| Министерство Здравоохранения Республики Беларусь
Белорусская Медицинская Академия Последипломного Образования
Кафедра детской хирургии
В.В. Троян, А.В. Заполянский, Э.М. Колесников
СИНДРОМ ПОРТАЛЬНОЙ ГИПЕРТЕНЗИИ У ДЕТЕЙ
(патогенез, клиника, диагностика, лечение)
Учебно-методическое пособие
Минск. БелМАПО. 2009
УДК 616.149-088.341.1-053.2 (075.9)
ББК 54.102я73
Т 76
Рецензенты:
Кафедра детской хирургии БГМУ;
Доктор медицинских наук, профессор И.И. Лазюк
В.В. Троян, А.В. Заполянский, Э.М. Колесников
Синдром портальной гипертензии у детей (патогенез, клиника, диагностика, лечение): Учебно-методическое пособие. – Мн.: БелМАПО, 2009. 58 с. 11 ил.
В учебно-методическом пособии представлены современные данные о патогенезе, клинике, диагностике и лечении синдрома портальной гипертензии у детей. Учебное пособие предназначено для детских и общих хирургов и педиатров, а также врачей-курсантов и стажеров данных специальностей.
УДК 616.149-088.341.1-053.2 (075.9)
ББК 54.102я73
В.В. Троян, А.В. Заполянский, Э.М. Колесников
БелМАПО
ПЕРЕЧЕНЬ УСЛОВНЫХ ОБОЗНАЧЕНИЙ
ВВ – воротная вена
ВРВП – варикозно расширенные вены пищевода
ГЭК – гастроэзофагеальное кровотечение
ДСРА – дистальный спленоренальный анастомоз
СПГ – синдром портальной гипертензии
ПФПГ – подпеченочная форма портальной гипертензии
УЗИ – ультразвуковое исследование
ЭГДС - эзофагогастродуоденоскопия
ЭС – эндоскопическое склерозирование
ПСШ – портосистемное шунтирование
ВВЕДЕНИЕ
Синдром портальной гипертензии (СПГ), или синдром повышения давления в воротной вене не является самостоятельным заболеванием. Тем не менее, он часто встречается при патологических процессах, когда нарушается циркуляция в системе воротной вены. В промышленно развитых странах основной причиной портальной гипертензии у взрослых в 85-90 % является цирроз печени. По данным ВОЗ, более 200 миллионов человек или 5 % населения планеты являются носителями вируса гепатита – основного фактора, ответственного за последующее развитие цирроза печени и СПГ.
В этиологии компенсаторной перестройке кровообращения в бассейне воротной вены (ВВ) и СПГ у детей основную роль играют пороки развития сосудов или их тромбоз. Развивающаяся в результате этого портальная гипертензия вызывает гемодинамические и циркуляторные нарушения, которые заключаются в перестройке печеночного кровообращения, повышении венозного давления в селезенке с увеличением ее размеров, развитии гиперспленизма и коллатеральных путей кровотока.
Забиваем Сайты В ТОП КУВАЛДОЙ - Уникальные возможности от SeoHammer
Каждая ссылка анализируется по трем пакетам оценки: SEO, Трафик и SMM.
SeoHammer делает продвижение сайта прозрачным и простым занятием.
Ссылки, вечные ссылки, статьи, упоминания, пресс-релизы - используйте по максимуму потенциал SeoHammer для продвижения вашего сайта.
Что умеет делать SeoHammer
— Продвижение в один клик, интеллектуальный подбор запросов, покупка самых лучших ссылок с высокой степенью качества у лучших бирж ссылок.
— Регулярная проверка качества ссылок по более чем 100 показателям и ежедневный пересчет показателей качества проекта.
— Все известные форматы ссылок: арендные ссылки, вечные ссылки, публикации (упоминания, мнения, отзывы, статьи, пресс-релизы).
— SeoHammer покажет, где рост или падение, а также запросы, на которые нужно обратить внимание.
SeoHammer еще предоставляет технологию Буст, она ускоряет продвижение в десятки раз,
а первые результаты появляются уже в течение первых 7 дней.
Зарегистрироваться и Начать продвижение
Подпеченочная форма портальной гипертензии (ПФПГ) у детей, является патологией, требующей активного лечения уже в раннем детском возрасте в связи со значительным числом тяжелых осложнений, наблюдаемых у этого контингента больных. Наиболее грозным осложнением заболевания, представляющим значительные трудности в лечении и основную угрозу жизни ребенка, по праву считают гастроэзофагеальное кровотечение (ГЭК). По данным A. Yancy и соавторов (2000), с момента начала кровотечений 30 % больных погибают в течение 2-4 лет после 2-3 их рецидивов. Следует подчеркнуть, что более чем в половине наблюдений детей с ПФПГ первое кровотечение возникает до 7-летнего возраста.
Целью хирургического лечения ПФПГ является надежное предотвращение ГЭК, лечение гиперспленизма и снижение давления в системе воротной вены (ВВ). В лечении синдрома портальной гипертензии (СПГ) выделяют следующие основные направления: 1) эндоскопическое склерозирование (ЭС) варикозно расширенных вен пищевода (ВРВП); 2) операции портосистемного шунтирования (ПСШ); 3) операции портосистемного разобщения; 4) трансплантация печени.
До настоящего времени дискуссионными остаются вопросы выбора метода хирургического лечения как на высоте ГЭК в случае безуспешности консервативной терапии, так и в плановом порядке для их предупреждения. Среди основных вариантов вмешательств наиболее эффективными и перспективными считаются методы лечения СПГ с помощью ПСШ. Эти операции позволяют снизить или нормализовать давление в портальной системе и эффективно предупреждать рецидивы кровотечений.
Несмотря на все больший интерес, проявляемый хирургами к применению ПСШ в практике лечения детей с ПФПГ, остается много неясных и спорных проблем, требующих углубленного исследования и анализа. Операции ПСШ не всегда выполнимы, а в некоторых случаях приводят к прогрессированию печеночной недостаточности и развитию портосистемной энцефалопатии.
Остаются актуальными вопросы, касающиеся выбора варианта хирургического лечения ПФПГ у детей в зависимости от возраста, течения патологического процесса, индивидуальных анатомических особенностей ребенка. Значительные трудности могут возникать в случае частичного или тотального тромбоза магистральных сосудов портальной системы, традиционно используемых для создания анастомозов.
Сервис онлайн-записи на собственном Telegram-боте
Попробуйте сервис онлайн-записи VisitTime на основе вашего собственного Telegram-бота:
— Разгрузит мастера, специалиста или компанию;
— Позволит гибко управлять расписанием и загрузкой;
— Разошлет оповещения о новых услугах или акциях;
— Позволит принять оплату на карту/кошелек/счет;
— Позволит записываться на групповые и персональные посещения;
— Поможет получить от клиента отзывы о визите к вам;
— Включает в себя сервис чаевых.
Для новых пользователей первый месяц бесплатно.
Зарегистрироваться в сервисе
Неоднозначность эффекта различных видов оперативных вмешательств, а также высокая частота рецидивов ГЭК (25-40 %) заставляют проводить углубленное изучение портопеченочной гемодинамики для выработки наиболее рациональной хирургической тактики и повышения эффективности оперативного лечения.
Подводя итог изложенному, можно сказать, что лечение и профилактика кровотечений из ВРВП и желудка по-прежнему является главным показанием для хирургического вмешательства при ПФПГ у детей. Поэтому хирург, участвующий в лечении этих пациентов должен владеть всеми методами лечения, начиная от консервативного и медикаментозного и заканчивая сложными видами оперативных вмешательств.
1. КРАТКИЙ ИСТОРИЧЕСКИЙ ОБЗОР
В 1889 году Banti описал заболевание, проявляющееся спленомегалией и анемией, которая ранее не ассоциировалась с известными гематологическими заболеваниями. Он считал, что селезенка является основной причиной заболевания, приводящей к анемии, вторичному циррозу печени и склерозу селезеночной и воротной вен. Спустя несколько лет стало ясно, что Banti описал целую группу заболеваний, которые в настоящее время распознаются как цирроз, нецирротическая портальная гипертензия и синдром тропической спленомегалии.
Позже Ravenna исследовал большое количество пациентов со значительной спленомегалией без выраженной патологии со стороны печени и назвал это заболевание застойной спленомегалией. В 1898 г. Benti описал портальную гипертензию, включающую синдром спленомегалии и гастроинтестинального кровотечения.
История хирургического лечения портальной гипертензии шла по нескольким направлениям. В первую очередь разрабатывались паллиативные методы, направленные на предотвращение осложнений заболевания, прежде всего кровотечения из ВРВП, поскольку радикального способа коррекции СПГ не существовало.
История создания портокавальных анастомозов начинается с экспериментальных работ российского хирурга Н.В. Экка, который в 1877 г. лигировал печеночный конец воротной вены и накладывал портокавальный анастомоз «бок-в-бок». В результате у собак формировался функционирующий портокавальный анастомоз «конец-в-бок».
Пять лет спустя, в 1882 г., E. Vidal впервые успешно выполнил порто-кавальный анастомоз «конец-в-бок» у больного с кровотечением из вен пищевода. Кровотечение было остановлено, однако в последующем у больного развился рецидивирующий асцит и энцефалопатия, что в итоге привело к летальному исходу.
В 1947 г. R.R. Linton предложил проксимальный спленоренальный анастомоз для лечения больных циррозом печени. Положительным моментом операции являлось радикальное устранение гиперспленизма после удаления селезенки, в результате чего происходила нормализация показателей периферической крови (лейкоцитов, тромбоцитов). Однако отдаленные результаты этой операции показали значительное обеднение портопеченочной перфузии, с нарастанием печеночной недостаточности и декомпенсации функции печени.
Blakemore в 1948 г. описал использование аутовенозной вставки для создания Н-образного портокавального анастомоза, который в меньшей степени, чем прямой вызывал уменьшение портальной перфузии печени.
В детской хирургии Marion в 1953 г. и Clatworthy в 1955 г. описали мезокавальный анастомоз, при котором пересеченная общая подвздошная вена разворачивалась и анастомозировалась в бок с верхней брыжеечной веной.
В 1972 г. Drapanas впервые использовал синтетический Н-графт для создания портосистемного анастомоза. В этот период начали обращать внимание на некоторые другие технические аспекты операции. Оптимальным считали проходимый анастомоз достаточно малого диаметра. Это должно было ограничить отведение крови из системы ВВ и развитие энцефалопатии, но в тоже время обеспечить достаточную декомпрессию варикозных вен пищевода.
В 1967 г. W.D. Warren описал дистальный спленоренальный анастомоз (ДСРА), направленный на селективную декомпрессию селезеночно-желудочного бассейна при сохранении кровотока по ВВ. Благодаря этому результаты шунтирующих операций значительно улучшились.
В последующие годы в мировой практике получили распространение так называемые парциальные сосудистые портокавальные анастомозы. Основная идея этих операций - это ограничение диаметра создаваемого портокавального соустья. В результате достигался не полный, а парциальный, то есть частичный, сброс портальной крови и сохранялся остаточный приток портальной крови к печени. Оптимальным считался анастомоз диаметром 8-10 мм.
Спленоренальные анастомозы и портокавальные анастомозы малого диаметра позволили использовать хирургические методы для лечения СПГ у детей. Последующее накопление опыта и внедрение в практику микрохирургической техники расширило показания к портокавальному шунтированию у маленьких детей, что позволило значительно улучшить результаты операций по профилактике кровотечений из ВРВП и желудка.
