| Министерство здравоохранения республики Беларусь
Белорусская медицинская академия последипломного образования
Кафедра общей стоматологии
Н.А. Юдина, В.И. Азаренко
основные и дополнительные методы обследования пациента на приеме врача - стоматолога
Учебно-методическое пособие
Минск БелМАПО
2006
УДК 616.31
ББК 56.6
Рекомендовано в качестве учебно-методического пособия
УМС Белорусской медицинской академии последипломного образования (ректор профессор Хулуп Г.Я.) протокол № от
авторы:
к.м.н., доц. Н.А. Юдина, к.м.н., доц.В.И. Азаренко
Рецензенты:
Зав. 2-й кафедрой терапевтической стоматологии, к.м.н., доцент А.Г.Третьякович, зав. 1-й кафедрой терапевтической стоматологии к.м.н., доцент, Л.А. Казеко.
Юдина Н.А., Азаренко В.И.
Основные и дополнительные методы обследования пациента на приеме врача-стоматолога: Учеб-метод пособие / Н.А. Юдина, В.И. Азаренко – Мн.: БелМАПО, 2006. - с.
ISBN 985-499-033-8
В учебно-методическом пособии изложены основные и дополнительные методы обследования стоматологического больного, приведены алгоритмы обследования в соответствии с рекомендациями Всемирной Организации Здравоохранения. Уделяется внимание описанию критериев индексной диагностики кариеса и болезней периодонта, даны иллюстрации в виде схем и рисунков, а также фотографий. Пособие поможет преодолеть трудности в работе с пациентами на этапах обследования и диагностики стоматологических заболеваний
Учебно-методическое пособие предназначено для врачей-стоматологов.
УДК 616.31
ББК 56.6
ISBN
985-499-033-8
Ó Юдина Н.А., Азаренко В.И. 2006
Оформление БелМАПО, 2006
Введение
Правильная диагностика стоматологических заболеваний – важный этап для грамотного и профессионального лечения. Основной принцип диагностики – оценка состояния стоматологического здоровья пациента в целом, а не отдельно взятой болезни (кариес, болезнь периодонта, заболевание слизистой оболочки полости рта)
Тщательное обследование пациента позволяет установить правильный диагноз, который является предпосылкой успешного лечения. Диагностические методы должны отличаться высокой точностью, информативностью и обладать хорошей воспроизводимостью. Обследование стоматологического пациента проводится с четким соблюдением этапов, придерживаясь определенной схемы и рекомендаций всемирной Организации Здравоохранения (ВОЗ).
Забиваем Сайты В ТОП КУВАЛДОЙ - Уникальные возможности от SeoHammer
Каждая ссылка анализируется по трем пакетам оценки: SEO, Трафик и SMM.
SeoHammer делает продвижение сайта прозрачным и простым занятием.
Ссылки, вечные ссылки, статьи, упоминания, пресс-релизы - используйте по максимуму потенциал SeoHammer для продвижения вашего сайта.
Что умеет делать SeoHammer
— Продвижение в один клик, интеллектуальный подбор запросов, покупка самых лучших ссылок с высокой степенью качества у лучших бирж ссылок.
— Регулярная проверка качества ссылок по более чем 100 показателям и ежедневный пересчет показателей качества проекта.
— Все известные форматы ссылок: арендные ссылки, вечные ссылки, публикации (упоминания, мнения, отзывы, статьи, пресс-релизы).
— SeoHammer покажет, где рост или падение, а также запросы, на которые нужно обратить внимание.
SeoHammer еще предоставляет технологию Буст, она ускоряет продвижение в десятки раз,
а первые результаты появляются уже в течение первых 7 дней.
Зарегистрироваться и Начать продвижение
СХЕМА ОБСЛЕДОВАНИЯ СТОМАТОЛОГИЧЕСКОГО ПАЦИЕНТА
При обследовании стоматологического пациента используются основные и дополнительные методы. К основным относятся: опрос, осмотр, зондирование, перкуссия, пальпация. К дополнительным – высушивание, окрашивание, использование специальных аппаратов для диагностики (рентген, ЭОД, лазерный прибор "Дагнодент"), лабораторные методы диагностики (микробиологическое, цитологическое, иммунологическое, биохимическое и др. исследования).
Начинается обследование пациента со сбора данных анамнеза и жалоб.
Сбор данных анамнеза жизни
включает:
1 аллергологический анамнез
.
В первую очередь регистрируются заболевания, ограничивающие возможность осуществления анестезии.
· Аллергические реакции (пищевая аллергия, бытовая и др.)
· Лекарственная аллергия
· Непереносимость местных анестетиков
При подозрении на аллергию пациент направляется в клинику для проведения РДТК – реакция дегенерации тучных клеток.
2 анамнез общих заболеваний (наличие и диагноз)
.
Регистрируется общее состояние пациента, имеющиеся и перенесенные заболевания. С этой целью проводится тщательный опрос. Можно использовать специальные вопросники или анкеты. Желательно чтобы пациент удостоверил подписью полноту и правильность сведений о себе:
-эндокринные дискорреляции (заболевания щитовидной, поджелудочной желез), болезни печени, легких, желудочно-кишечного тракта, заболевания крови;
-проблемы с сердечно-сосудистой системой: острые и хронические формы ишемической болезни сердца (инфаркт миокарда, нестабильная и стабильная стенокардия, постинфарктный кардиосклероз), поражения сердца при системных заболеваниях соединительной ткани, инфекционный эндокардит, ревматический и инфекционно-аллергический миокардит и другие.
-Наличие артериальной гипертензии, уровень артериального давления (высокое, низкое, в течение какого периода), гипертонические кризы в анамнезе.
