| УДК 616.45-006-089
Е.В. Жук, Э.О. Луцевич
ВИДЕОЭНДОСКОПИЧЕСКИЕ ОПЕРАЦИИ В ЛЕЧЕНИИ ОПУХОЛЕЙ НАДПОЧЕЧНИКОВ
Белорусский государственный медицинский университет
Введение
Значительно изменило абдоминальную хирургию начало использования в 1987 году лапароскопических методов оперативного лечения. Они быстро получили распространение и на данный момент используются при многих хирургических заболеваниях брюшной и грудной полостей, ретроперитонеального пространства [1]. С 1992 года применяются видеоэндоскопические операции и для лечения пациентов с доброкачественными опухолями надпочечников [2]. С момента разработки до нынешнего времени не разработаны четкие показания для использования малоинвазивной методики. Часть исследователей склоняется к мнению, что определяющий фактор при выборе вида операции — размер опухоли: большие новообразования технически сложно удалимы, в связи с чем не всегда удается резецировать их полностью, к тому же опухоли большего размера, как правило, носят злокачественный характер, а значит в процесс могут быть вовлечены близлежащие органы и регионарные лимфоузлы, что требует выполнения большой открытой операции [3]. Некоторые авторы утверждают, что размер новообразований значения не так важен: были опубликованы сообщения об удалении опухолей от 10 до 15 см [4].
Несмотря на то, что выполняют лапароскопические адреналэктомии уже на протяжении пятнадцати лет, до нынешнего времени опубликованы результаты единичных проспективных исследований, посвященных сравнению эффективности новой методики со стандартными открытыми операциями и показания/противопоказания для малоинвазивных операций четко не определены.
Цель исследования — сравнение результатов лапароскопической и открытой адреналэктомий у больных доброкачественными гормонально-активными образованиями надпочечников.
Материал и методы
Обследованы 92 пациента с данной патологией. Все они подверглись унилатеральной адреналэктомии. Контрольную группу составили 30 больных. Среди них 24 женщины, 6 мужчин, прооперированные с применением традиционных методик. Средний возраст в данной группе составил 48,5 +
2,09 лет. В основную группу вошли 62 больных (50 женщин, 12 мужчин), у которых был использован видеоэндоскопический доступ. Средний возраст пациентов — 48,3 +
0,26 лет. Отдаленные результаты прослежены у 37.
Забиваем Сайты В ТОП КУВАЛДОЙ - Уникальные возможности от SeoHammer
Каждая ссылка анализируется по трем пакетам оценки: SEO, Трафик и SMM.
SeoHammer делает продвижение сайта прозрачным и простым занятием.
Ссылки, вечные ссылки, статьи, упоминания, пресс-релизы - используйте по максимуму потенциал SeoHammer для продвижения вашего сайта.
Что умеет делать SeoHammer
— Продвижение в один клик, интеллектуальный подбор запросов, покупка самых лучших ссылок с высокой степенью качества у лучших бирж ссылок.
— Регулярная проверка качества ссылок по более чем 100 показателям и ежедневный пересчет показателей качества проекта.
— Все известные форматы ссылок: арендные ссылки, вечные ссылки, публикации (упоминания, мнения, отзывы, статьи, пресс-релизы).
— SeoHammer покажет, где рост или падение, а также запросы, на которые нужно обратить внимание.
SeoHammer еще предоставляет технологию Буст, она ускоряет продвижение в десятки раз,
а первые результаты появляются уже в течение первых 7 дней.
Зарегистрироваться и Начать продвижение
Результаты
C целью оценки ближайших результатов проанализирована клиническая документация больных основной и контрольной групп. Установлено, что объём инфузионной нагрузки во время операции у больных основной группы составил, в среднем, 400 мл, у больных контрольной группы — 2000 мл, что достоверно больше (p < 0,01); резкого повышения артериального давления у пациентов во время проведения лапароскопической адреналэктомии не наблюдалось. Уровень артериального давления у больных контрольной группы достигал 240/140 мм рт. ст.. Объем кровопотери в основной группе составил, в среднем, 50 мл, у больных контрольной группы этот показатель был равен 600 мл, т.е. имеется значительная статистическая разница (p < 0,01). Среднее время, затраченное на операцию, достоверно меньше в основной группе (у больных основной группы — 158,1 +
2,07 мин, у больных контрольной группы — 90,7 +
1,3 мин, p < 0,05). Причем, по мере совершенствования техники операций длительность лапароскопической адреналэктомии сократилась до 2-2,5 часов по сравнению с 5 часами в начале применения малоинвазивной методики.
