1.Введение
Реставрационная стоматология нового тысячелетия становится все более консервативной, и эта тенденция весьма устраивает как стоматолога, так и его пациента.
Современная адгезивная техника, благодаря микрогибридным составам последнего поколения, позволяет даже в случаях сильных потерь зубной ткани, например, при кариесе или травмах, сохранить как можно больше оставшейся ткани зуба. Это позволяет, в свою очередь, добиться продления жизненного цикла поврежденных зубов, по сравнению с традиционными, более разрушительными методами, например, металлическими или керамическими коронками. Эти консервативные решения позволяют нам добиться эстетических результатов, сравнимых с результатами протезирования или в несколько раз превосходящих их.
Нынешние микрогибридные композиты обладают физическими свойствами, превосходящими свойства композитов, использовавшихся в прошлом. Они гораздо лучше отвечают функциональным требованиям и позволяют сохранять характеристики натуральной зубной ткани в течение длительного периода. Система "Enamel Plus HFO" (производства компании Мицериум, Италия) включает универсальные дентины и эмали, каждая из которых обладает различными оптическими свойствами, предназначенными для моделирования естественных тканей, с тем, чтобы получить более реалистичное воспроизведение естественной ткани.
Еще же больше, чем в материале, врач нуждается в технике, основанной на четкой связи и стандартной пошаговой практике. Это опровергает мнение о том, что успешный результат восстановления передних зубов якобы в первую очередь является следствием эстетической и художественной одаренности того или иного врача. Такое отношение приводит к импровизациям, например, к имитации естественной ткани непосредственно во время лечения пациента, и иногда заканчивается разочарованием. Гораздо более реалистично следовать известному рациональному методу, полученному экспериментальным путем более чем за 20 лет исследований и клинических испытаний. Данный метод необходимо тщательно изучить; он требует терпения, а также упражнений с искусственными и удаленными зубами.
Эта статья детально излагает технику, основанную на разумных предположениях, которые позволяют нам планировать и выполнять реставрацию передних зубов в самых сложных случаях, используя стандартные и повторяющиеся действия, которые приводят к конечному предсказуемому результату.
Забиваем Сайты В ТОП КУВАЛДОЙ - Уникальные возможности от SeoHammer
Каждая ссылка анализируется по трем пакетам оценки: SEO, Трафик и SMM.
SeoHammer делает продвижение сайта прозрачным и простым занятием.
Ссылки, вечные ссылки, статьи, упоминания, пресс-релизы - используйте по максимуму потенциал SeoHammer для продвижения вашего сайта.
Что умеет делать SeoHammer
— Продвижение в один клик, интеллектуальный подбор запросов, покупка самых лучших ссылок с высокой степенью качества у лучших бирж ссылок.
— Регулярная проверка качества ссылок по более чем 100 показателям и ежедневный пересчет показателей качества проекта.
— Все известные форматы ссылок: арендные ссылки, вечные ссылки, публикации (упоминания, мнения, отзывы, статьи, пресс-релизы).
— SeoHammer покажет, где рост или падение, а также запросы, на которые нужно обратить внимание.
SeoHammer еще предоставляет технологию Буст, она ускоряет продвижение в десятки раз,
а первые результаты появляются уже в течение первых 7 дней.
Зарегистрироваться и Начать продвижение
2.Определение цвета
Самые важные стадии метода - определение цвета и заполнение таблицы цветов.
Работая с зубами, необходимо выделять пять аспектов: насыщенность, яркость, интенсивность, опалесценцию и характеризацию.
Сначала определяется базовая насыщенность (цветовой оттенок) по внутреннему дентинному телу. Система имеет четыре цвета: А, В, С и D. Имея в виду, что оттенок А является средним оттенком натуральных зубов, мы разработали Универсальные Дентины (UD) с семью оттенками (1, 2, 3, 3.5, 4, 5, 6). Базовый оттенок зубов (ВС) определяет средний оттенок от шейки зуба до резца и соотносится с возрастом пациента. У молодых пациентов чаще всего встречается оттенок 1-2 (UD1-UD2), у взрослых - со 2 по 3 (UD2-UD3), а у пожилых пациентов - 3-4 (UD3-UD4).
В левой колонке Таблицы Цветов (Colour Chart) показаны четыре базовых оттенка (ВС - 1, 2, 3, 4), а в правой - указаны названия масс, существующих в семи оттенках.