-Пребывание на стационарном лечении в течение последних 10 лет, частота и причина госпитализаций.
-Обследование у врача общей практики, терапевта, кардиолога, эндокринолога и др. в течение последних 5 лет.
-Прием лекарственных препаратов: группы лекарственных средств и длительность их приема, дозы.
Необходимо выявить болезни, ограничивающие продолжительность лечения
· Общее тяжелое состояние пациента (6 месяцев после инфаркта миокарда, гипертонический криз).
Сервис онлайн-записи на собственном Telegram-боте
Попробуйте сервис онлайн-записи VisitTime на основе вашего собственного Telegram-бота:
— Разгрузит мастера, специалиста или компанию;
— Позволит гибко управлять расписанием и загрузкой;
— Разошлет оповещения о новых услугах или акциях;
— Позволит принять оплату на карту/кошелек/счет;
— Позволит записываться на групповые и персональные посещения;
— Поможет получить от клиента отзывы о визите к вам;
— Включает в себя сервис чаевых.
Для новых пользователей первый месяц бесплатно.
Зарегистрироваться в сервисе
· Эпилепсия
· Затрудненное открывание рта
Также следует регистрировать состояния, заболевания, при которых имеется высокий риск развития инфекционных эндокардитов.
Состояния с высоким риском развития инфекционных эндокардитов.
· после протезирования клапанов сердца;
· с приобретенными пороками сердца ревматической этиологии (чаще аортальной локализации);
· ранее перенесшие инфекционный эндокардит;
· с врожденными пороками сердца (до и после операции);
· с пролабированием митрального клапана и выраженной митральной недостаточностью;
· с идиопатическим гипертрофическим субаортальным стенозом;
· находящиеся на хроническом гемодиализе;
· с имплантированным электрокардиостимулятором.
· наркоманы
Данные анамнеза в последующем учитываются при планировании профилактических и лечебных мероприятий: с их помощью можно определить степень влияния некоторых общих заболеваний на течение стоматологических болезней, выбрать такой метод лечения стоматологических заболеваний, который не будет отрицательно сказываться на общем состоянии пациента.
3. выявление факторов риска или отягощающих факторов:
-курение;
-алкоголь;
-наследственная предрасположенность.
Специальный анамнез
– заключается в опросе пациента о жалобах в челюстно-лицевой области.
Сбор жалоб и данных анамнеза стоматологических заболеваний.
Большинство пациентов обращаются к врачу-стоматологу с жалобами на зубную боль или по поводу кровоточивости десен. Частыми причинами посещения стоматолога являются отломы или выпадения пломб, плохо функционирующие протезы, эстетические дефекты. Задавая целенаправленные вопросы пациенту, стоматолог уточняет и направляет изложение пациентом своих жалоб для постановки правильного диагноза.
Ответ на вопрос о начале и продолжительности зубных болей позволяет приблизительно разделить их на острые и хронические. Пульсирующая боль свидетельствует о проходящих в пораженных зубах гнойных воспалительных процессах, при этом применение холода часто снижает интенсивность боли. Тупые боли и чувствительность при накусывании указывают на поражение периодонтальной связки. Боли от холодного, от химических раздражителей (например, от сладкого за счет изменения осмотического давления) – говорят о наличии кариозного процесса.
Кроме жалоб отмечаются привычки гигиенического ухода, питания, использования фторидов. У пациента выясняют, проходил ли ранее лечение по поводу стоматологических заболеваний, результат лечения, были ли обострения и другие данные.
Данные анамнеза необходимо дополнить результатами объективного обследования.
Определение стоматологического статуса
Стоматологическое обследование согласно рекомендациям ВОЗ состоит из экстраорального и интраорального осмотра.
Экстраоральный (внешний) осмотр.
Осуществляется пальпация лимфатических узлов (поднижнечелюстных, околоушных, шейных и др.), точек нервных окончаний, жевательных мышц, височнонижнечелюстного сустава. Врач должен отличать нормальные биологические изменения от патологических отклонений. Для этого следует сравнивать результаты обследования верхней и нижней челюсти, а также правой и левой стороны. У пациентов с поражениями жевательных мышц, суставов рекомендуют внешний осмотр совмещать с функциональной диагностикой.
Интраоральный осмотр:
это системное обследование полости рта.
1). Осмотр слизистой оболочки полости рта (СОПР).
Осмотр полости рта начинается с визуальной оценки цвета и рельефа слизистой оболочки полости рта, отмечается нарушение целостности и наличие элементов поражения. Осмотр СОПР проводится с помощью 2-х зеркал по анатомо-топографическим зонам при естественном освещении. ВОЗ,1997 рекомендует следующую последовательность осмотра СОПР:
Комиссуры, слизистая оболочка губ;
Преддверие полости рта
Слизистая щек слева и справа;
Слизистая твердого и мягкого неба;
Спинка и боковые поверхности языка;
Нижняя поверхность языка и дно полости рта;
Описание элементов поражения СОПР
· Локализация (ссылка на ближайший орган и ткани полости рта);
· Вид элемента поражения;
o первичные: пятно, узелок, бугорок, узелок, узел, волдырь, пузырек, гнойничок, пузырь
o вторичные: чешуйка, эрозия, ссадина, язва, трещина, корка, рубец, лихенизация, вегетация, атрофия, пигментация
· Размер (указывается диаметр элемента поражения);
· Окраска;
· Рельеф (поверхность гладкая, шероховатая, зернистая);
· Границы (четкие, ровные, фестончатые и т.д.);
· Отношение к окружающим тканям (плюс или минус ткань);
· Наличие налета (фибринозный, некротический и т.д.), если снимается – вид поверхности (ровная, зернистая, с грануляциями, кровоточащая);
· При язве – описание дна (ровное, зернистое), края (подрытый, ровный, плотный);
· консистенция (рыхлая, плотная);
· Фоновые изменения (гиперемия, синюшность, гиперкератоз, или на неизмененной СОПР);
· Болезненность
А в случае нескольких элементов отмечают:
· Количество элементов;
· Полиморфизм;
· Склонность к слиянию;
· Симптомы Кебнера, Никольского и т.д.