Послеоперационный период у больных основной группы протекал значительно легче, чем у больных из контрольной. Болевой синдром у пациентов после видеоэндоскопической адреналэктомии был значительно менее выражен, что позволило снизить количество анальгетиков, вводимых в послеоперационном периоде.
Длительность пребывания больных в стационаре в послеоперационном периоде составила лишь 7,7 +
0,08 суток в основной группе по сравнению с 16,7 +
0,2 в контрольной группе (p < 0,001) .
В послеоперационном периоде гнойное воспаление раны отмечено у 7 (23,3 %) пациентов контрольной группы, в основной — у одного (2,7 %). В 5 (16,7 %) наблюдениях в контрольной группе возникли лигатурные свищи, у 2 (6,7 %) больных — послеоперационные грыжи. У пациентов основной группы данные осложнения отсутствовали. Релаксация передней брюшной стенки развилась в 8 (26,6 %) случаях в контрольной группе, в основной же только у 1 (2,7 %) пациентки отмечен локальный парез мышц живота, разрешившийся через 6 месяцев.
Одним из основных признаков наличия новообразования в надпочечнике у большинства больных была трудно поддававшаяся терапии артериальная гипертензия. Стабильное повышение артериального давления в отдаленном послеоперационном периоде наблюдалось у 19 (63,3%) больных в контрольной группе, в основной — у 15 (46%). В контрольной группе у 3 (10%) обследуемых зарегистрировано острое нарушение мозгового кровообращения. В 2 (5,4%) наблюдениях в основной и контрольной (2 - 6,7%) группах развился инфаркт миокарда. У одной больной основной группы инфаркт послужил причиной смерти, однако его развитие, вероятно, связано с прогрессированием атеросклероза и ишемической болезни сердца, но не с повышением уровня гормонов. Сравнение числа послеоперационных осложнений в обеих группах представлено в таблице 1.
Сервис онлайн-записи на собственном Telegram-боте
Попробуйте сервис онлайн-записи VisitTime на основе вашего собственного Telegram-бота:
— Разгрузит мастера, специалиста или компанию;
— Позволит гибко управлять расписанием и загрузкой;
— Разошлет оповещения о новых услугах или акциях;
— Позволит принять оплату на карту/кошелек/счет;
— Позволит записываться на групповые и персональные посещения;
— Поможет получить от клиента отзывы о визите к вам;
— Включает в себя сервис чаевых.
Для новых пользователей первый месяц бесплатно.
Зарегистрироваться в сервисе
У пациентов основной группы, прооперированных с применением органосохраняющей методики, в отдаленном послеоперационном периоде не наблюдалось развития надпочечниковой недостаточности.
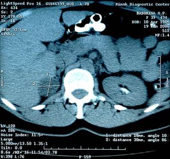
В сроки от 1 года до 3 лет после операции выполнены контрольные УЗ-исследование (14 - 46,7% - пациентам контрольной группы и 30 - 81% - пациентам основной группы) и компьютерная томография (3 - 8,1% - пациентам основной группы). Изменения (объемные образования) выявлены у 5 (13,5%) больных основной группы, но в неоперированном надпочечнике (рис. 1).
Таблица 1. Количество случаев осложнений и сохранения артериальной гипертензии после открытых и лапароскопических операций, оценка достоверности различия показателей в двух группах.
| Оцениваемый показатель
|
Количество случаев
|
Оценка достоверности различия (вероятность ошибки)
|
| Контрольная группа
|
Основная группа
|
| Гнойное воспаление раны
|
7 (23,3 %)
|
1 (2,7 %)
|
p < 0,05
|
| Лигатурный свищ
|
5 (16,7 %)
|
0 (0 %)
|
p < 0,05
|
| Послеоперационная грыжа
|
2 (6,7 %)
|
0 (0 %)
|
p > 0,05
|
| Релаксация передней брюшной стенки
|
8 (26,6 %)
|
1 (2,7 %)
|
p < 0,05
|
| Острое нарушение мозгового кровообращения
|
3 (10 %)
|
0 (0 %)
|
p > 0,05
|
| Инфаркт миокарда
|
2 (6,7 %)
|
2 (5,4 %)
|
p > 0,05
|
| Артериальная гипертензия
|
19 (63,3 %)
|
15 (46 %)
|
p > 0,05
|
Контрольное гормональное исследование выполнено 9 пациентам основной группы в ближайшем послеоперационном периоде: у 6 (66,7%) отмечено нормальное содержание гормонов надпочечников в крови; у 2 (22,2%) количество кортизола соответствовало крайней верхней границе нормы и у 1 (11,1%) больного выявлено повышение уровня альдостерона.

