКЛЮЧИЧНЫХ ЛИМФАТИЧЕСКИХ УЗЛОВ
Показанием к выполнению этого диагностического приема чаще всего является оценка распространения опухоли легкого или других органов грудной полости. Определенное значение биопсия надключичных лимфатических узлов имеет для дифференциальной диагностики с заболеваниями, при которых имеются внешне сходные изменения в лимфатическом аппарате (лимфогранулематоз, туберкулез).
Для выяснения состояния нижних шейных лимфатических узлов применяют прескаленную
биопсию.
При этом под местным обезболиванием или под наркозом удаляется клетчатка с расположенными в ней лимфатическими узлами второго клетчаточного
пространства шеи. Эта анатомическая область ограничена внутренней яремной и подключичной венами у места их слияния в плечеголовной
венозный ствол и нижним брюшком лопаточно-подъязычной мышцы. Располагающиеся здесь лимфатические узлы (нижние глубокие яремны
е)
иссекаются и подвергаются гистологическому исследованию.
Возможным вариантом морфологической оценки состояния надключичных лимфатических узлов является пункционная
биопсия. Этот менее травматичный
прием используется глав
ным
образом для исследования измененных лимфатических узлов — увеличенных, четко пальпируемых.
МЕДИАСТИНОСКОПИЯ
Выполнение медиастиноскопии
предназначено для решения вопроса о состоянии лимфатических узлов средостения (паратрахеальных, трахеобронхиальных,
претрахеальных,
бифуркационных) путем их визуального исследования, инструментальной пальпации и взятия пункционной
или прямой биопсии. Таким образом, основной задачей медиастиноскопии является оценка характера и степени распространенности бластоматозного
процесса.
Исследование выполняется под наркозом. В положении больного на спине, с валиком, подложенным под лопатки, и отведенной кзади головой над яремной вырезкой грудины делается поперечный разрез кожи, рассекаются фасциальные
образования. Тупо, с помощью пальца и инструментов расслаивается клетчатка за грудиной и в переднем средостении, формируется канал для введения эндоскопа (медиастиноскопа).
Осматриваются анатомические образования переднего средостения, расположенные здесь группы регионарных
лимфатических узлов. С помощью иглы, биопсийных
щипчиков или зажимов измененные или подозрительные в отношении поражения патологическим процессом ткани и лимфатические узлы берут для морфологического изучения. Исследование завершается гемостазом,
наложением швов на рану.
Медиастиноскопия
может сопровождаться рядом осложнений. По данным возникали тяжелые кровотечения, парез возвратного нерва, повреждение пищевода. Имелись случаи развития медиастинита,
пневмоторакса.
Однако необходимо иметь в виду, что медиастиноскопия
не может дать полного представления о состоянии средостения на всем протяжении. Затруднено исследование задних его отделов, лимфатических узлов области «аортального окна»; не всегда возможно определить отношение первичной опухоли к сосудам корня легкого, перикарду.
Определенная неудовлетворенность возможностями и результатами исследования средостения с помощью медиастиноскопии явилась основанием для разработки и предложения диагностической парастернальной
(передней) медиастинотомии
.
Парастернальная медиастинотомия
обеспечивает лучший доступ к лимфатическим узлам средостения, дает возможность исследования клетчаточного
пространства впереди от верхней полой вены и дуги аорты, «аортального окна» и корня легкого, более свободного визуального контроля, широкого пальпаторного
исследования средостения и взятия для изучения нескольких лимфатических узлов из различных участков регионарных коллекторов.
Исследование выполняется в операционной. В большинстве наблюдений, когда при медиастинотомии принимается решение о радикальной операции, сразу же после ее завершения приступают к торакотомии
.
Под наркозом, в положении больного на спине, с валиком под плечами и головой, справа или слева от края грудины, параллельно и отступя от него кнаружи на 1 см, выполняется вертикальный разрез кожи между
I—III ребрами. Послойно достигают хряща II ребра, который поднадхрящнично
резецируется на протяжении 2,5—3 см. При необходимости углубленного исследования нижнего края корня легкого и околопищеводных групп лимфатических узлов дополнительно резецируется также хрящ III ребра. Выделяются и перевязываются внутренние грудные артерии и вены. Тупо отслаивается кнаружи медиастинальная
плевра. Из образованного доступа проводится обследование средостения и расположенных в нем органов (верхняя полая вена, аорта, регионарные
лимфатические узлы, элементы легкого). При необходимости клетчатка и отдельные лимфатические узлы берутся для гистологического исследования. Исследование завершается гемостазом, а при нарушении целости медиастинальной
плевры и развитии пневмоторакса — дре
нированием плевральной полости. После медиастинотомии
проводится контрольное рентгенологическое исследование.
В тех случаях, когда иными методами установить точный диагноз или распространенность патологических изменений не представляется возможным, особенно у больных, совокупность результатов обследования у которых не позволяет исключить развитие рака легкого, оправдана диагностическая торакотомия.
Во время торакотомии
выполняются срочная биопсия очага поражения, лимфатических узлов или резекция измененного участка легкого (лобэктомия,
сегментэктомия,
атипичная
резекция) в целях морфологического изучения.
Обнаружение при этом рака легкого делает диагноз достоверным и позволяет судить о распространенности бластоматозного
поражения. Чаще всего такое диагностическое оперативное вмешательство сразу же переходит в лечебное.
По понятным причинам выполнение диагностической торакотомии противопоказано у больных, не подлежащих хирургическому лечению вследствие тяжести общего состояния, обусловленной основным или сопутствующими заболеваниями. В этих случаях диагностические трудности преодолеваются путем использования более щадящих методов, применяемых в процессе динамического наблюдения и симптоматического лечения.
ДИАГНОСТИКА ОТДАЛЕННЫХ МЕТАСТАЗОВ РАКА ЛЕГКОГО
Метастазы рака легкого чаще всего локализуются в печени, почках, надпочечниках, головном мозге, костях. Поэтому определение состояния органов брюшной полости, которые при раке легкого стоят на втором месте после поражения лимфатических коллекторов средостения, имеет важное значение.
Среди специальных методов исследования печени, предпринимаемых дл
я этой цели, наиболее часто используются радиоизотопная гепатография
и гепатосканирование.
Метод позволяет обнаружить в печени образования, имеющие поперечные размеры более 3 см.
Для определения метастазирования
опухоли в ткань печени используются также термография
, ультразвуковая эхолокация
, ангиография.
Хорошим методом является применение компьютерной рентгенотомографии.
При больших изменениях в печени, выявленных с помощью неинвазивных
методов исследования, для установления этиологического диагноза выполняется пункционная
биопсия. Выявление и гистологическая верификация метастазов опухоли в печень возможны с помощью лапароскопии
. Однако существенным недостатком лапароскопии является недоступность для обозрения органов, расположенных в забрюшинном
пространстве.
Диагностическая лапаротомия
при раке •легкого дает возможность наиболее полно оценить состояние органов брюшной полости и забрюшинного
пространства. Впервые с этой целью она была применена R. Bell и соавт. в 1963 г., а в последующем ею пользовались и другие авторы.
В последние годы для оценки состояния надпочечников у больных раком легкого при подозрении на развитие в них метастазов опухоли предложена прямая супрареноскопия
[Матыцин
А. Н„
1983].
С помощью специального прибора — супрареноскопа
— удается осмотреть органы забрюшинного пространства — почки, надпочечники. При необходимости визуальная диагностика может быть расширена взятием материала для морфологического изучения.
|