При осмотре СОПР обращается внимание на количество слюны и ее вязкость. Если во время обследования на дне полости рта не скапливается слюна, тыльная сторона зеркала не скользит по поверхности СОПР, имеется большое количество зубного налета и кариозных поражений, это дает возможность предположить гипосаливацию.
Гипосаливация – уменьшение количества слюны в полости рта, наблюдается при:
· лихорадочных состояниях;
· сахарном диабете;
· нервно-психических расстройствах;
· повреждении слюнных желез.
Иногда необходимо задать дополнительные вопросы о сопутствующих заболеваниях и наличии результатов обследования (лабораторных анализов) и приеме лекарств при их лечении.
При некоторых состояниях регистрируется гиперсаливация – повышенное слюноотделение:
· использование лекарственных средств (пилокарпин, иодиды, бромиды, фторсодержащие препараты);
· Табакокурение;
· заболевания СОПР (острый язвенный гингивит, стоматит, ангина Венсана).
Врач обращает внимание на запах изо рта, который может быть связан с плохой гигиеной (обратить внимание пациента на очищение языка); заболеваниями ЖКТ; болезнями бронхо-легочной системы (ринит, тонзиллит, синусит, бронхит), вредными привычками (курение).
2). Определение уровня гигиены полости рта с использованием гигиенических индексов
. см. "Индексная оценка" стр.
3). Детальное исследование тканей периодонта.
Включает: оценку архитектоники полости рта, индексную оценку состояния тканей периодонта с помощью комплексного периодонтального индекса КПИ или периодонтального индекса CPITN, выявление и определение глубины периодонтальных карманов, утери зубодесневого прикрепления, наличия и величины рецессии десны, вовлечения фуркации, определение подвижности зубов;
Архитектоника преддверия и дна полости рта:
· Тяжи слизистой оболочки;
· Форма и глубина преддверия (расстояние от края десны до наиболее низкой точки свода преддверия в состоянии расслабления мышц подбородка и губы, в норме 5 мм);
· Форма и место прикрепления уздечек губ и языка (уздечки в норме имеют треугольную форму; уздечки губ широким основанием прикрепляются к губе и оканчиваются по средней линии альвеолярного отростка на расстоянии 0,5 см от десневого края). Тест «натяжения» оценивает состояние уздечек губ. Оттягивание губы вниз и вперед вызывает смещение края десны от поверхности зубов и побеление межзубных промежутков – короткая уздечка.
Исследование зубов:
· Патологическая подвижность зубов;
По А.И. Евдокимову I-я степень подвижности – зуб смещается в вестибулярном направлении на 1 мм по отношению к коронке соседнего зуба, II-я степень – более, чем на 1 мм либо появляется подвижность в медиальном направлении, III-я – присоединяется подвижность в вертикальном направлении
· Узлы травматической окклюзии;
· Патологическая миграция зубов;
· Количество и причины утраченных зубов;
· Чувствительность дентина;
· Клиновидные дефекты.
Вовлечение десны в патологический процесс:
· Цвет.
В норме десна имеет бледно-розовый цвет ("coral pink" по Caranza), при острых воспалительных процессах десна приобретает ярко-красный цвет, при хронических – застойно-синюшный.
· к
онтур.
в норме контур десневых сосочков в области резцов и клыков – остроконечной формы, премоляров и моляров – трапециевидной формы. При патологических процессах – контур может сглаживаться, приобретать шаровидную форму, фестончатую или кратерообразную (рис. 1, 2).
| 
|
Рис. 1. Изменения десневого контура при заболеваниях периодонта
1 – норма;
2 – атрофический;
3 – кратерообразный;
4 – шаровидный;
5 – рассеченный;
6 - фестончатый
|
Выделяют расщелины десны (расщелины Штильмана – локализованный узкий участок рецессии десны) и гирлянды (гирлянды Маккола – валикообразное утолщение десны) (рис. 2).
| 
|
Рис. 2. Изменения десневого контура при заболеваниях периодонта
|
· п
оверхность.
в норме десна имеет капельные вдавления, напоминает корочку апельсина или лимона. При воспалительных процессах становится гладкой, блестящей.
· к
онсистенция.
Определяется пальпаторно, в норме – упругая, при патологии – рыхлая, пастозная.
· Кровоточивость.
В норме не наблюдается, при патологических процессах появляется в течение 30-40 сек после пальпации десны.
· Позиция десны.