Одновременно с развитием сосудистой хирургии в лечении портальной гипертензии, изучались и другие возможности хирургического лечения СПГ. В 1898 году голландским врачом A.S. Talma была предложена оментопариетопексия, то есть создание обходных сосудистых коллатералей путем подшивания большого сальника к передней брюшной стенке. Идея Talma дала начало новому направлению в хирургии ПГ, названному органоанастомозами. Эти хирургические вмешательства были направлены на усиление коллатерального оттока из системы воротной вены. Его сторонники использовали для этой цели не только сальник, фиксируя его к печени, почке и полой вене, но и такие органы, как демукозированная тонкая кишка, желудок, печень, селезенка. В 1950 году Marion предпринял попытку выполнить гепатоспленопексию. В дальнейшем были разработаны методики, вначале подкожной, а затем и наддиафрагмальной транспозиции селезенки. Однако изучение отдаленных результатов данных вмешательств показало их малую эффективность. Поэтому, в настоящее время эти операции практически не используются.
В 19 столетии асцит лечили методом парацентеза, но в 1907 году Ruotte применил перитонеовенозный шунт, используя большую подкожную вену. После большого разнообразия попыток усилить поток асцитической жидкости через большой сальник, мочевыделительную систему, Le Veen применил шунт с протезом между брюшной полостью и грудной клеткой или с верхней полой веной.
Уменьшение притока крови по селезеночной артерии было также признано как снижающее давление в воротной системе. Спленэктомия применялась более 100 лет назад для лечения асцита, развившегося на фоне цирроза печени. В конечном итоге было установлено, что при этой операции можно снизить воротный кровоток на 2/3. Со временем, спленэктомия и ее риск, особенно для детей, была вытеснена лигированием селезеночной артерии или ее эмболизацией.
Одним из первых вмешательств на варикозно расширенных венах было выполнено J. Boerema (1949 г.). После выполнения торакотомии проводили выделение наддиафрагмальной части пищевода и рассекали его в продольном направлении. Варикозно измененные вены прошивали и перевязывали отдельными узловыми швами, а между лигатурами в просвет сосудов вводили 66 % раствор глюкозы с целью их облитерации. Эта операция была модифицирована G. Crile (1950 г.), который предложил обшивать варикозные вены пищевода непрерывным кетгутовым швом.
Учитывая отсутствие воздействия на неизмененные вены, которые с течением времени могут стать источником рецидивных кровотечений, N. Tanner (1950 г.) выполнил полное поперечное пересечение пищевода в наддиафрагмальной части с последующим послойным сшиванием двухрядным швом.
Использовались и другие модификации с целью уменьшить объем операции, в частности операция М. Пациоры (1974 г.), получившей распространение в нашей стране. Однако после этих вмешательств отмечалась высокая частота рецидивов кровотечений.
Наиболее радикальной была модификация, предложенная M. Sugiura и S. Futagawa (1973 г.). В этом году. M. Sugiura и S. Futagawa опубликовали статью "Новая технология для лечения варикозных вен пищевода", в которой предложили новый метод портосистемного разобщения для лечения СПГ, впоследствии получивший название операции Sugiura. Эта операция совместила в себе преимущества относительно эффективных операций деваскуляризации по M. Hassab и наложения эзофаго-эзофагоанастомоза по Walker. Это была самая агрессивная из операций портосистемного разобщения которая, тем не менее, сопровождалась довольно низким уровнем рецидивных кровотечений.
Уже к 1980 г. общее количество разработанных операций и их модификаций при СПГ превышало 100. В последующие годы их количество увеличилось. Однако в связи с развитием и внедрением в клиническую практику ортотопической трансплантации печени характер их изменился благодаря появлению "малоинвазивных" эндоваскулярных и эндоскопических технологий.
В 1939 г. C. Crafoord и P. Frenckner предложили эндоскопическую склеротерапию (ЭС) при ВРВП. Однако широкое распространение метод получил в 70-е годы. Это связано с неудовлетворительными результатами хирургического лечения и внедрением в практику гибких эндоскопов, что позволило расширить лечебные возможности метода. В настоящее время эндосклерозирование наравне с хирургическими методами является ведущим в лечении детей с СПГ.
Эндоскопическое лигирование варикозно расширенных вен
пищевода, предложенное в 1986 г. G.V. Stiegmann, оказалось более эффективным в отношении рецидивов кровотечений, нежели склеротерапия, способствуя более ранней облитерации варикозов, с меньшим количеством осложнений.
В 1955 г. Welch выполнил первую трансплантацию печени у собак. В 1963 г. группа исследователей под руководством Starzl осуществила первую успешную трансплантацию печени у человека.
В последние десятилетия трансплантация печени является наиболее предпочтительным методом лечения пациентов с тяжелыми диффузными заболеваниями печени и циррозом, осложненными портальной гипертензией.
2. ЭТИОЛОГИЯ И ПАТОГЕНЕЗ
Давление в воротной системе у здоровых детей редко превышает 7 мм. рт. ст. Портальной гипертензией считается повышение давления в системе воротной вены выше 10-12 мм. рт. ст.
Причины повышения давления в бассейне ВВ разнообразны, но, прежде всего они связаны с нарушениями оттока из ВВ. В зависимости от уровня на котором развилось препятствие, различают следующие формы портальной гипертензии: подпеченочная (пресинусоидальная)
,
связанная с обструкцией ВВ и ее основных притоков; внутрипеченочная
форма
, которая может быть следствием пресинусоидальной
обструкции (врожденный фиброз печени, врожденные или приобретенные артериопортальные фистулы, шистосомоз) и синусоидальной
(цирроз печени, венооклюзивная болезнь), надпеченочная форма (постсинусоидальная)
, связанная с обструкцией печеночных вен. К развитию портальной гипертензии у детей могут приводить следующие заболевания:
Пресинусоидальный блок
· непроходимость сосудов системы ВВ:
· тромбоз ВВ или ее кавернозная трансформация
· тромбоз селезеночной вены
· врожденный порок развития ВВ
· врожденный фиброз печени
· артериовенозная фистула
· шистосомоз
· гепатопортальный склероз
Синусоидальный блок
· заболевания печени
· аутоиммунный гепатит
· гепатит В и С
· болезнь Коновалова-Вильсона
· недостаток а1-антитрипсина
· гликогенозы 4 типа
· токсические и лекарственные гепатиты
· гистиоцитоз X
· болезнь Гоше
· болезни желчевыводящих путей
· атрезия желчевыводящих путей
· кисты холедоха
· синдромы внутрипеченочного холестаза
· склерозирующий холангит
· синусоидальная венооклюзивная болезнь
Постсинусоидальный блок
· синдром Бадда-Хиари
· непроходимость нижней полой вены
· хроническая застойная сердечная недостаточность
· полицетемия
· системная красная волчанка
· опухоли правого надпочечника и почки
Отдельные виды портальной гипертензии с разной частотой встречаются в различных странах и континентах. Обструкция печеночных вен (болезнь Бадда-Хиари) относительно часто встречается в Центральной и Южной Америке. В развитых странах Европы и Северной Америки соотношение между внутри- и подпеченочными формами СПГ приблизительно равно, что связано с высокой выживаемостью детей с паренхиматозным поражением печени, например, вследствие атрезии желчных ходов. В нашей стране около 90% детей с СПГ, которые нуждаются в помощи хирурга, составляют больные с ПФПГ.
Главным фактором, определяющим лечебную тактику и прогноз при СПГ, является функциональное состояние печени.
Внутрипеченочная (синусоидальная форма)
. Все формы цирроза печени приводят к портальной гипертензии. Кровь из воротной вены перераспределяется в коллатеральные сосуды, некоторая ее часть направляется в обход гепатоцитов и попадает непосредственно в мелкие печеночные вены в фиброзных септах. Эти анастомозы между воротной и печеночной веной развиваются из синусоидов, находящихся внутри септ. При этом около трети всей поступающий в печень крови проходит по этим шунтам в обход синусоидов, т.е. в обход функционирующей печеночной ткани. Прогноз определяется выраженностью печеночно-клеточной недостаточности и степенью активности процесса. При циррозе летальность от кровотечения из ВРВП составляет около 40 % при каждом эпизоде.
При постсинусоидальной (надпеченочной форме
) обструкции, вследствие высокого давления на выходе из печени, печеночная паренхима может подвергаться интенсивной деструкции вплоть до центрального некроза. Для этой формы характерны нарушения синтетической функции печени, коагулопатии и прогрессирующее развитие печеночно-клеточной недостаточности. Несмотря на то, что у этих больных могут быть использованы паллиативные вмешательства, направленные на предотвращение угрожающих жизни кровотечений, единственным радикальным методом лечения этой формы заболевания является трансплантация печени.
Пресинусоидальная обструкция
(под- и внутрипеченочные формы) не приводит к нарушениям синтетической функции печени и печеночной недостаточности, поэтому отсутствуют нарушения свертывающей системы и, следовательно, лечение должно быть направлено, прежде всего, на профилактику кровотечений.
Наиболее частой причиной подпеченочного блока
воротного кровотока является обструкция внепеченочных отделов ВВ, которая может иметь место на любом уровне. К тромбозу и кавернозной трансформации ВВ могут привести гнойно-воспалительные заболевания пупка в период новорожденности, катетеризации пупочной вены, а также сепсис, возникающий в этом возрасте при остеомиелите, некротическом энтероколите, перитоните и др. Особыми факторами риска являются процессы дегидратации и гиперкоагуляции периода новорожденности. Другой непосредственной причиной развития этой формы заболевания могут быть врожденные пороки развития ВВ.
В редких случаях пресинусоидальная портальная гипертензия может наблюдаться при увеличении воротного кровотока вследствие врожденной или приобретенной артериовенозной фистулы в системе ВВ. Тем не менее, несмотря на все известные факторы развития заболевания, более чем в половине случаев причину заболевания установить не удается.
Повышение давления в системе ВВ ведет к формированию естественных коллатеральных путей оттока, соединяющих бассейн ВВ с системой общего венозного кровообращения с более низким давлением. Сброс крови через коллатерали, соединяющие воротное и системное венозное кровообращение, приводит к снижению давления в ВВ. Однако этот эффект часто нивелируется одновременно развивающим гипердинамическим типом кровообращения. Портальная гипертензия, как правило, вызывает нарушения функции автономной нервной системы. Это сопровождается повышением уровня циркуляторных цитокинов, что ведет к тахикардии, уменьшению системного и органного сосудистого сопротивления, увеличению объема плазмы, увеличению сердечного выброса и, вследствие этого, к повышению давления в системе ВВ.
Коллатеральное кровообращение
Сброс крови из зоны высокого давления может происходить через различные органы и системы.
Менее опасными считаются коллатеральные коммуникации, открывающиеся между функционирующей пупочной веной и венами передней брюшной стенки («голова медузы»), нижними и верхними прямокишечными венами с образованием геморроидальных узлов, коллатерали забрюшинного пространства. Из них наиболее благоприятными считаются пути коллатерального кровооттока возникающие в забрюшинном пространстве, в области поджелудочной железы, двенадцатиперстной кишки и левой почки.