Затем определяется яркость, которая обуславливает степень свечения оттенка: черный обладает нулевым свечением, а белый - максимальным свечением. Значение зависит от толщины, содержания воды и минерализации эмали. Чем толще слой эмали, чем меньше его минерализация, тем больше яркость для данного зуба, - например, у детей с гипсово-белым цветом зубов. Наоборот, у пожилых пациентов эмаль истончается, открывая более минерализованные слои, выглядящие как стекло с превалирующим серым цветом. Мы различаем три вида эмали (дети, взрослые и пожилые пациенты): высокая яркость (GE 3), средняя яркость (GE 2) и низкая яркость (GE 1). Таблица Цветов содержит три значения (1, 2, 3), которые соответствуют низкой (1), средней (2) и высокой (3) яркости эмали. Эти три номера представлены тональностями от серого (1) до холодного белого (2) и молочно-белого (3) для запоминания соответствия значению. Самой подходящей областью для определения этого значения является средняя треть.
В третью очередь определяется интенсивность, классифицируемая по четырем группам, по следующим формам: пятна, облака, снежинки и горизонтальные полосы. Эти группы расположены в Таблице Цветов для лучшей классификации. Белые насыщенные пятна находятся в областях гипоминерализованной эмали и встречаются на зубной ткани детей и молодых людей. В Таблице Цветов для классификации этой формы указаны номера 1, 2, 3 и 4; буквы W-M обозначают оттенки белого, существующие у натуральных зубов: W - холодный белый, М - более теплый молочный оттенок. Предлагаемые массы для воспроизведения этих оттенков: IW (холодный белый) и IM (теплый белый). Интенсивность может присутствовать во всех трех областях зуба (шейка, средняя часть, резцовая часть).
Сервис онлайн-записи на собственном Telegram-боте
Попробуйте сервис онлайн-записи VisitTime на основе вашего собственного Telegram-бота:
— Разгрузит мастера, специалиста или компанию;
— Позволит гибко управлять расписанием и загрузкой;
— Разошлет оповещения о новых услугах или акциях;
— Позволит принять оплату на карту/кошелек/счет;
— Позволит записываться на групповые и персональные посещения;
— Поможет получить от клиента отзывы о визите к вам;
— Включает в себя сервис чаевых.
Для новых пользователей первый месяц бесплатно.
Зарегистрироваться в сервисе
В четвертую очередь определяется опалесценция. Опалесценция зависит от призматической структуры эмали, которая определяет феномен внутреннего отражения и указывает короткие волны света, отвечающие за серо-голубые эффекты, типичные для резцового участка. Номера 1, 2, 3, 4 и 5 относятся к группам, разделяющим формы опалесценции; с ними необходимо сверяться при определении цвета. B-G-A относится к оттенкам опалесценции натуральных зубов: В (голубой), G (серый) и А (янтарь). Массы составов для воспроизведения: ОВ (голубой), OG (серый) и ОА (янтарный). Опалесценция встречается только в резцовой трети зуба (межпроксимальная и граничная области).
В пятую и последнюю очередь определяется характеризация. Нам необходимо рассмотреть две характеристики дентина (1 и 2) и три характеристики эмали (3, 4, 5). Дентин и эмаль необходимо персонализировать при помощи оттенка, начиная от белого до янтарного (1, 2, 3) и от желтого до коричневого (4, 5). Номера 1, 2, 3, 4, 5 относятся к группам, определяемым, согласно характеристике, указанной на обратной стороне Таблицы Цветов; каждый номер представлен цветовой тональностью, которая встречается у натуральных зубов. Буквы W-A-Y-B представляют тональности, характерные для натуральных зубов (белый, янтарный, желтый, коричневый). Массы составов для воспроизведения: OW (четкий белый), IW (холодный белый), IM (молочный белый), ОА (янтарный), SW (насыщенный белый), SY (насыщенный желтый) и SB (насыщенный коричневый). 1 и 3 - встречаются в резцовой трети; 2 - встречается в средней трети и шейке зуба, 4 и 5 - встречаются во всех областях коронки (шейка, средняя часть, резцы).