В норме десневой край располагается в области эмалево-цементной границы. При патологических процессах может происходить смещение десны в коронковом или апикальном направлении. Измеряется в мм с помощью специального градуированного зонда (рис.) в области всех поверхностей всех зубов..
o Гиперплазия
– увеличение десны (1 степень- до 1/3 длины коронки, 2-я степень – до 1/2 длины коронки, 3-я степень более 1/2 длины коронки);
o Рецессия десны
– смещение десны в апикальном направлении;
По распространенности различают 2 вида – локализованная и генерализованная; по этиологии выделяют травматическую, симптоматическую, физиологическую;
По степени тяжести:
1. легкая (до 1 мм);
2. средней степени тяжести (3-5 мм);
3. тяжелая (6 мм и более)
Уровень деструкции периодонтальной ткани:
· Наличие карманов определяется с помощью специальных градуированных периодонтальных зондов:
Зонд Williams – маркировка 1-2-3-5-7-8-9-10 мм;
Зонд Marguis – маркировка 3-6-8-11;
Зонд UNC-15 – маркировка 1-2-3-4-5-6-7-8-9-10-11-12-13-14-15;
Зонд Hu-Friedy – маркировка 3-6-9-12;
Зонд ВОЗ – маркировка черная полоса от 3,5 до 5,5 мм
| 
|

|
| Рис. 3. Периодонтальный зонд со сменными головками
|
Рис. 4. Периодонтальный зонд ВОЗ
|
Выделяют следующие виды карманов:
· Десневой – не выходящий за пределы десневой ткани, не связан с деструкцией тканей периодонта, а с гипертрофией десны (рис. 5а);
· Периодонтальный – выходящий за пределы десны, связанный с разрушением связочного аппарата (рис. 5б);
· Надкостный – карман, при котором апикальные края деструктивно измененных окружающих тканей примыкают к альвеолярному гребню в области корней (рис. 5б);
· Внутрикостный – карман, при котором апикальные края деструктивно измененных окружающих тканей находятся внутри альвеолярного отростка (рис. 5в);
| 
|

|

|
| а. десневой
|
б. периодонтальный
надкостный
|
в. периодонтальный внутрикостный
|
Рис. 5. Виды периодонтальных карманов по глубине поражения
· Простой – определяется с одной поверхности зуба (рис. 6А);
· Комбинированный – с двух и более поверхностей (рис. 6В);
· Сложный – охватывает зуб со всех сторон (рис. 6С).

рис. 6. Виды периодонтальных карманов по количеству поверхностей зуба, вовлеченных в патологический процесс
Поражение фуркации:

1 степень 2 степень 3 степень
Рис. 7. Степени вовлечения фуркации
1 степень – исчезновение прикрепления зуба в области фуркации корней;
2 степень – исчезновение прикрепления зуба в области фуркации корней, которое продвинулось под коронку, однако с противоположной стороны альвеолярная стенка в области фуркации сохранилась нетронутой, рентгенологически виден небольшой участок просветления в межкорневой области;
3 – степень периодонтальный зонд проходит насквозь, однако вход прикрыт десной, рентгенологически виден обширный участок просветления в межкорневой области;
4 степень – тоннель под зубом виден глазом
Для оценки вовлечения в патологический процесс фуркации используется изогнутый зонд Nabers для обнаружения фуркации (рис. 8).

Рис. 8. Зонд для обнаружения вовлечения фуркации в патологический процесс

Рис. 9. Зондирование фуркации с помощью специального изогнутого зонда
4). Оценка состояния твердых тканей зубов.
Определение интенсивности кариеса с помощью индекса КПУ. Осмотр зубов проводится в определенном порядке, начиная с зуба 18 и заканчивая зубом 48. При этом следует обращать внимание на надлежащее освещение и правильное расположение врача-стоматолога. Высушивание помогает обнаружить начальные кариозные и некариозные поражения. Меловато-белые пятна на участках, пораженных кариесом, свидетельствуют о начальных кариозных поражениях, которые после проведения соответствующих мероприятий профилактики в оперативном лечении не нуждаются. Дефекты твердых тканей зуба с размягчением диагностируются как кариес и должны лечиться оперативно с последующим пломбированием полостей, за исключением кариозного процесса на поверхности корня. При неосторожном обращении с зондом можно спровоцировать прогрессирование кариозного процесса. Визуально оценивают состояние апроксимальных поверхностей зубов по изменению цвета, рельефа и нарушения их целостности для исключения «скрытого кариеса»
Характеристика ранних стадий кариозной болезни (критерии визуальной диагностики)
Оцениваются пятна после предварительного высушивания. Оценка производится по следующим критериям:
- Цвет: белый, бело-желтый, светло-коричневый, коричневый.
- Блеск: матовое, блестящее, фрагментарно-матовое.
- Локализация: в пришеечной области, ближе к экватору.
Активный кариозный процесс характеризуется однородными белыми матовыми пятнами, локализующимися в пришеечной области. Изменения цвета в желтую или коричневую сторону, появление блеска свидетельствуют о стабилизации процесса.
После осмотра врач- стоматолог приступает к проведению клинических тестов.
Клинические тесты
· зондирование
· перкуссия (горизонтальная и вертикальная)
· пальпация
· определение подвижности
· механический тест (накусывание на твердый предмет)
· прослеживание свищевого хода
· высушивание
· окрашивание
· температурная проба
· местная анестезия
Окрашивание
Используется 2% раствор метиленового синего. Время аппликации – 3 минуты. Цвет зуба изменяется при наличии кариеса и зубных отложений. Окрашивание проводится с целью:
· Мотивации пациента;
· Определения гигиенических индексов;
· Дифференциальной диагностики кариеса и некариозных поражений;
рис. 10. Окрашивание метиленовым синим
· Определения эффективности профилактических мероприятий.
Температурный тест.
Тест с нагреванием
. Для этого теста гуттаперчу нагревают над пламенем, пока она не станет мягкой и блестящей, но нельзя допускать, чтобы она дымилась (температура около 65,5 С). Разогретую гуттаперчу помещают на среднюю треть вестибулярной поверхности коронки.
Тест с охлаждением
. Для проведения этого теста лучше всего использовать хлорэтил, нанесенный на вату на палочке.