Самые опасные коммуникации, вызывающие тяжелые кровотечения, развиваются в стенке пищевода. Эти коллатерали соединяют правые, левые, венечные и короткие вены желудка, входящие в систему ВВ, через венозное сплетение стенки пищевода с системой непарной и полунепарной вен, откуда кровь оттекает в верхнюю полую вену. В норме кровь из венозных сплетений нижних отделов пищевода оттекает в обоих направлениях. При СПГ отток крови происходит только в сторону верхней полой вены. Большое значение в развитии ВРВП и желудка, в патогенезе ГЭК, имеют анатомические особенности строения данной области. В нижней трети пищевода выделяют три зоны венозной циркуляции
.
Непосредственно выше кардии начинается, так называемая, палисадная зона
. Ее длина составляет около 2-3 см. В этой области пищеводные вены проникают через мышечную пластинку слизистой гастроэзофагеального перехода и проходят внутри собственной пластинки. Особенность палисадной зоны заключается в высоком сосудистом сопротивлении, что создает предпосылки для разрыва вен на этом уровне.
Выше палисадной зоны располагается перфорантная зона
протяженностью около 2 см. Особенностью этой зоны является наличие многочисленных коммуникантных сосудов между венами различных уровней. В пищеводе выделяют четыре уровня расположения венозных сосудов. Наиболее поверхностно в слизистой располагаются интраэпителиальные вены, дренирующиеся в поверхностное венозное сплетение подслизистого слоя. Это сплетение в свою очередь связано с глубокими венами подслизистого слоя. Подслизистое сплетение и находящееся снаружи от пищевода вены соединены перфорантными сосудами, проникающими сквозь мышечный слой пищевода. При повышении портального давления сосуды подслизистого слоя подвергаются варикозному расширению. Предполагается, что кровотечение средней степени тяжести возникает вследствие разрыва интраэпителиальных сосудов, в то время как разрыв вен подслизистого сплетения приводит к массивной кровопотере.
Еще выше, на протяжении 8-10 см располагается поперечная перфорантная зона
пищевода.
Для СПГ наиболее характерно расширение глубоких вен подслизистого слоя, особенно в перфорантной зоне. Именно эти вены и рассматриваются с эндоскопической точки зрения как варикозно расширенные вены пищевода. Данные изменения, как правило, начинаются при повышении портокавального градиента более 7 мм рт. ст.
Помимо анатомических, в патогенезе ВРВП играют роль и другие факторы. Большую роль может играть патологический, ретроградный кровоток из параэзофагеальных вен, через вены-перфоранты в подслизистое сплетение, обнаруженный во время дуплексосонографических исследований (McCormack e. a. 1994).
Исследования последних лет показали, что в патогенезе ВРВП может иметь значение состояние соединительной ткани. Было обнаружено, что при ПГ имеются два вида изменений в соединительной ткани. В литературе эти изменения получили наименования синдрома «соединительнотканной дисплазии» (синдром «слабости соединительной ткани») и синдрома «ригидности соединительной ткани». У больных с синдромом «ригидной соединительной ткани» обычно наблюдается асцит. При синдроме «слабости соединительной ткани», наоборот, чаще формируются многочисленные портосистемные коллатерали в желудочно-селезеночной зоне, что увеличивает риск пищеводных кровотечений.
Важную роль в патогенезе ГЭК играют нарушения белоксинтезирующей функции печени, гиперфункция селезенки (гиперспленизм), нарушения свертывающей системы крови. Развитие ВРВП очень часто сопровождается нарушением функции пищевода, недостаточностью нижнего пищеводного сфинктера и гастроэзофагеальным рефлюксом. Заброс кислого желудочного содержимого в пищевод вызывает повреждение истонченных стенок варикозных вен и провоцирует кровотечение.
В последние годы, исследователи начали обращать внимание на еще одно осложнение СПГ, а именно, портальную или застойную гастропатию. При данной патологии в верхней трети желудка возникает избыточное число подслизистых артерио-венозных анастомозов между сосудами мышечного слоя слизистой оболочки, расширенными венами и прекапиллярами. В этом случае возрастает риск желудочного кровотечения, особенно вследствие воздействия пептических факторов на слизистую оболочку.
Повышение портального давления различной степени выраженности имеет место у всех больных с СПГ. Однако у многих из них ГЭК не возникают. Почему это происходит, окончательно установить не удалось. Большинство авторов не может выявить корреляцию между величиной портального давления и частотой кровотечений из ВРВП и желудка. По-видимому, здесь играет роль сочетание всех перечисленных выше факторов.
Таким образом, патогенез СПГ и кровотечений портального генеза у детей до конца не изучен. Очевидно только то, что в развитии кровотечений играют роль множество местных, региональных и системных факторов, каждый из которых имеет свое индивидуальное для конкретного больного значение. Сочетание затрудненного портального оттока крови, увеличения притока крови в воротную систему, развития коллатеральных путей циркуляции, нарушений функции печени и селезенки является главной причиной осложнений при синдроме портальной гипертензии.
3. ДИАГНОСТИКА
Методы диагностики.
При изучении анамнеза
заболевания, следует обращать внимание на факторы, которые могли привести к развитию портальной гипертензии. Особое внимание обращают на анамнез периода новорожденности, семейный анамнез, особенно на наследственные заболевания и болезни печени. Характерными причинами заболевания, выявляемыми при сборе анамнеза, являются осложнения при заживлении пупочной ранки в грудном возрасте, омфалит, пупочный сепсис, или катетеризация пупочной вены. Особое внимание обращается на наличие в анамнезе кровотечений желудочно-кишечного тракта.
Общеклиническое обследование
позволяет определить степень физического развития ребенка, уточнить размеры печени и селезенки, выявить наличие асцита, печеночных знаков, расширение вен передней брюшной стенки и геморроидальных узлов, другие признаки СПГ. Следует отметить, что уже при первичном осмотре и объективном обследовании больного можно определить некоторые симптомы заболевания.
Характерными признаками вторичного гиперспленизма у детей в возрасте до 3-4 лет являются увеличение живота и неустойчивый стул при отсутствии бактериологически подтвержденной кишечной инфекции. После 3 лет чаще отмечаются спленомегалия и пищеводные кровотечения. Высокая частота спленомегалии (100%) и кровотечений (75-80%) позволяют считать эти симптомы особо патогномоничными при ПФПГ.
Клинико-лабораторные методы.
Биохимические исследования необходимы для выявления болезни, диагностического поиска, оценки тяжести поражения, определения прогноза и осуществления контроля эффективности лечения. К наиболее распространенным показателям, учитываемым при обследовании больных, относятся активность щелочной фосфотазы и сывороточных трансаминаз. Тяжесть поражения клеток печени оценивают по уровню общего билирубина, альбумина и активности трансаминаз, а также протромбиновому времени.
Одна из первых систем тестов для оценки функционального состояния печени предложена специалистами в области хирургической гепатологии для больных, подвергавшихся операциям по разгрузке портального кровообращения (Child C.G., Turcotte J.F., 1964). Авторы выделили три группы больных (А, В, С) в зависимости от содержания основных биохимических показателей гомеостаза печени – сывороточного билирубина и альбумина, а также от наличия и выраженности асцита, энцефалопатии и состояния питания. R.N. Pugh и др. в 1973 г. модифицировали эту классификацию, введя показатель протромбинового времени вместо показателя, характеризующего питание больного. В настоящее время комплекс критериев Child-Pugh является основным диагностическим комплексом для оценки степени тяжести нарушения печеночных функций, сохранившим свою практическую значимость.
У больных с СПГ часто обнаруживаются лейкопения и тромбоцитопения, обычно в сочетании с незначительной анемией (гиперспленизм
). Отмечается лейкопения в пределах 1,5-3,0, в основном за счет уменьшается количества полиморфноядерных клеток. Иногда лейкопения бывает более выраженной. При всех формах СПГ наблюдаются сходные отклонения в количестве, структуре и функции тромбоцитов. Тромбоцитопения является следствием усиления секвестрации клеток в селезенке. Это вызвано значительным повышением селезеночного пула тромбоцитов. Разрушение тромбоцитов при этом минимальное. Тромбоцитопения встречается чрезвычайно часто, но клинически проявляется редко.
Эзофагогастродуоденоскопия (ЭГДС)
позволяет определить наличие и степень ВРВП, а в экстренных ситуациях - источник кровотечения. Это имеет большое значение, так как у одной трети пациентов с ВРВП кровотечение может быть вызвано застойной гастропатией, язвенными поражениями желудка и двенадцатиперстной кишки. Кроме этого ЭГДС позволяет определить риск развития кровотечений и степень застойной гастропатии. Этот метод может с успехом применяться на высоте кровотечения с лечебной целью, для выполнения эндоскопического гемостаза.
Рентгенологическое исследование пищевода и желудка
дает возможность выявить степень и протяженность варикозного расширения вен по длине пищевода, состояние нижнего пищеводного сфинктера, его функциональные возможности, гастро-эзофагеальный рефлюкс.
Методы визуализации системы воротной вены
являются основными в постановке диагноза СПГ. Они позволяют определить анатомию воротной системы, вид гемодинамического блока, степень развития коллатерального кровообращения. Используются следующие методы обследования:
1. Ультразвуковое исследование (УЗИ) позволяет неинвазивно оценить состояние печени и селезенки, уровень блока, наличие или отсутствие асцита.
2. Допплерография воротной системы позволяет уточнить качественные и количественные характеристики воротного кровотока, что определяет риск развития ГЭК.
3. Спленопортография, компьютерная ангиография позволяют точно визуализировать систему ВВ, определить вариант гемодинамического блока, характер и степень выраженности коллатералей, выбрать оптимальный метод хирургического лечения.
Биопсия печени,
интраоперационная или пункционная, необходима для уточнения этиологии заболевания, характера и степени цирротических и других изменений в печени, определения дальнейшей тактики лечения, в том числе необходимости трансплантации печени.
Цитологическое исследование пунктата костного мозга
с одновременным исследованием периферической крови необходимо для диагностики гиперспленизма и определении показаний к сопутствующей спленэктомии. Пунктат обычно получают из гребня подвздошной кости. Признаками гиперспленизма являются такие изменения в пунктате костного мозга как увеличение бластов, лимфоцитов, снижение лейко-эритроцитарного индекса и индекса созревания эритроцитов, снижение количества мегакариоцитов и тромбоцитов, угнетение их функции.
Все перечисленные методы взаимно дополняют друг друга. В данном разделе мы сочли необходимым более подробно остановиться на некоторых из них.
Ультразвуковое исследование
Внедрение высокоразрешающих ультразвуковых технологий, основанных на использовании эффекта Допплера, открывает новые возможности в обследовании больных с СПГ. Данные методы позволяют оценить качественные и количественные изменения портального кровотока, выявить нарушения и степень компенсации в системе портального портопеченочного кровообращения.
Комплексное ультразвуковое исследование, включает в себя осмотр в В-режиме, дуплексное сканирование с цветным допплеровским картированием.
Для оценки кровотока в ВВ служат показатели размеров сосудов, максимальная линейная скорость кровотока (V max), минимальная линейная скорость кровотока (V min), средняя линейная скорость кровотока (V mean), индексы периферического сопротивления – резистентности (RI), пульсаторный (PI) и объемный кровоток.
Комплексное УЗИ позволяет выделить следующие эхографические изменения при СПГ у детей:
1. На месте основного ствола ВВ выявляется ее кавернозная трансформация, при которой в области ворот печени определяется «сплетение» извитых тубулярных структур, состоящих из реканализированного тромбоза и порто-портальных коллатералей ворот печени.
2. Изменения в направлении кровотока в ВВ. В норме у здорового человека гепатопетальный поток отмечается в любом отделе портальной венозной системы. Цветное допплеровское картирование позволяет дать качественную оценку состояния ВВ, определить направление кровотока.