Рисунок 1. Компьютерная томограмма пациентки, перенесшей лапароскопическую адреналэктомию левого надпочечника. Определяется объемное образование в области правого надпочечника.
Выводы
Данные настоящего исследования демонстрируют, что лапароскопическая адреналэктомия имеет преимущества по сравнению с открытой методикой. Это касается уменьшения послеоперационного болевого синдрома, длительности пребывания в стационаре и времени реабилитации пациентов. В отношении интраоперационных показателей малоинвазивные операции также имеют преимущество: отмечаются меньшие интраоперационные кровопотеря и инфузионная нагрузка, отсуствие подъемов артериального давления. Из недостатков можно отметить лишь более длительное время, затрачиваемое на проведение операции.
Выполнение лапароскопической адреналэктомии во многом позволяет избежать и развития послеоперационных осложнений, в большей степени гнойных и релаксации переднебоковой брюшной стенки в результате повреждения межреберного нерва. В отношении послеоперационных грыж, острого нарушения мозгового кровообращения, инфаркта миокарда и сохраняющейся артериальной гипертензии выполнение лапароскопических вмешательств опять же предпочтительнее, несмотря на то, что разница по этим показателям была статистически недостоверной. В дальнейшем возможно их изменение в результате увеличения выборки.
Литература
1. Cuschieri A. The spectrum of laparoscopic surgery // World J Surg. — 1992. — Vol. 16. — 1089-1097.
2. Gagner M., Lacroix A., Bolte E. Laparoscopic adrenalectomy in Cushing’s syndrome and pheochromocytoma // N Engl J Med. — 1992. — Vol. 327. — P.1033.
3. Ross N.S., Aron D.C. Hormonal evaluation of a patient with an incidentally discovered adrenal mass // N Engl J Med. — 1990. — Vol. 323. — P. 1401-1407.
4. Wells A.S., Merke P.D., Cutler B.G., Jr., Norton A.J., Lacroix A. The role of laparoscopic surgery in adrenal disease // Journal of clinical endocrinology and metabolism. — 1998. — Vol. 83: №9. — P. 3041-3049.
Y.V. Zhuk, E.O. Lucevich
VIDEOENDOSCOPIC OPERATIONS IN TREATMENT OF ADRENAL TUMORS
Belorussian state medical university
The article contains data about results of treatment of patients with benign tumors of adrenal glands. Aim of our investigation is comparison of effectiveness and safety of open and laparoscopic adrenalectomy. 92 patients were examined after adrenalectomy and their clinical records were analyzed. The results showed that laparoscopic approach gives much benefit in terms of expected intra- and postoperative outcomes and it greatly speeds patient’s recovery after surgery.
РЕЗЮМЕ
В последние годы малоинвазивные оперативные методы внедрены для лечения множества хирургических заболеваний, в том числе и новообразований надпочечников. Цель исследования — сравнение эффективности открытой и лапароскопической методик. Обследованы 92 пациента с доброкачественными опухолями надпочечников. Контрольную группу составили 30 больных, прооперированные с применением традиционных методик. В основную группу вошли 37 больных, у которых был использован видеоэндоскопический доступ. В послеоперационном периоде гнойное воспаление раны отмечено у 7 (23,3%) пациентов контрольной группы, в основной — у одного (2,7%). В 5 (16,7%) наблюдениях в контрольной группе возникли лигатурные свищи, у 2 (6,7%) больных — послеоперационные грыжи. У пациентов основной группы данные осложнения отсутствовали. Релаксация передней брюшной стенки развилась в 8 (26,6%) случаях в контрольной группе, в основной же только у 1 (2,7%) пациентки отмечен локальный парез мыщц живота, разрешившийся через 6 месяцев. Артериальная гипертензия в отдаленном послеоперационном периоде наблюдалась у 19 (63,3%) больных в контрольной группе, в основной — у 15 (46%). В контрольной группе у 3 (10%) обследуемых зарегистрировано острое нарушение мозгового кровообращения. В 2 (5,4%) наблюдениях в основной и контрольной (2 - 6,7%) группах развился инфаркт миокарда. В сроки от 1 года до 3 лет после операции выполнены контрольные УЗ-исследование (14 - 46,7% - пациентам контрольной группы и 30 - 81% - пациентам основной группы) и компьютерная томография (3 - 8,1% - пациентам основной группы). Изменения выявлены у 5 (13,5%) больных основной группы, но в неоперированном надпочечнике. Таким образом, после эндоскопической адреналэктомии, вследствие ее малой травматичности, сокращаются сроки реабилитации больных и снижается число послеоперационных осложнений.
|