Возможны 6 вариантов ответной реакции:
1. отсутствие реакции (некроз пульпы, хронический апикальный периодонтит или облитерация полости зуба в пожилом возрасте);
2. сразу преходящая реакция (здоровый интактный зуб, некариозные поражения, кариес);
3. быстропроходящая реакция (обратимые формы пульпита – гиперемия пульпы);
4. болевая реакция быстро возникающая от холодного, сохраняющаяся после прекращения действия раздражителей (острый пульпит).
5. болевая реакция быстро возникающая от горячего, сохраняющаяся после прекращения действия раздражителей, уменьшающаяся от холодного (острый гнойный пульпит).
6. болевая реакция медленно возникающая и нарастающая от температурных раздражителей, сохраняющаяся после прекращения действия раздражителей (хронические формы пульпитов).
Специальные методы исследования
· электоодонтометрия;
· трансиллюминация;
· рентгенологические исследования;
· лабораторные методы исследования;
· лазерно-иммунофлюорисцентные методы исследования.
Электроодонтометрия (ЭОМ)
Применяют в случаях бессимптомного течения кариеса, для дифдиагностики с болезнями пульпы и апикального периодонтита. Методика Рубина Л.Г.
Используют аппараты: ЭОМ-1 (Россия); PULPOTESTER PT-1 (Литва); Digitest (США).
В настоящее время клинические испытания проходит аппарат для электроодонтодиагностики отечественного производства (производственного объединения "Белвар")
ПОРОГОВЫЕ ЗНАЧЕНИЯ СИЛЫ ТОКА В ЗАВИСИМОСТИ ОТ СОСТОЯНИЯ ПУЛЬПЫ ЗУБА
| №
|
Нозологическая форма
|
Пороговые значения силы тока
|
| 1
|
Интактный зуб
|
2-6 мк А
|
| 2
|
Кариес
|
2-10 мк А
|
| 3
|
Гиперемия пульпы
|
12-18 мк А
|
| 4
|
Острый пульпит
|
20-30 мк А
|
| 5
|
Гнойный пульпит
|
30-60 мк А
|
| 6
|
Хронический пульпит
|
40-60 мк А
|
| 7
|
Хронический язвенный
|
60-90 мк А
|
| 8
|
Хронический гиперпластический
|
50-70 мк А
|
| 9
|
Некроз пульпы (сухой)
|
60-80 мк А
|
| 10
|
Некроз пульпы (влажный)
|
100 мк А
|
| 11
|
Хронический апикальный периодонтит
|
Более 100 мк А
|
Трансиллюминация
Определение скрытых полотей на апроксимальных поверхностях. При этом у пациента жалобы могут отсутствовать; или жалобы на дискомфорт во время приема пищи и на локальное воспаление десневого сосочка; на затруднения при использовании зубной нити.
Для диагностики в затемненном кабинете волоконно-оптический наконечник холодного (синего) света располагают за исследуемым зубом перпендикулярно к его оси. Здоровые ткани выглядят прозрачными, а кариозные полости в виде характерных тенеобразований, по форме напоминающих полусферы коричневого цвета, четко отграниченные от здоровой ткани.
Рентгенологические исследования
Рентгендиагностика проводится:
· При наличии скрытых кариозных полостей;
· При травмах зубов, челюстей;
· Для определения глубины кариозного процесса, близости к пульпе зуба;
· Для дифференциальной диагностики кариеса и апикальных периодонтитов;
· Для установления типа патологического процесса в маргинальном и апикальном периодонте
· Для оценки качества эндодонтического лечения;
· Оценить эффективность лечения болезней периодонта
Виды рентгенологических исследований в стоматологии
1. Близкофокусная контактная рентгенография (прицельные дентальные снимки);
2. Ортопантомография;
3. Bitewing- рентгенография (прикусные снимки).
Прицельные дентальные снимки
позволяют получить детальное изображение межзубных перегородок, области фуркации корней, периодонтальной щели; обнаружить патологические изменения костной структуры периодонта на самых ранних стадиях.
Ортопантомография
позволяет получить одномоментное изображение всей зубочелюстной системы как единого функционального комплекса, определить тип патологического процесса в периодонте, распространенность по глубине и протяжению; спланировать и оценить эффективность лечения.
Bitewing
-рентгенография
(BWRh, Raper, 1920г)
применяется для диагностики скрытого кариеса на апроксимальных поверхностях зубов.
Регистрируются симметричные участки обоих челюстей с отображением коронок зубов и альвеолярного края верхней и нижней челюсти. Пленки размером 2,7 на 5,4 - специальный пленкодержатель с накусочной площадкой

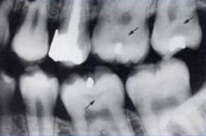
Рис. 11. Рентгеновский снимок
Описание рентгеновского снимка.
Для изучения мелких деталей ренгеновского снимка используют увеличительное стекло или флюороскопы.
I этап – оценить качество рентгенснимка:
-удовлетворительный – контрастный, четкий, структурный, без проекционных искажений;
-неудовлетворительный – неконтрастный, нечеткий, с нарушением правил изометрии (укорочение или удлинение корней), наложении е изображения зубов;
II этап – определить вид снимка (внутриротовой, внеротовой, панорамный).
III этап – определить область и групповую принадлежность зубов.
IV этап – детальное изучение на снимке каждого зуба
- положение, величину, форму коронки зуба, нарушение контуров, которые могут быть четкими, ровными или патологически измененными (уменьшенными, изъеденными);
- контуры полости зуба и корневого канала. В норме – четкие, ровные; патологически измененные – кариес, корневой канал не прослеживается из-за наличия пломбировочного материала, облитерация вследствие возрастных изменений и при врожденной патологии (болезнь Капдепона);
- структуру тени зуба: нормальная, патологически измененная, более плотная за счет пристеночных или свободно лежащих в полости зуба дектиклей;
- периодонтальную щель, которая в норме выглядит равномерной полоской просветления между цементом корня и кортикальной пластинкой лунки (рис.12). При патологии возможно ее расширение или сужение.
| 
|
Рис. 12. Схема периодонтальной щели в норме
|
- определение костной структуры заснятой области, При этом анализируется состояние кортикальной пластинки межзубной, межкорневой перегородок, которая в норме выглядит тонкой непрерывной полоской. При патологии возможно ее склеротическое утолщение, деструкция с захватом прилегающего участка кости или прерыв узкой полоской просветления при переломе.