3. Диффузные, как правило, умеренно выраженные изменения паренхимы печени в виде неравномерного повышения эхогенности паренхимы. Неоднородность изменений обычно обусловлена гиперэхогенной тяжистостью по ходу ветвей ВВ. Размеры печени в большинстве случаев ПФПГ соответствуют возрастным показателям, однако почти у всех больных имеется гипертрофия хвостатой доли печени.
4. Спленомегалия различной степени выраженности, иногда сопровождающаяся диффузным повышением эхогенности паренхимы селезенки. Размеры селезенки в определенной степени соответствует тяжести СПГ.
5. Диффузные изменения стенок желчного пузыря. В норме стенки желчного пузыря обычно не видны, но допускается их утолщение до 2 мм. При портальной гипертензии желчный пузырь, как правило, деформирован с резко утолщенными, до 4-5 мм, стенками. В толще стенок желчного пузыря обнаруживаются порто-портальные коллатерали.
6. Утолщение и повышение эхогенности малого сальника. В большинстве случаев повышение эхогенности малого сальника затрудняет визуализацию поджелудочной железы и крупных сосудов в этой области (верхней брыжеечной вены, фрагменты селезеночной и левой почечной вен).
7. Безусловным признаком СПГ является обнаружение при УЗИ самопроизвольно образовавшихся коллатералей. К ним относят ВРВП и желудка, диафрагмальные, спленоренальные и спленогастральные коллатерали, коллатерали в стенке желчного пузыря, поджелудочной железы и т. д.
У больного не всегда можно выявить все перечисленные выше эхографические признаки СПГ, однако кавернозная трансформация ВВ и спленомегалия определялись практически у всех обследованных нами пациентов с ПФПГ.
При СПГ отмечается повышение давления в системе ВВ и, как следствие этого, снижение скорости воротного кровотока. При этом снижение линейной скорости кровотока расценивается в литературе как фактор высокого риска развития кровотечения.
Важное значение имеет УЗИ в экстренных ситуациях, когда больной поступает в клинику на высоте кровотечения.
Во время УЗИ в этих случаях, можно не только установить вид блока воротного кровотока, но и варианты анатомии магистральных стволов воротной вены. Также при УЗИ визуализируется левая почечная вена, пороки развития которой (рассыпчатый тип строения) имеются приблизительно у 3-10 % детей с ПФПГ.
Спленопортография
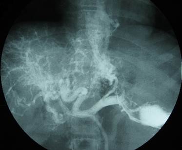
Рентгеноконтрастное исследование воротной системы позволяет получить наиболее отчетливое представление о состоянии портального кровообращении. Обследование проводится в рентгенкабинете под эндотрахеальным наркозом с деполяризующими миорелаксантами. Пункцию селезенки производится в положении больного на спине, в 10-ом межреберье по средней аксиллярной линии, иглой с мандреном. После прокола передней брюшной стенки мандрен удаляют, иглу вводят в пульпу селезенки на 1,5–2 см. При получении из иглы крови, в нее в зависимости от массы тела ребенка, вводят 30–50 мл подогретого до 37°С контрастного вещества и выполняют серию рентгенограмм. При оценке спленопортограмм обращают внимание на степень расширения селезеночной и ВВ, деформацию сосудистого рисунка печени, забрасывание контрастного вещества в ветви ВВ и состояние коллатеральных путей кровообращения (рис. 1).
  
Рис. 1. Спленопортограмма. Кавернозная трансформация воротной вены при ПФПГ.
Эзофагогастродуоденоскопия (ЭГДС)
Метод позволяет выявить и характеризовать варикозные вены в пищеводе и кардиальном отделе желудка. К данному исследованию у больных СПГ следует подходить с особой осторожностью. Травма истонченных варикозных вен может вызвать тяжелое пищеводное кровотечение. С другой стороны, выполнение исследования в экстренном порядке может быть затруднено вследствие продолжающегося кровотечения.
При осмотре ВРВП выявляются как расширенные и извитые стволы подслизистого слоя (рис. 2). Различают изолированные варикозные узлы и расширенные стволы и сплетения. По степени выраженности различают одиночные венозные стволы; венозные сплетения в области кардии и венозные сплетения, переходящие на пищевод. Цвет варикозных вен зависит от глубины залегания. При поверхностном – вены имеют голубую окраску и выбухают в просвет как тяжи или узлы. При глубоком залегании, на фоне розовой оболочки пищевода видны продольные извитые тяжи того же цвета. Они не спадаются при раздувании пищевода воздухом или надавливании на них эндоскопом. Одновременно оцениваются пептические изменения слизистой пищевода, что позволяет прогнозировать вероятность кровотечения. Следует отметить, что у больных СПГ часто наблюдаются воспалительные и эрозивные изменения слизистой пищевода вследствие гастроэзофагеального рефлюкса.

Рис. 2. ФЭГДС. Варикознорасширенные вены пищевода.
В нашей клинике разработан протокол комплексной оценки состояния вен пищевода и желудка, согласно которым выделяют четыре степени ВРВП. В основу протокола положены принципы регистрации эндоскопических признаков ВРВП, предложенные Японским обществом по изучению портальной гипертензии в 1991 году. При выполнении исследования определяется локализация, протяженность и форма вен пищевода и желудка, а также наличие так называемых «вишневых пятен» и «красных знаков», которые являются предвестниками кровотечения. Обнаруженные изменения отмечают в виде стандартной схемы, которая позволяет врачу-эндоскописту четко представить себе имевшуюся ранее у больного патологию (Э.М. Колесников, В.В. Троян 2004).
Протокол эндоскопического исследования позволяет достаточно подробно и объективно оценить степень варикозного расширения вен, позволяет проводить динамическую оценку эффективности ЭС и прогнозировать риск развития кровотечений в будущем. Не менее важным является тот факт, что таким образом обеспечивается преемственность у больных с СПГ, которые могут годами лечиться в разных учреждениях и у разных врачей.
Таким образом, ультразвуковые методы обследования позволяют оценить состояние сосудов печени и селезенки, характер и скорость кровотока в ВВ, наличие и характер коллатералей. Спленопортография показывает точную локализацию блока, анатомическую архитектонику сосудов, диаметр селезеночной и воротной вен, наличие коллатералей и путей окольного кровообращения. Рентгенологическое исследование помогает выявить гастро-эзофагеальный рефлюкс и варикозные вены в пищеводе, оценить состояние его функции. Протокол эндоскопического обследования всесторонне характеризует варикозно расширенные вены пищевода и состояние слизистой оболочки. Указанные методы исследования позволяют определить наиболее рациональную тактику лечения и оптимальный метод хирургического вмешательства для каждого больного.
Для клинической оценки состояния больного выделяют три стадии течения заболевания, в основе которых использованы принципы классификации М.Д. Пациоры, 1974.
1.
Компенсированная стадия СПГ:
а) спленомегалия;
б) наличие варикозно расширенных вен различной протяженности по длине пищевода;
в) возможна гепатомегалия.
2.
Субкомпенсированная стадия СПГ:
а) стойкая спленомегалия;
б) наличие варикозно расширенных вен различной протяженности по длине пищевода;
в) гепатомегалия;
г) гиперспленизм;
3.
Декомпенсированная стадия СПГ:
а) стойкая спленомегалия;
б) наличие варикозно расширенных вен различной протяженности по длине пищевода;
в) гепатомегалия;
г) прогрессирующий гиперспленизм;
д) кровотечения из ВРВП;
е) возможен асцит.
Данная классификация позволяет определить порядок необходимого обследования и выбрать оптимальное лечение СПГ у каждого конкретного больного.
4. КОНСЕРВАТИВНОЕ ЛЕЧЕНИЕ ЖЕЛУДОЧНО – ПИЩЕВОДНЫХ КРОВОТЕЧЕНИЙ ПРИ СПГ
Кровотечение из ВРВП является одним из самых грозных осложнений СПГ. Летальность при этом осложнении, по данным разных авторов, колеблется от 20 % до 85 % и зависит, главным образом, от его массивности, продолжительности и функциональных резервов организма. У 80 % больных, перенесших кровотечение из ВРВП, оно рецидивирует. При этом каждое повторное кровотечение на порядок увеличивает вероятность летального исхода. Особенно часто это наблюдается при пресинусоидальной форме портальной гипертензии у детей. В отличие от медленного нарастания блокады портальному кровотоку при циррозе печени, когда приспособительные механизмы включаются постепенно и рационально, сформированное механическое препятствие при подпеченочном блоке приводит к относительно быстрой мобилизации всех механизмов компенсации, их максимальному функциональному напряжению и более раннему истощению.
Спонтанное тромбирование дефекта в стенке варикозно расширенной вены маловероятно. Это связано с тем, что, во-первых, у больных с СПГ имеют место нарушения функции печени и селезенки и, вследствие этого, нарушения свертывающей системы крови. Во-вторых, стенка вены из-за резкого растяжения теряет способность к обратному сокращению.
Лечение кровотечений следует начинать с неотложных консервативных мероприятий, направленных на его остановку. Гемостатические мероприятия при СПГ проводятся с соблюдением общих принципов лечения кровотечений желудочно-кишечного тракта. Больному назначают строгий постельный режим, голод, устанавливают назогастральный зонд и проводят седацию. Осуществляют катетеризацию центральной вены, вводят витамин К, дицинон. Проводят мероприятия по восстановлению объема циркулирующей крови. Для гемостаза более показаны переливания свежезамороженной плазмы и отмытых эритроцитов, чем цельной крови. Обязательно оральное и внутривенное назначение антацидов, блокаторов Н2-рецепторов гистамина, ингибиторов протонового насоса.
Из местных мероприятий показано промывание желудка через назогастральный зонд холодным 0,5 % раствором NaCl, можно с добавлением аминокапроновой кислоты. Это способствует остановке кровотечения и позволяет удалить токсичные продукты распада крови из организма. Чтобы избежать водной интоксикации, необходим тщательный контроль получаемой обратно жидкости при каждом промывании. Особенно это важно у маленьких детей. Иногда этих мероприятий достаточно для остановки кровотечения.
При отсутствии эффекта показано использование фармакологических препаратов, направленных на снижение давления в системе ВВ. В настоящее время, для этой цели используются две основные группы препаратов: вазоконстрикторы
и вазодилататоры
.
Наиболее часто для фармакологической остановки кровотечения используют вазоконстрикторные пептиды
: вазопрессин и соматостатин, и их синтетические аналоги: терлипрессин, октреотид, сандостатин и др. Эти препараты назначают внутривенно. Возможно использование питуитрина, в состав которого входит вазопрессин. Средствами выбора при медикаментозном лечении кровотечений, в настоящее время, считаются соматостатин и его синтетический аналог октреотид. Механизм действия этих препаратов связан с тем, что они вызывают сужение артериальных сосудов внутренних органов и, соответственно, снижают приток крови в систему воротной вены.
Таблица 1.
Вазоконстрикторы и способы их применения
| Препарат
|
Первичное болюсное введение
|
Постоянная инфузия
|
Продолжительность
лечения
|
| Терлипрессин
|
2 мг внутривенно
|
1-2 мг каждые 4 часа
|
В течение 2 дней
|
| Октреотид
|
50 мкг внутривенно
|
50 мкг/ч внутривенно
|
До 5 дней
|
| Соматостатин
|
250 мкг внутривенно
|
250 мкг/ч внутривенно
|
До 5 дней
|
Эффективность препаратов вазопрессина, по данным разных авторов, оценивается от 30 до 70%. Основные недостатки этой группы препаратов связаны с общими эффектами вазоконстрикторов: спазмом сосудов, увеличением сердечного выброса, снижением кровообращения в органах. При использовании вазопрессина возможно снижение перфузии печени и ухудшение ее функционального состояния. У взрослых могут иметь место спазмы коронарных сосудов. Антидиуретический эффект вазопрессина может привести к ятрогенной задержке жидкости в организме, гипонатриемии, водной интоксикации. Поэтому необходим тщательный мониторинг диуреза. Системные эффекты менее выражены при использовании сандостатина.
Вазодилататоры
(нитраты, антагонисты кальция) редко применяются для остановки кровотечений при СПГ. Механизм их действия объясняют снижением печеночного сосудистого сопротивления и раскрытием порто-системных коллатералей. С другой стороны, вазодилататоры снижают артериальное давление. Поэтому при остром кровотечении они требуют одновременного назначения вазоконстрикторов.
Общим недостатком фармакотерапии является частое, более чем в 50% случаев, возобновление кровотечения после ее отмены. Нельзя не учитывать значения и такого фактора, как высокая стоимость данных препаратов. Например, один день лечения сандостатином стоит больше, чем один сеанс эндоскопической склерозирующей терапии.
При продолжающемся кровотечении, в ряде случаев, возможно применение зонда-обтуратора
Sengstaken
-
Blakemore
. При постановке зонда Блэкмора необходимо соблюдать определенные правила. Обязательно и строго используется зонд по размеру соответствующий возрасту ребенка. Зонд должен быть проведен через носовой ход. В дистальном баллоне зонда создают давление 40-60 мм. рт. ст. Затем баллон подтягивают к входу в пищевод и удерживают в натянутом состоянии. При необходимости, натяжение поддерживают при помощи груза массой до 100 г. В проксимальном пищеводном баллоне создают давление до 40 мм рт ст. и этим сдавливают варикозные вены. Через каждые 8 часов воздух из обоих баллонов следует выпускать, что бы не вызвать пролежни в пищеводе. Одновременно определяют продолжается кровотечение или нет. Длительность использования зонда Блэкмора не должна превышать 48 часов.
Баллонная тампонада пищевода довольно болезненна и плохо переносится детьми. Всегда имеется опасность аспирации слюны. При смещении баллона, например при беспокойстве больного, возможна блокировка дыхательных путей. Поэтому данная процедура обязательно требует седации ребенка, а еще лучше, вместе с интубацией трахеи. Большинство авторов отмечает, что после использования зонда-обтуратора Блэкмора в 20-50 % случаев наступает рецидив кровотечения. Поэтому в последние годы все большее значение приобретает методика экстренной остановки пищеводного кровотечения при помощи эндоскопической склерозирующей терапии.
5. ЭНДОСКОПИЧЕСКАЯ ТЕРАПИЯ ВАРИКОЗНО РАСШИРЕННЫХ ВЕН ПИЩЕВОДА
Выделяют следующие виды эндоскопического лечения ВРВП:
1.
Эндоскопическое склерозирование.
2.
Эндоскопическое лигирование.
3.
Облитерация вен тканевыми композитами.
Склерозирующая терапия
может использоваться как для экстренной остановки кровотечения из варикозных вен, а также как профилактический и лечебный метод. Результаты экстренной ЭС терапии у детей, как правило, хорошие. Кровотечение удается остановить у большинства детей (70-90 %), а частота рецидивов невелика.
Для склерозирующей терапии ВРВП используется следующие препараты:
1) Производные жирных кислот:
этаноламинолеат, морруат натрия.
2) Синтетические вещества:
содиумтетрадецилсульфат (тромбовар), полидоканол (этоксисклерол).
3) Препараты других групп:
этиловый спирт, фенол, тиссукол (берипласт), гистоакрил (букрилат).
Большинство склерозирующих агентов может быть применено как для интра- , так и для паравазального введения. В США и Англии чаще используется тромбовар и этаноламинолеат, в Европейских странах предпочитают этоксисклерол.
Сравнение различных видов препаратов не выявило существенных различий в их эффективности. Считается, что чем концентрированней склерозант, тем выше риск побочных действий, но и тем выраженней облитерирующий эффект.
Склерозирование проводят по принципу «снизу-вверх» начиная от пищеводно-желудочного перехода и продолжая в проксимальном направлении на всем протяжении, где определяются варикозные вены.
Существуют следующие методы склерозирования
ВРВП:
1. Интравазальный.
2. Паравазальный
.
3. Комбинированный.
При интравазальном
склерозировании препарат при помощи инъектора вводят непосредственно в просвет варикозной вены или узла. Склерозант, в частности полидоканол, повреждает эндотелий сосуда и вызывает денатурацию белков. Оказывая в момент введения противосвертывающее действие, полидоканол в последующем стимулирует быстрое образование тромба, организация которого происходит в течение 7 дней.
В качестве альтернативной методики было предложено вводить склерозант не в просвет сосуда, а в окружающие его ткани, т.е. паравазально
.
Основная цель паравазальной склеротерапии заключается в создании отека подслизистого слоя, который сдавливает поврежденный сосуд и, тем самым, останавливает кровотечение. В дальнейшем, за счет активизации склеротического процесса в окружающих тканях происходит укрепление стенки сосуда и ликвидируется варикозное его расширение.
Комбинированный способ
лечения предусматривает сочетание интравазального и паравазального введения препарата и призван объединить преимущества обеих методик. При этом целесообразнее начинать с интравазального введения препарата, когда ВРВП отчетливо контурируются, и завершать паравазальным введением склерозирующего раствора. Комбинированная методика считается оптимальным способом ЭС.
Показаниями к профилактическому ЭС
являются:
1. ВРВП 1-2 степени.
2. наличие развитых спонтанных спленоренальных коллатералей по данным спленопортографии.
3. сохраняющиеся ВРВП после оперативного лечения.
Профилактическая ЭС довольно эффективна у детей со спонтанными спленоренальными анастомозами, которые образуются в забрюшинном пространстве и выявляются при проведении спленопортографии. Это связано с тем, что по мере облитерации ВРВП возрастает функциональная нагрузка на спленоренальные коллатерали, что приводит к более полному их раскрытию. Аналогичный эффект может быть получен и у больных после операций портокавального шунтирования.
Склерозирующая терапия ВРВП является ведущим методом профилактики кровотечений у детей с хроническими заболеваниями печени и внутрипеченочным гемодинамическим блоком. В результате ЭС селективно облитерируются варикозные вены в области пищеводно-желудочного перехода, где риск их разрыва особенно велик. В то же время параэзофагеальные коллатерали портосистемного шунтирования сохраняются, а портальная перфузия печени сохраняется на высоком уровне. Кроме того, данная методика не препятствует последующей трансплантации печени.
В отдаленном периоде после ЭС возможен рецидив ВРВП за счет притока крови в подслизистое сплетение из параэзофагеальных вен через межмышечные коммуникантные вены. Вероятность и частота рецидива ВРВП зависит от степени распространения склеротического процесса в подслизистом слое пищевода, достигнутого на предыдущих сеансах склеротерапии.
При ЭС иногда наблюдаются так называемые «малые» осложнения в виде поверхностных изъязвлений слизистой, транзиторной гипертермии, загрудинных болей, дисфагии. Очень редко могут иметь место стриктуры или перфорации пищевода, тромбоз брыжеечных вен с инфарктом кишечника, абсцессы мозга вследствие напряженной бактериемии. В какой-то мере этих недостатков лишена методика эндоскопического лигирования вен пищевода.
Эндоскопическое лигирование вен пищевода.
Перевязка варикозных вен и узлов пищевода тонкой лигатурой вызывает облитерацию сосудов без введения склерозирующих веществ. В отличие от индукции химического воспаления и тромбоза при введении склерозирующих агентов, эластично-кольцевая лигатура, захватывая участки слизистого и подслизистого слоя пищевода в области варикозного узла, вызывает странгуляцию и последующий фиброз. Из-за того, что вовлечённый объем ткани мал, возникшие изъязвления всегда поверхностные и патологические изменения незначительные.

Рис. 3. Техника эндоскопического лигирования ВРВП. А. Контакт между ВРВП и устройством для лигирования. В. Варикозный узел засасывается в камеру для лигирования. С. Натяжение проводника приводит к сбрасыванию эластичного О-образного кольца и лигированию узла. D. Лигированный варикозный узел.
Метод позволяет остановить острое кровотечение и ликвидировать ВРВП путем повторных лигирований. Методика заключается в аспирации узла в просвет аппарата и завязывания вокруг его основания тонкой лигатуры (рис. 3). Процедуру повторяют, пока не будут перевязаны 3-5 узлов. Метод эндоскопического лигирования позволяет добиться облитерации ВРВП у 70-100% пациентов, при этом частота осложнений ниже, чем при склеротерапии. С другой стороны, данный способ не следует применять у детей младшего возраста, у которых имеется риск полного захвата тонкой стенки пищевода в лигатуру и, вследствие этого, развития серьезных осложнений. К недостаткам метода относят так же большую трудоемкость, в связи с чем, лигирование применяется намного реже склерозирования.
В последнее время наметилась тенденция к использованию тканевых композитов
или, так называемых, «тромбиновых коктейлей». Их примером является тиссукол (берипласт). Это двухкомпонентный тканевой гель из концентрата человеческого фибриногена и тромбина. Кроме того, он содержит человеческий альбумин, L–аргинина гидрохлорид, L-изолейцин, глютаминат натрия, хлорид и цитрат натрия. Преимуществом тиссукола является то, что он способен вызывать локальный тромбоз сосудов без повреждения окружающих тканей.
6. ПРОФИЛАКТИКА ПИЩЕВОДНЫХ КРОВОТЕЧЕНИЙ У БОЛЬНЫХ СПГ
Дети с ПГ нуждаются в диспансерном наблюдении. Им следует регулярно, 1-2 раза в год, проводить эзофагоскопию и, при необходимости, склерозирование ВРВП. У некоторых больных возможно амбулаторное использование этого метода. Кроме этого, дети нуждаются в длительном многоэтапном медикаментозном лечении, особенно в весенний и осенний периоды, когда чаще всего происходит обострение портальной гастропатии.
Лечебные мероприятия включает в себя щадящий режим, диету с исключением жирных, острых, копченых и консервированных продуктов, блюд с добавками уксуса. Не рекомендуется употреблять крепкий чай, кофе, шоколад, помидоры, огурцы и, особенно, цитрусовые, Для снижения агрессивности желудочного содержимого показано применение антацидов буферного действия, Н2-блокаторов рецепторов гистамина, ингибиторов протонового насоса. Назначают антигистаминные препараты, средства, регулирующие моторику желудочно-кишечного тракта и ускоряющие эвакуацию желудочного содержимого, гепатопротекторы, витамины. Для защиты слизистой пищевода и улучшения ее репарации можно назначать внутрь масла облепихи или шиповника. Наряду с этим лечением, после спленэктомии, у детей следует проводить два раза в год курсы антибактериальной терапии с использованием антибиотиков широкого спектра действия. Курсы проводят в течение 5–6 дней для профилактики постспленэктомического сепсиса.
Тем не менее, несмотря на успехи эндоскопических методов лечения, в значительном проценте случаев, по ряду причин нельзя обойтись без хирургического вмешательства. Показания к операции возникают в тех случаях, когда сохраняется опасность кровотечений даже на фоне ЭС или ребенок имеет более 2-3 эпизодов кровотечений в год.