Отличается структура кости, которая может быть без изменений, либо в состоянии анатомофизиологической перестройки (заращение лунки, атрофия челюсти); либо патологически измененной (атрофия альвеолярного отростка, остеопороз, деструкция, остеонекроз, секвестрация и т.д.). Контур нижнего края челюсти обычно четкий, ровный, гладкий. При патологических процессах становится неровным, изъеденным.
При наличии скрытых кариозных полостей на окклюзионных или гладких поверхностях зубов используется лазерная диагностика.
Лазерная диагностика
DIAGNOdent
(
KaVo
, Германия)
После предварительного очищения и высушивания поверхностей зубов применяется лазерное флуоресцентное устройство. Прибор содержит лазерный диод (длинна волны 650 нм), как активирующее световое устройство и фото-диод, комбинированный с длиннофокусным фильтром, как обнаружитель.
Активирующий свет пропускается при помощи оптического волокна (пучок из 9 волокон) на зуб и, собираясь концентрически вокруг него, помогает обнаружению кариозного очага. Длиннофокусный фильтр абсорбирует обратно возбуждение и передает длинноволновое флуоресцентное свечение.
Цифровой дисплей прибора показывает максимальную интенсивность флюоресценции (в единицах по отношению к калибровочному стандарту) в момент исследования.
Прибор имеет конический фиброоптический наконечник (насадку) для обнаружения фиссурного кариеса и цилиндрическую насадку для обнаружения кариеса на гладких поверхностях (рис. 13).


рис. 13. лазерный прибор DIAGNOdent с насадками
Лабораторная диагностика
Проводится для выявления патогенных микроорганизмов при болезнях периодонта и заболеваниях СОПР. Анализируется состав зубного налета, содержимое периодонтальных карманов. Различают следующие методы диагностики:
- Бактериологическое исследование с последующей бактериологической дифференцировкой и типизацией микроорганизмов, изучаются культуры бактерий.
- Микроскопическое исследование с использованием световых микроскопов. Содержимое периодонтальных карманов рассматривается в темном поле или применяется фазово-контрастная микроскопия (хорошо выявляются спирохеты).
- Молекулярно-биологические методы исследования (Polymerase Chain Reaction PCR метод и метод гибридизации). Исследуются не живые бактерии, а молекулы бактерий, упрощена процедура взятия и транспортировки материала. Очень точный, но дорогостоящий метод.
При заболеваниях СОПР производится забор материала с языка, слизистой щек, с элементов поражения и других участков. Материал исследуется на дисбактериоз, кандидоз, туберкулез, сифилис. При сифилисе – бледная трепонема со дна язвы, при туберкулезе микобактерия туберкулеза, при язвенно-некротических поражениях – фузобактерии, спирохеты.
- Цитологическое исследование проводится при заболеваниях СОПР. Мазок-отпечаток, мазок-соскоб, осадок промывной жидкости.
Туберкулезная язва – в мазке гигантские клетки Лангханса; опоясывающий лишай – в мазках везикулярной жидкости, окрашенных по Морозову или Романовскому-Гимзе, – гигантские клетки с эозинофильными внутриядерными включениями
ИНДЕКСНАЯ ДИАГНОСТИКА СТОМАТОЛОГИЧЕСКИХ ЗАБОЛЕВАНИЙ.
Выделяют несколько групп индексов:
1. Для оценки гигиены полости рта (OHI-S; Green, Vermillion,1964).
2. Для оценки состояния десны(GI; Loe, Silness, 1963;
3. Для оценки состояния тканей периодонта:
· Периодонтальный индексы CPITN; ВОЗ, 1982; КПИ; Леус П.А., 1988;
· Индекс рецессии десны Stahl Morris, 1955.
4. Для оценки состояния твердых тканей зубов (КПУ).
УПРОЩЕННЫЙ ИНДЕКС ГИГИЕНЫ ПОЛОСТИ РТА ГРИНА-ВЕРМИЛЛИОНА
OHI-S (Green, Vermillion, 1964)
МЕТИОДИКА Визуально, без окрашивания, исследуют с помощью зубоврачебного зонда (нежно продвигая его кончик по направлению к десне) шесть ключевых зубов: щечную поверхность 16 и 26; губную поверхность 11 и 31; язычную поверхность 36 и 46. Определяют зубной налет и зубной камень, придерживаясь следующей схемы:

Индекс рассчитывается по формуле OHIS= DI-S+CI-S. при этом показатели зубного налета DI-S и зубного камня DI-S делятся на количество исследованных секстантов.
ИНТЕРПРЕТАЦИЯ
Значение OHI-S Оценка OHI-S Оценка гигиены рта
0,6 => низкий => хорошая
0,7 – 1,6 => средний => удовлетворительная
1,7 – 2,5 => высокий => неудовлетворительная
> 2,6 => очень высокий => плохая
ДЕСНЕВОЙ ИНДЕКС
GI (Loe, Silness, 1963)
МЕТОДИКА. Исследование проводится визуально. Для определения кровоточивости проводят пальпацию десны тупым инструментом. Десна обследуется у всех зубов или выборочно по секстантам. Ключевыми зубами являются 16, 21, 24, 36, 41, 44. Показатели состояния десны оцениваются в 4-х участках: дистально-вестибулярная, вестибулярная, медиально-вестибулярная, оральная поверхности.