7. ХИРУРГИЧЕСКОЕ ЛЕЧЕНИЕ СПГ У ДЕТЕЙ
Для профилактики пищеводных кровотечений, лечения СПГ или ее осложнений могут использоваться следующие хирургические методы:
1.
Операции портосистемного шунтирования (ПСШ),
т.е. операции, направленные на снижение давления в портальной системе и создание новых путей оттока крови:
органопексии, портокавальные, мезентерикокавальные, спленоренальные и другие типы сосудистых анастомозов.
2.
Операция мезентерико-портального шунтирования (Рекс-шунт).
3.
Операции портосистемного разобщения,
т.е. операции, направленные на прекращение кровотока по ВРВП:
операции разобщения и деваскуляризации.
4.
Операции, направленные на улучшение печеночного кровотока и
регенерацию печени
:
резекция печени, периартериальная неврэктомия общей печеночной артерии, артериальные анастомозы.
5.
Операции, направленные на отведение асцитической жидкости из
брюшной полости
:
лапароцентез, дренирование брюшной полости, дренирование грудного лимфатического протока, перитонеально-венозное шунтирование и другие.
6.
Трансплантация печени.
В литературе описаны различные способы органопексии
. Одни из этих методов – оментогепатопексия, гастрогепатопексия, колоногепатопексия были рассчитаны на формирование анастамозов между сосудами ВВ и печеночными венами при ПФПГ. Другие - гепатопневмопексия и спленопневмопексия, состоящие в перемещении части печени или селезенки в плевральную полость, рекомендовали для хирургического лечения декомпенсированного цирроза печени, осложненного асцитом и синдрома Бадда-Киари у взрослых. Данные операции довольно травматичны и, как показали последующие наблюдения, малоэффективны, поскольку достаточная сеть сосудистых анастомозов у этих больных не формируется.
Операции, направленные на улучшение печеночного кровотока и регенерацию печени:
резекция печени, периартериальная неврэктомия общей печеночной артерии, артериальные анастомозы и др. носят паллиативный характер, недостаточно эффективны и могут применяться только в сочетании с другими методами.
Как уже упоминалось выше, в настоящее время практически не используются операции направленные на улучшение печеночного кровотока и регенерации печени, а также различные виды органопексий.
Операции портосистемного разобщения
Анализ современной зарубежной литературы позволяет сделать вывод, что операции портосистемного разобщения являются достаточно распространенным видом хирургического вмешательства при варикозном расширении вен пищевода и желудка, хотя применяются реже, чем ПСШ и эндоскопическое лечение.
Показания к операциям портосистемного разобщения
обычно возникают при:
а) множественном тромбозе портальной системы в том числе после перенесенной ранее спленэктомии;
б) невозможности выполнить сосудистые операции вследствие малого калибра или аномалий сосудов;
в) для экстренной остановки не купируемого ГЭК.
Операции портосистемного разобщения предназначены для предотвращения или снижения кровотока по естественным портокавальным анастомозам в венозной системе пищевода и желудка. Предложены различные варианты подобных операций. В соответствии с видом основного оперативного вмешательства различают операции пересечения и реанастомоза (транссекции)
пищевода или желудка, а также операции деваскуляризации
пищевода и желудка.
В 1950 г. N.S. Tanner предложил две оперативные методики по лечению ВРВП: 1) поперечное пересечение и сшивание желудка в субкардиальном отделе; 2) пересечение с последующим сшиванием пищевода в наддиафрагмальном сегменте. Эти операции дают возможность разъединить венозные сети желудка и пищевода. Однако они не получили широкого применения из-за высокой травматичности и относительно частой несостоятельности швов пищевода и желудка.
В нашей стране получила распространение операция деваскуляризации, разработанная М.Д. Пациорой (1974). Сущность ее состоит в прошивании и перевязке отдельными лигатурами варикозных вен кардиального отдела желудка и пищевода со стороны слизистой оболочки, перевязке венечной вены желудка и левых желудочных сосудов, иногда в сочетании со спленэктомией (рис. 4). Операцию выполняют из абдоминального доступа, она менее травматична и технически проста. Существенным недостатком данной методики является неполное разобщение интрамуральных вен желудка и пищевода. Мелкие вены гастроэзофагеальной сети анастомозов остаются неперевязанными, сброс крови по ним продолжается и даже увеличивается. Таким образом сохраняются условия для рецидива варикозного расширения вен и пищеводных кровотечений.

Рис. 4. Операция Пациоры.
Достаточно полное интрамуральных венозных сетей пищевода и желудка достигается при трансторакальной субмукозной транссекции пищевода по Walker (1982). Однако и эта операция нередко дает рецидивы и осложнения.
Наибольшей популярностью среди методов ПСР в настоящее время пользуется операция, предложенная в 1973 г М. Sugiura и S. Futagawa. В Японии она получила название "Метод Токийского университета", а в остальных странах известна как операция Sugiura
(рис. 5).

Рис. 5. Операция Sugiura.
Классическую операцию Sugiura выполняют в два этапа. На первом этапе производят торакотомию слева и перевязывают все коммуникантные ветви, идущие от расширенных венозных коллатералей, формирующих сплетение вокруг пищевода, сохраняя стволы блуждающего нерва и собственно параэзофагеальные коллатерали интактными. Затем пищевод пересекают выше или на уровне диафрагмы и накладывают анастомоз “конец-в-конец“. Второй этап выполняют из абдоминального доступа. Производят спленэктомию, полную деваскуляризацию абдоминальной части пищевода и кардиальной части желудка, селективную проксимальную ваготомию и пилоропластику. Операция Sugiura позволяет ликвидировать явления гиперспленизма; разобщить венозную систему пищевода и желудка с параэзофагеальными коллатералями; снизить объем интрамурального кровотока пищевода; сохранить параэзофагеальные коллатерали в качестве естественных шунтов.
В последующем, с целью упрощения операции, было предложено использовать механическое сшивающее устройство для наложения эзофагоанастомоза, накладывать циркулярный гемостатический шов через все слои стенки желудка, вместо пересечения пищевода, производить проксимальную селективную ваготомию, использовать фундопликацию по Toupet или Nissen для профилактики несостоятельности анастомоза и гастро-эзофагеального рефлюкса. Операцию в настоящее время проводят с использованием только абдоминального доступа.
Анализ результатов лечения более чем у 7000 больных, согласно данным Japanese Research Society for Portal Hypertension (JRSPH), показал, что вариант операции Sugiura, включающий трансабдоминальную деваскуляризацию пищевода на протяжении 8-10 см с использованием сшивающих аппаратов для наложения реанастамоза является в настоящее время наиболее популярным видом хирургического вмешательства при ВРВП в Японии. Проведенные в 1990 г. исследования JRSPH показали, что операции портосистемного разобщения эффективны и для профилактики первого кровотечения. В течение 5 лет наблюдения данное осложнение наблюдалось только у 7 % оперированных больных и в 46 % случаев у не оперированных.
Наиболее частыми осложнениями после операции Sugiura являются: транзиторная дисфагия, стеноз пищевода (2,5-4 %), несостоятельность анастомоза (6–7 %). Гастро-эзофагеальный рефлюкс у оперированных больных, при использовании одной из методик фундопликации, развивается редко (4 %). С другой стороны, у большинства больных через 6-7 лет после операций наблюдается рецидив ВРВП. Это объясняется образованием новых коллатеральных вен вокруг пищевода и верхней части желудка. Частота рецидивов кровотечений в отдаленном периоде после абдоминального этапа операции Sugiura, по данным разных авторов, составляет 25-35 %.
Исследования портального кровообращения в послеоперационном периоде показали, что операция Sugiura не ухудшает перфузию печени. В то же время отмечается снижение органного кровотока и тканевого насыщения кислородом в желудке, которые восстанавливаются к 7-му дню после операции. Эти данные говорят о том, что обширная деваскуляризация может привести к тканевой гипоксии желудка и вызвать геморрагический гастрит, который сам по себе может быть причиной послеоперационных кровотечений. Поэтому объем деваскуляризации должен быть выбран оптимально, чтобы стремление выполнить операцию радикально не привело к развитию геморрагического гастрита.
Операция Sugiura, вследствие своей травматичности не получила распространения в детской хирургии. В нашей клинике с этой целью используются операции лигирования на протезе, транссекции и реимплантации пищевода, обычно в сочетании с деваскуляризацией.
Наиболее простой в исполнении и достаточно эффективной является операция лигирования брюшного отдела пищевода на протезе
. При необходимости ее можно сочетать с деваскуляризацией желудка и спленэктомией. Эта операция может выполняться для экстренной остановки пищеводных кровотечений, когда другие методы безуспешны.
Протез, изготовленный из фторопласта, представляет собой короткую трубку длиной от 2,5 до 4 см с наружным диаметром от 1,5 до 2 см. Диаметр протеза должен в 1,5 раза превышать диаметр пищевода для профилактики его рубцового сужения. Протез сборный, состоит из четырех сегментов. На протезе имеются два неглубоких желобка, в которых завязывают две тонкие кетгутовые нити, фиксирующие его в собранном виде. Протез распадается на составные части после рассасывания лигатур (рис. 6). Рис. 6. Схема операции лигирования пищевода на протезе
1. Лапаротомия косым доступом с обнажением реберной дуги слева. 2. Сборный протез. 3. Схема операции: 1) протез; 2) завязанная на пищеводе кетгутовая лигатура; 3) дуоденальный зонд, проведенный через носовой ход; 4) швы на месте гастротомии.
Операция осуществляется следующим образом. Выполняют лапаротомию. Мобилизуют брюшной отдел пищевода. При необходимости перевязывают сосуды верхних отделов желудка и выполняют спленэктомию. Через канал позади пищевода проводят кетгутовую нить № 6. Выполняют гастротомию на передней стенке вблизи кардии. В рану выводят конец дуоденального зонда, проведенного через носовой ход. На зонд насаживают протез в собранном виде и устанавливают его в абдоминальном отделе пищевода. Заранее проведенная кетгутовая нить максимально туго завязывается на пищеводе. Зонд проводят через двенадцатиперстную кишку в начальный отдел тощей. Отверстие в желудке ушивают. Зону “лигирования“ пищевода укрывают рядом узловых серозно-мышечных швов. В случае деваскуляризации (мобилизации) верхних отделов желудка считаем обязательным выполнение фундопликации по Ниссену. В этом случае серозно-мышечные швы на пищевод можно не накладывать. В послеоперационном периоде кетгутовые нити, удерживающие трубку в собранном виде, постепенно рассасываются, протез “рассыпается“ на составные части и отходит по кишечнику на 18-20 день после операции. В результате вмешательства происходит сдавление, частичное пересечение и тромбирование интрамуральных сосудистых сплетений. Таким образом, происходит разъединение азигопортальных коммуникаций в стенке пищевода.
Более радикальной, по нашим данным, является операция транспозиции (реимплантации) пищевода
. Ключевым этапом, давшим общее название операции, является наложение нового соустья между пищеводом и желудком. Накладывая анастомоз пищевод со стенкой желудка в области дна, а не реанастомозируя его в зоне пересечения, мы перемещаем пищевод в зону наименьшей концентрации варикозно измененных вен Показанием к операции являются декомпенсированная стадия СПГ, когда нельзя выполнить шунтирование. Это вмешательство показано при неэффективности проведенных раннее операций, спленэктомии и других, когда сохраняются ВРВП и эпизоды кровотечений.

Рис. 7 Операция транссекции пищевода
Операция осуществляется через лапаротомный доступ. Мобилизуют абдоминальный отдел пищевода и проксимальную половину желудка с перевязкой левой желудочной артерии. Производят отсечение пищевода от желудка после прошивания его аппаратом УКЛ–40 или 60 несколько ниже гастроэзофагеального соустья. Аппаратный шов со стороны желудка дополняют узловыми серо-серозными швами. Далее накладывают инвагинационный двухрядный анастомоз между пищеводом и желудком в области его дна. Первый ряд швов анастомоза накладывают аппаратом ПКС-18 или 20, второй ряд узловой, не ближе 0,5 см от первого ряда. В последние годы обязательно выполняем фундопликацию по Ниссену. Это связано с тем, что большинство детей с СПГ имеют гастро-эзофагеальный рефлюкс, который провоцирует кровотечения. С другой стороны, широкая мобилизация желудка и пищевода обязательно приведет к тяжелому гастро-эзофагеальному рефлюксу, даже если его не было до операции. Кроме того, фундопликационная манжетка укрывает зону анастомоза, что является профилактикой его несостоятельности. Через нос вводят двухпросветный зонд, один канал которого служит для декомпрессии желудка, а по второму, проведенному в двенадцатиперстную кишку, осуществляют зондовое энтеральное питание. При отсутствии послеоперационных осложнений зонд удаляют не ранее чем через 14 дней после обязательного рентгенологического контроля, исключающего выход контраста за пределы анастомоза.
Отдельно следует рассмотреть вопрос о показаниях к спленэктомии при операциях портосистемного разобщения.
В хирургии СПГ показаниями к спленэктомии могут возникать в следующих случаях:
1. Наличие сегментарной или «левосторонней» портальной гипертензии, когда основным проявлением болезни являются кровотечения из ВРВП и желудка вследствие непроходимости (изолированного тромбоза) селезеночной вены;
2. Артериовенозные фистулы между селезеночной артерией и селезеночной веной, то есть когда причиной СПГ является нагрузка системы ВВ объемом крови;
3. Инфантилизм у подростков, когда удаление селезенки больших размеров ведет к нормализации физических параметров организма.
Опыт выполнения спленэктомии при операциях портосистемного разобщения показывает, что данный этап нередко технически трудно выполним и сопровождается большой интраоперационной кровопотерей. Возможны осложнения в раннем и отдаленном послеоперационном периоде - поддиафрагмальные абсцессы, постспленэктомический сепсис и др. Иногда спленэктомия осложняется аспленической геморрагической тромбоцитемией, требующей новых лечебных подходов. При планировании спленэктомии все пациенты должны вакцинироваться от пневмококка и Haemophilus influenzae тип В, для профилактики постспленэктомического сепсиса.
В то же время сохраненная селезенка может играть роль буферного резервуара для нивелирования портальных кризов и регулирования портальной гемодинамики.
ОПЕРАЦИИ ПОРТОСИСТЕМНОГО ШУНТИРОВАНИЯ
Ведущими методами хирургического лечения СПГ, в настоящее время являются, различного вида шунтирующие операции
. Эти операции не используются для экстренной остановки кровотечений, однако они могут эффективно снизить портальное давление и вероятность развития варикозных вен пищевода. Главными их недостатками являются 1) печеночная энцефалопатия, вследствие отведения не прошедшей через печень крови из системы воротной вены в систему общей циркуляции и 2) возможное поражение печени из-за уменьшения или даже полного прекращения портального кровотока в печени. Шунтирующие операции нельзя применять у больных, которые являются кандидатами на пересадку печени. Кроме того, примерно у 30-50 % детей эти операции нельзя выполнить из-за анатомических особенностей растущего организма или распространении тромбоза на селезеночную и верхнюю брыжеечную вены.
Для успешного шунтирования следует соблюдать несколько условий: 1) используемые вены не должны быть поражены флебитом; 2) шунт должен быть достаточного диаметра для декомпрессии системы ВВ; 3) шунт должен расти вместе с ребенком.
В последние годы у детей реже применяются портокавальные анастомозы
(«конец-в-бок», «бок-в-бок») и мезентерикокавальные
(«конец-в-бок» или «бок-в-бок»).
Главным недостатком портокавальных анастомозов является то, что они резко нарушают воротное кровообращение печени вплоть до его полного прекращения. Общий печеночный кровоток может снижаться до 40-50 % от исходного уровня. Причем, при анастомозе по типу “бок в бок“ данный показатель снижается за счет ретроградного кровотока. Меньше нарушают печеночный кровоток мезентерикокавальные анастомозы. Перевязка нижней полой вены при мезентерикокавальном анастомозе конец-в-бок обычно хорошо переносится детьми. Однако примерно у 10 % взрослых отмечаются отеки нижних конечностей.

Рис. 8. Мезентерико-кавальный «Н»-образный анастомоз.
Использование “H”-образных шунтов, в какой-то мере, позволяет преодолеть анатомические сложности при создании сосудистых анастомозов. Для этого целей можно использовать сосудистые протезы, однако, практически все они тромбируются в течение первых 2-х лет после операции. Более физиологично использовать в качестве трансплантата для “H”- образных анастомозов аутовены (рис. 8).
Для декомпрессии портальной системы при плановых операциях у детей наиболее часто используют центральные и дистальные спленоренальные анастомозы
. Эти операции меньше нарушают общий печеночный кровоток.
У детей можно использовать проксимальный спленоренальный анастомоз
«конец в бок» (R.R. Linton, 1947). Это вмешательство особенно целесообразно при одновременном наличии показаний к спленэктомии, прежде всего вследствие гиперспленизма (рис. 9). Для выполнения анастомоза по типу “конец в бок“ селезеночная вена должна быть длиной не менее 4–6 см. Выделение такого протяженного по длине участка вены сопряжено с определенными техническими трудностями. Возможна травма поджелудочной железы и развитие панкреатита в послеоперационном периоде. Кроме этого, применение данной операции ограничено техническими возможностями. У некоторых больных с СПГ сосудистые анастомозы нельзя наложить по анатомическим причинам.

Рис. 9. Проксимальный спленоренальный анастамоз.
При выполнении проксимальных спленоренальных шунтов могут быть получены удовлетворительные результаты, однако летальность после таких вмешательств колеблется от 10 % до 35 %, энцефалопатия развивается у 3,5-28 % больных, а рецидивы кровотечений отмечаются у 10–27 % больных. Причинами рецидивов кровотечений являются тромбоз анастомоза и недостаточная декомпрессия бассейна ВВ.
В 1967 г. W. Warren с соавт., разработали операцию селективного шунтирования – дистальный спленоренальный анастомоз
(ДСРА)
. Эта операция направлена на селективную декомпрессию селезенки, вен желудка и пищевода, при сохранении портального кровотока (рис. 10). Операция получила довольно широкое распространение у детей и взрослых.

Рис. 10. Дистальный спленоренальный анастомоз.
Главное преимущество ДСРА – это селективная декомпрессия пищеводно-желудочного бассейна портальной системы с сохранением притока мезентериальной крови к печени. При ДСРА энцефалопатия развивается в только в 4,5 % наблюдений, однако послеоперационная летальность может достигать 16-25 %, а рецидивы кровотечений наблюдаются в 13–18 % случаев.
Селективная декомпрессия пищеводно-желудочного бассейна портальной системы приводит к постепенному уменьшению размеров селезенки, снижению и ликвидации явлений гиперспленизма. В этом заключается еще одно из важнейших преимуществ операций селективного шунтирования.
Наиболее частыми показаниями к операциям селективного ПСШ являются: 1) ВРВП 3-4 степени, 2) субкомпенсированная и декомпенсированная фаза заболевания, 3) преимущественно гастроэзофагеальный тип коллатерального кровообращения, выявляемый на спленопортографии.
До операции больному необходимо выполнить комплексное обследование по изучению портальной гемодинамики, включая спленопортографию и ультразвуковую допплерографию. Это позволяет определить тип коллатерального кровообращения, анатомическое состояние и размеры сосудов, выбранных для наложения соустья.
При выполнении операции ДСРА наиболее оптимальным доступом является верхняя поперечная лапаротомия. Лигируют и пересекают все мелкие ветви, идущие от поджелудочной железы к селезеночной вене. Дистальный конец селезеночной вены отсекают от верхней брыжеечной, стенку ее рассекается для увеличения диаметра анастомоза. Выполняют полную мобилизацию левой почечной вены, в верхне-передней стенке которой высекают «окно». После пережатия сосудов производят системную гепаринизацию в дозе 100 ЕД/кг. Анастомоз между дистальным концом селезеночной вены и почечной веной накладывают по типу «конец-в-бок». При этом используют непрерывный шов нитью ПДС-6/0 или 7/0 с фиксацией шва в 2 точках во избежание его гофрирования.
В конце операции рекомендуется лигировать левую желудочную вену.
После операции больным необходимо провести ультразвуковое допплерографическое обследование портальной гемодинамики. Контрольные исследования следует выполнять через 1 и 6 месяцев после операции. Это позволяет определить анатомическое состояние сосудов соустья и функциональную активность анастомоза в отдаленные сроки после операции.
Послеоперационный ультразвуковой контроль эффективности операции шунтирования проводится по нескольким направлениям:
1. Определяют размеры селезенки, что позволяет оценить эффективность операции и степень регрессии гиперспленизма.
2. Определяют диаметр селезеночной вены и параметры кровотока в ней в воротах селезенки, где имеется хорошая возможность визуализации данного фрагмента вены.
3. Проводят визуализацию дистальных отделов селезеночной вены у ворот левой почки с определением допплеровских характеристик кровотока в этой области.
4. Проводят визуализацию самой зоны анастомоза с определением в нем кровотока венозного характера. Визуализация зоны анастомоза достаточно сложна и технически выполнима только при использовании высокоразрешающей ультразвуковой техники. Полностью проследить зону анастомоза у детей после спленоренального шунтирования удается редко, поскольку сосуды располагаются на значительной глубине и в различных плоскостях. Необходимо отметить, что эхографическая картина сосудистого анастомоза может меняться в зависимости от сроков после операции. В первые 7-14 суток визуализация анастомоза может быть затруднена из-за отека окружающих тканей. В более поздние сроки анастомоз достоверно определяется при допплеровском сканировании и импульсной допплерографии как зона турбулентного кровотока по ходу почечной вены.
Одним из осложнений после проведенной операции ДСРА является образование гематомы у хвоста поджелудочной железы, которая на эхограмме определяется в виде округлого образования с довольно четкими границами. Это осложнение не требует хирургического вмешательства, а контрольные исследования показывает регрессию гематомы в течение первых трех недель после операции.
После операций ДСРА отмечается не столь быстрое обратное развитие варикозных вен пищевода как при тотальном шунтировании. Важно другое, что полученной декомпрессии варикозных вен достаточно для предотвращения ГЭК. Многими авторами отмечено, что последующие ЭС вен пищевода у этих больных приводит к более быстрой ликвидации варикозного их расширения. По всей видимости, это связано с достаточной декомпрессией гастроэзофагеального бассейна ВВ.
Явления гиперспленизма у больных снижаются или полностью исчезают в зависимости от степени уменьшения или нормализации размеров селезенки после операции.
Проходимость анастомоза после операций ДСРА, по мнению разных авторов, сохраняется в 90–95 % случаев в сроки от 6 месяцев до 10 лет.