КОДЫ КРИТЕРИИ
0 – нормальная десна;
1 – легкое воспаление, небольшое изменение цвета, легкая отечность, нет кровоточивости при пальпации;
2 – умеренное воспаление, покраснение, отек, кровоточивость при пальпации;
3 – резко выраженное воспаление с заметным покраснением и отеком, изъязвлениями, тенденцией к спонтанным кровотечениям.
Полученные значения суммируются и делятся на количество участков и секстантов (если обследовались все 6 секстантов, то полученные значения делятся на 24 (6секстантов умножить на 4 участка).
ИНТЕРПРЕТАЦИЯ:
0,1 – 1,0 – легкий гингивит;
1,1 – 2,0 – гингивит средней тяжести;
2,1 – 3,0 – тяжелый гингивит.
ПЕРИОДОНТАЛЬНЫЙ ИНДЕКС
CPITN (ВОЗ, 1982).
МЕТОДИКА. У лиц старше 20 лет исследуют периодонт в области шести групп зубов (17/16, 11, 26/27, 37/36, 31, 46/47) на верхней и нижней челюстях с помощью специального пуговчатого периодонтального зонда ВОЗ (рис.14). У молодых людей в возрасте до 19 лет исследуют 16, 11,26,36,31,46. У подростков и детей моложе 15 лет используются только коды 0,1 и 2. Если в предназначенном для осмотра секстанте менее 2-х индексных зубов, тогда секстант исключается из обследования.
КРИТЕРИИ:
0 – здоровая десна, нет признаков патологии;
1 – после зондирования наблюдается кровоточивость десен;
2 – зондом определяется поддесневой зубной, черная полоска зонда не погружается в десневой карман;
3 – определяется карман 4 или 5 мм: черная полоска зонда частично погружается в десневой карман;
4 – определяется карман более 6 мм: черная полоска зонда полностью погружена в десневой карман.
Рис. 14. Определение индекса CPITN с помощью специального градуированного зонда
По данным индекса CPITN определяется потребность индивидуума или группы в лечении. Согласно рекомендациям ВОЗ объем лечебно-профилактической помощи определяется по следующей схеме:
1. Наличие кровоточивости десны указывает на необходимость инструктажа по гигиене полости рта.
2. Наличие зубного камня и зубодесневых карманов средней глубины до 4-5 мм требует, наряду с улучшением индивидуальной гигиены, провести удаление зубного камня и кюретаж.
3. Наличие глубоких зубодесневых карманов – более 6 мм. Указывает на необходимость назначения комплексной терапии, включающей помимо гигиенических мероприятий и удаления зубных отложений, хирургические вмешательства и другие мероприятия.
КОМПЛЕКСНЫЙ ПЕРИОДОНТАЛЬНЫЙ ИНДЕКС, КПИ (П.А.Леус, 1988)
МЕТОДИКА. Определяется состояние тканей периодонта с помощью обычного зубоврачебного зонда и стоматологического зеркала, для определения подвижности может использоваться стоматологический пинцет. У взрослых исследуют 17/16, 11, 26/27, 37/36, 31, 46/47. При наличии нескольких признаков регистрируется более тяжелое состояние (более высокий балл).
КРИТЕРИИ
0 - здоровый - зубной налет и признаки поражения периодонта не определяются;
1- зубной налет – любое количество зубного налета;
2- кровоточивость – видимое невооруженным глазом кровотечение при легком зондировании зубодесневого желобка;
3 – зубной камень – любое количество зубного камня в поддесневой области зуба;
4 – патологический карман – патологический зубо-десневой карман, определяемый зондом;
5 – подвижность зуба – подвижность 2-3 степени
КПИ индивидуума рассчитывается по формуле :
КПИ= Сумма кодов/ количество секстантов (обычно 6)
ИНТЕРПРЕТАЦИЯ
Значения Уровень интенсивности
0,1-1,0 Риск к заболеванию
1,1-2,0 Легкий
2,1-3,5 Средний
3,6-5,0 Тяжелый
ИНДЕКС РЕЦЕССИИ ДЕСНЫ, Stahl Morris, 1955
МЕТОДИКА. Рецессии десны оценивается в области всех групп зубов и определяется как расстояние от края десны до эмалево-цементной границы. Для определения рецессии десны лучше пользоваться специальными градуированными зондами для определения рецессии или периодонтальными зондами.
Индекс рецессии рассчитывается по формуле:
количество зубов с рецессией
х 100%
общее количество зубов
ИНТЕРПРЕТАЦИЯ:
Легкая степень до 25%;
Средняя 26-50%;
Тяжелая 51-100%
ИНДЕКС ИНТЕНСИВНОСТИ КАРИЕСА
КПУ
Осматриваются все зубы, начиная с 18 и заканчивая 48 с помощью зонда и зеркала.
Используются следующие коды (цифровые обозначения для постоянных зубов, буквенные - для молочных):
0 (А) - Здоровый зуб. Зуб без признаков кариозного процесса. Зубы с белыми или меловидными пятнами, пигментированными фиссурами, но без размягчения дна, стенок, подрытой эмали регистрируются как здоровые.
1 (В) - Кариозный. Кариес регистрируют, когда зуб имеет определяемое размягчение дна, подрытую эмаль или размягченную стенку. Сюда относят и зубы с временными пломбами. При оценке апроксимальных поверхностей должна быть уверенность, что зонд введен в очаг поражения. При наличии каких-либо сомнений не следует регистрировать зуб как кариозный.