Другим видом селективного анастомоза является спленоренальный анастомоз «бок-в-бок»
(
D.
A.
Cooley, 1963).
Выполнение последнего предпочтительно в случаях близкого расположения селезеночной и почечной вен. Этот вид шунтирования обладает рядом преимуществ: сохранение селезенки, отсутствие изгибов и «колен» анастомозируемых сосудов, возможно его наложение у детей младшей возрастной группы при небольшом диаметре селезеночной вены. В послеоперационном периоде у этих детей отмечается четкая корреляция между скоростью обратного развития ВРВП и степенью проходимостью анастомоза.
При хорошо развитой вене надпочечника и диаметре последней 9-10 мм, возможно выполнение спленоадренального анастомоза
(G.V. Mazariegos, J.Reyes, 1998). Эта операция технически более простая, чем ДСРА. Она заключается в лигировании проксимального участка надпочечниковой вены и анастомозировании ее культи с селезеночной веной «конец-в-бок».
В литературе так же описана техника спленокавального
анастомоза
(R.K. Dhiman, 2002), который может быть использован в тех случаях, когда почечная вена непригодна для наложения анастомоза вследствие недостаточной длины или рассыпчатого типа строения.
Таким образом, селективные виды ПСШ эффективны для профилактики кровотечений у детей с ПФПГ. После селективных видов шунтирования, в отличие от неселективных операций, в послеоперационном периоде сохраняется портальная перфузия печени мезентериальной кровью.
Для адекватной функции анастомоза следует соблюдать следующие принципы при его наложении:
· анастомоз диаметром 7-10 мм должен накладываться с использованием монофиламентных нитей ПДС-7/0, строго соблюдая все правила наложения сосудистого шва;
· необходима достаточная мобилизация сосудов и правильное топическое расположение анастомоза для предотвращения образования углов или поворотов сосудов вокруг оси после его наложения;
· в послеоперационном периоде должно поддерживаться состояние гипокоагуляции для профилактики тромбирования анастомоза;
· антиагрегантный и антитромботический препарат (дипиридамол) назначается всем пациентам сроком на 3 месяца после операции.
Исследования показали, что сосудистые портосистемные анастомозы эффективны как метод лечения и профилактики кровотечений из ВРВП и желудка. Однако все они являются паллиативными и не решают проблему портальной гипертензии в целом. Эти операции могут быть выполнены ограниченному числу больных. По данным ряда авторов, неудачи при наложении спленоренальных анастомозов могут иметь место в 50 % случаев. Большое число неудовлетворительных результатов диктует необходимость поиска других методов.
МЕЗЕНТЕРИКО-ПОРТАЛЬНОЕ ШУНТИРОВАНИЕ (РЕКС-ШУНТ)
В 1998 г. Ville de Goyet предложил новый метод оперативного лечения СПГ у детей – мезентерико-портальное шунтирование (Рекс-шунт), которое предусматривает создание нового пути поступления венозной крови в печень, в обход дискредитированной ВВ. Операция позволяет снизить риск кровотечений и в какой-то мере восстановить портальный печеночный кровоток. Она заключается в наложении шунта из аутовены между верхней брыжеечной и левой ветвью ВВ (рис. 11). Данное вмешательство можно считать радикальным способом лечения ПФПГ.

Рис. 11. Операция мезентерико-портального шунтирования.
А. Тромбоз и кавернозная трансформация воротной вены. В. После восстановления физиологического портального печеночного кровотока. 1-мезентерико-портальный анастомоз, 2-верхняя брыжеечная вена, 3-место впадения пупочной вены в левую ветвь воротной вены, 4-правая ветвь воротной вены, 5-левая ветвь воротной вены, 6-ветвь левой воротной вены к 3 сегменту.
Техника операции
.
По ходу круглой связки печени в ее паренхиме выделяют левую ветвь ВВ. Для этого пересекают «паренхиматозный мостик» между 3 и 4 сегментами печени. Выделяют сегментарные ветви ВВ, и просвет вены вскрывают. При обнаружении «идеальной» эндотелиальной выстилки большого диаметра и интенсивного ретроградного кровотока планируют наложение шунта. Для этого ниже поджелудочной железы выделяют верхнюю брыжеечную вену. Далее производят забор внутренней яремной вены для аутовенозной вставки. При помощи этой вставки верхнюю брыжеечную вену анастомозируют с левой ветвью ВВ.
Мезентерико-портальное шунтирование возможно только у 15-20 % больных. Примерно у 2/3 пациентов тромбоз может распространяться на брыжеечную и левую ветвь воротной вены, что делает выполнение этой операции невозможным.
ТРАНСПЛАНТАЦИЯ ПЕЧЕНИ
Отношение к хирургическому лечению СПГ у детей с паренхиматозным поражением печени в течение последнего десятилетия радикально изменилось с внедрением в клиническую практику трансплантации печени.
Первую трансплантацию печени у собак выполнил в 1955 г. Welch. В 1963 г. группа исследователей под руководством Starzl осуществила успешную трансплантацию печени у человека. С тех пор число трансплантаций печени неуклонно растет. К 1994 г. в США было оперировано 3450 больных. Выживаемость в течение года после плановой трансплантации печени у больных группы низкого риска составляет 90 %, а пятилетняя выживаемость 85%.
В целом, по данным UNOS Scientific Registry data (1997), трехлетняя выживаемость при трансплантации печени составляет 73,6 %, а пятилетняя – 68,8 %. Улучшение результатов связано с более тщательным отбором больных, усовершенствованием хирургической техники и методов ведения послеоперационного периода, а также с более частым выполнением повторных трансплантаций в случае отторжения. Усовершенствование методов иммунодепрессивной терапии также благоприятно отразилось на результатах операции.
Однако использование трансплантации печени, как метода выбора при лечении СПГ у детей, ограничивается сложностью подбора донорской печени, осложнениями иммуносупрессивной терапии, развитием оппортунистических инфекций и лимфопролиферативных заболеваний.
В качестве доноров обычно привлекаются родители или другие близкие родственники, имеющие ту же группу и резус-фактор крови, что и ребенок и совпадение при типировании минимум по 1 классу антигенов. Для трансплантации используют 2-3 сегмента печени донора с анастомозом по Ру. Операционную рану в течение нескольких дней не закрывают, что позволяет путем повторных биопсий контролировать реакцию отторжения в раннем периоде. В острой стадии отторжения используют иммуносупрессию с помощью солумедрола. Поддерживающую имуносупрессию можно проводить такролимусом, стероидами, целцептом, циклоспорином. Обязательна антибактериальная терапия.
По тяжести состояния потенциальные реципиенты разделяются на группы низкого, умеренного и высокого риска. К сожалению, по мере ожидания операции состояние больного может ухудшаться, что обуславливает его переход в группу более высокого риска. У больных, принадлежащих к группе низкого риска, результаты лечения гораздо лучше, а стоимость его ниже, чем у больных группы высокого риска, которым в процессе ожидания требуется интенсивная терапия.
Одной из сложных задач является определение оптимальных сроков выполнения операции. У больных, находящихся в терминальном состоянии, шансы на успех минимальны. Если у ребенка нет явлений печеночной недостаточности и в ближайшие несколько лет трансплантация печени ему не понадобиться, то эндоскопические методы лечения являются терапией первой линии.
ЗАКЛЮЧЕНИЕ
Ретроспективный анализ накопленного опыта заставил переоценить и переосмыслить возможности хирургического лечения СПГ у детей. При ПФПГ многие детские хирурги отмечают уменьшение частоты рецидивов ГЭК с возрастом, связанное с развитием естественных коллатералей. Однако, даже если эти коллатерали сформируются, этот период характеризуется высоким риском угрожающих жизни кровотечений.
Выживаемость детей с портальной гипертензией улучшилась за последние десять лет. Это является результатом нескольких факторов: прогрессом в фармакологическом контроле активных ГЭК, повышением эффективности эндоскопических методов лечения, признание роли операций ПСШ и развитие трансплантологии. В настоящее время разработаны достаточно надежные методы лечения больных с СПГ, которые позволяют предотвратить развитие ГЭК, и таким образом, практически избежать летальности и инвалидизации этих больных.
Дальнейшее улучшение непосредственных и отдаленных результатов хирургического лечения детей с СПГ связано с более точной объективизацией понятий портальной гемодинамики, коллатерального кровообращения и оценкой резервных возможностей печени.
Литература
1. Колесников Э.М., Троян В.В. Кровотечения при портальной гипертензии у детей (клиника, диагностика, лечение): Учеб.-метод. пособие. – Мн.: БелМАПО, 2004. – 44 с.
2. Шерлок Ш., Дули Дж. Заболевания печени и желчных путей: Практич. рук.: Пер. с англ. / Под ред. З.Г. Апросиной, Н.А. Мухина. - М.: Гэотар Медицина, 1999. - 864 с.
3. A. Toyonaga, T. Iwao. Paraesophageal collaterals in endoscopic therapies for esophageal varices: Good or bad? // Journal of Gastroenterology and Hepatology. – 2001. – Vol. 16. – P. 489–490.
4. F. Piscaglia, G. Donati, C. Serra et al. Value of splanchnic Doppler ultrasound in the diagnosis of portal hypertension //Ultrasound in Med. & Biol. – 2001. - Vol. 27, N. 7. - P. 893–899.
5. G. Tsao. Portal hypertension // Curr. Opin. Gastroenterol. – 2000. – Vol. 16. – P. 282-289.
6. H. Tingze, F. Jiexiong, L. Wenying et al. Triplex operation for children with extrahepatic portal hypertension // Pediatric Surgery. - 2002. - Vol. 37, N. 4. - 2002. – P. 605-609.
7. J. P. Molleston. Invited Review: Variceal bleeding in children //Pediatr. Gastroenterol. Nutr. – 2003. - Vol. 37, N. 5. – P. 256-262.
8. J. Fuchs, S. Warmann, R. Kardorff et al. Mesenterico-Left portal vein bypass in children with congenital extrahepatic portal vein thrombosis: A unique curative approach //Pediatr. Gastroenterol. Nutr. – 2004. – Vol. 36. P. 213–216.
9. K.A. Brown, D. Moonka. Liver transplantation //Curr. Opin. Gastroenterol. – 2004. – Vol. 20. – P. 264-269.
10. L. Miller, A. Abdalla. The role of endoscopy in the treatment of esophageal varices. // Curr. Opin. Gastroenterol. – 2003. – Vol. 19. – P. 483-486.
11. P. Schiedermaier. Primary prophylaxis of variceal bleed: drugs versus endoscopy //Gastroenterol. Hepatol. – 2004. – Vol. 19. – P. 174–178.
12. T. Shinohara, H. Ando, Y. Watanabe et al. Extrahepatic portal vein morphology in children with extrahepatic portal hypertension assessed by 3-dimensional computed tomographic portography: a new etiology of extrahepatic portal hypertension //Pediatr. Surg. – 2006. – Vol. 41. – P. 812– 816.
Оглавление
Стр.
Перечень сокращений 3
Введение 4
1. Краткий исторический обзор. 6
2. Этиология и патогенез. 11
3. Диагностика. 18
4. Консервативное лечение пищеводных
кровотечений при СПГ. 27
5. Эндоскопическое лечение варикозно-
расширенных вен пищевода. 31
6. Профилактика пищеводных кровотечений
у больных СПГ. 35
7. Хирургическое лечение СПГ у детей. 36
Заключение. 55
Список литературы. 56
|