2(С) – Пломбированный с кариесом. Зубы с постоянными пломбами и участками, пораженными кариесом.
3 (D) - Пломбированный без кариеса. Зубы с постоянными пломбами при условии отсутствия участков, пораженных кариесом. К данной категории относят зубы с коронками, поставленными в связи с предшествующим кариозным разрушением. Зубы с коронками, поставленными по другим причинам (после травмы или как опора мостовидного протеза), в этом коде не учитывают.
4 (Е) - Удален по причине кариеса. Этот код не используют для молочных зубов в период их физиологической смены.
6 (F) - Покрыт герметиком. Этот код обозначает постоянные зубы, имеющие на окклюзионной поверхности герметик.
7 (G) – Покрыт искусственной коронкой. Зубы с коронками, поставленными после травмы или как опора мостовидного протеза.
Индекс кариозных, пломбированных и удаленных зубов (КПУ зубов) подсчитывается при суммировании компонентов “К”, “П” и “У”
Компонент “К” включает все зубы, закодированные цифрой 1 и 2.
Компонент “П” включает только зубы, отнесенные к коду 3.
Компонент “У” включает зубы с кодом 4.
Методы исследования в зависимости от нозологических форм
КАРИЕС
ОСНОВНЫЕ: осмотр, зондирование.
ДОПОЛНИТЕЛЬНЫЕ: окрашивание, люминисцентные методы, рентген диагностика (прикусные снимки), термопроба, ЭОД, лазерная диагностика.
ПУЛЬПИТ, апикальный ПЕРИОДОНТИТ
ОСНОВНЫЕ: осмотр, зондирование, перкуссия, пальпация.
ДОПОЛНИТЕЛЬНЫЕ: рентген диагностика, термопроба, ЭОД.
БОЛЕЗНИ ПЕРИОДОНТА
ОСНОВНЫЕ: осмотр, зондирование, перкуссия, пальпация (оценка подвижности зуба).
ДОПОЛНИТЕЛЬНЫЕ: индексная оценка, рентген диагностика, микробиологическое и биохимическое исследование, методы функциональной диагностики (реопарадонтограмма, полярография).
ЗАБОЛЕВАНИЯ СОПР
ОСНОВНЫЕ: осмотр.
ДОПОЛНИТЕЛЬНЫЕ: цитологическое, гистологическое, микробиологическое, иммунологическое исследования, аллергологические пробы, реография, полярография, биохимические данные.
Литература
1. Борисенко Л.Г, Делендик А.И., Орда В.Н.
Методы индексной оценки заболеваний периодонта: Метод. рекомендации. – Мн., 2004. – 24 с.
2. Дедова Л.Н
. Диагностика болезней периодонта: Метод. рекомендации. – Мн., 2004. – 70 с.
3. Казеко Л.А., тимчук Я.И.
Рецессия десны: Метод. рекомендации. – Мн., 1998. -24 с.
4. Леус П
.А. Комплексный периодонтальный индекс // Стоматология. – 1988. - №1. – С. 28-29.
5. Лобко С.С., Бондарик
Е.А., Будевская
Т.В., Кондрукевич О.В.
Клинические проявления воспаления десны: Метод. рекомендации. – Мн., 2002. – 20 с.
6. Лобко С.С,. Будевская Т.В,
Клинические методы исследования, характеризующие деструктивные процессы в тканях маргинального периодонта: Метод. рекомендации. – Мн., 2004. – 24 с.
7. .Луцкая И.К, Кульчицкий
В.А., Песоцкая
Я.А, Бинцаровская
Г.В. Кравчук И.В.
Обследование стоматологического больного: Метод. рекомендации. – Мн., 2001. – 20 с.
8. Третьякович А.Г. .Борисенко Л.Г, Мартопляс П.А
. Диагностика, планирование и критерии оценки эффективности лечения: Метод. рекомендации. – Мн., 2005. – 31 с.
9. Третьякович А.Г., Борисенко Л.Г., Пищинский И.А.
Дифференциальная диагностика и принципы лечения заболеваний слизистой оболочки полости рта: Метод. рекомендации. – Мн., 2005. – 66 с.
10. Третьякович А.Г., Борисенко Л.Г., Пищинский И.А., Орда В.Н.
Диагностика и комплексное лечение заболеваний периодонта: Метод. рекомендации. – Мн., 2004. – 67 с.
11. Терапевтическая
стоматология / Под ред. Е.В. Боровского., Ю.М. Максимовского. – 1998.
12. Хельвиг Э., Климек Й., Аттин Т.
Терапевтическая стоматология. – Львов, 1999. – 205 с.
13. Яковлева В.И., Трофимова Е.К., Давидович Т.П., Просверяк Г.П.,
Диагностика, лечение и профилактика стоматологических заболеваний. – Мн., 1994. – 494 с.
14. Carranza F.A., Newman M.G.
Clinical Periodontology. 8-th edition. Saunders.Philadelphia. 1996.
Учебное издание
Юдина
Наталья Александровна
Азаренко
Валентина Ивановна
основные и дополнительные методы обследования пациента на приеме врача- стоматолога
Учебно-методическое пособие
Ответственная за выпуск Н.А. Юдина
Компьютерный набор и верстка Ю.А. Байдала
Подписано в печать . . . Формат 60х84/16. Бумага потребительская. Печать ризография. Гарнитура «Times New Roman».
Печ.л. 1,0. Уч.- изд. л.0,8. Тираж 100 экз. Заказ .
Издатель и полиграфическое исполнение –
Белорусская медицинская академия последипломного образования.
ЛВ № 23 от 27.01.2004. 220013, г. Минск, ул.П. Бровки, 3.
|