3.Подготовка полости
Для правильной подготовки границы полости необходимо учесть эластичность материала, используемого для реставрации, отношение к призмам эмали и эстетическую интеграцию. Для высокоэластичных микрогибридных составов (модуль Юнга 4 Gpa) использовались длинные фаски по эстетическим причинам. Этот тип подготовки не подходит для микрогибридных составов, т.к. они более жесткие (модуль Юнга 15 Gpa) и граница состава была бы слишком тонкой, могла бы отколоться.
Более того, для получения лучшего соотношения сопротивления между границей состава и эмалевыми призмами длинных фасок следует избегать.
Предлагаемая подготовка полости для достижения хорошего соотношения механических и эстетических свойств восстановления включает вестибулярную мини-фаску, а также межпроксимальную и небную границу в 90°.
Маленькая фаска обеспечивается толщиной алмазного бора шаровидной формы, а граница в 90° должна обеспечиваться алмазным бором с конусообразной рабочей частью. Поверхность должна быть обработана алмазными борами с зернистостью в 40 микрон и отполирована силиконовыми головками для полного уничтожения призм, не поддерживаемых эмалью.
 |
 |
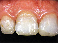
Рис. 1
Неправильная реставрация зуба молодого пациента |
Рис. 2
Таблица Цветов: первая страница заполнена. Необходима реставрация |
 |
| Рис. 3
. Таблица Цветов: обратная сторона, классификация |
 |
 |
Рис. 4, 5
. Схема подготовки границы. Chamfer - ффаска. |
Оперативная подготовка зубов преследует цель полного устранения ка-
риозных поражений и различных дефектов твердых тканей зубов с обеспе-
чением необходимой защиты пульпы и созданием формы, способствующей
восстановлению функции и эстетики зуба.
Основные принципы подготовки кариозных полостей для восстановле-
ния композитами:
1. Полное иссечение некротически измененных тканей — эмали и ден-
тина при щадящем сохранении здоровых структур зуба;
2. Устранение пигментации /по возможности — полное/, и нависающих
краев эмали, не имеющей дентинной основы;
3. Создание адекватного скоса эмали и расположение краев кариозной
полости в здоровых участках, подверженных минимальному воздей-
ствию жевательных нагрузок;
4. На окклюзионной поверхности жевательных зубов и в области режу-
щего края глубина иссечения твердых тканей должна быть не менее 2
мм. Меньшая толщина композита не выдерживает жевательной на-
грузки и в клинике приводит к отрицательным результатам - сколам,
выпадению пломб;
5. Отказ от создания насечек и подрезок в дентине /исключение состав-
ляют полости П и V классов по Блэку/.
6.Максимальное закругление внутренних углов кариозной полости для
снижения полимеризационного стресса;
7. Использование индикаторов кариеса в конце препарирования с целью
создания структурно здоровой основы для реставрации.
Хотя заместительная терапия кариеса предусматривает препарирование
твердых тканей, принципы препарирования при работе с композитами све-
тового отверджения значительно отличаются от принципов препарирования
по Блэку: это связано со способностью адгезивных систем композитных
материалов обеспечивать достаточную химическую адгезию к тканям зуба, и
в большинстве случаев нет необходимости в создании углов, "ящиков" и
ретенционных пунктов при препарировании полостей. Основными требо-
ваниями к отпрепарированной полости является отсутствие некротизиро-
ванного дентина, декальцинированной эмали и наличие фальца. Пигменти-
рованный дентин удаляется только в том случае, если нет опасности вскрыть
полость зуба.
Основным принципом препарирования зубов для проведения реставра-
ции является щадящее препарирование.
Проводится удаление размягченного
и пигментированного дентина. Следует помнить, что лучшей защитой для
пульпы является естественный дентин и не проводить слишком радикаль-
ного препарирования дентина. При препарировании эмали необходимо удалять декальцинированную и измененую в цвете. На эмали выполняется фальц-скос края под углом в 45 градусов. Фальц создается по всему краю полости для вертикального раскрытия призм и служит для увеличения адгезии и маскировки линий перехода "эмаль-композит". Для выполнения фальца лучше использовать копьевидные или конусные боры. При изготовлении полного ламината на вестибулярной поверхности зуба можно удалить бором поверхностный слой эмали для более эффективного протравливания. 
При нанесении композита на значительную поверхность эмали — при гипоплазии, эрозии, отколе части коронки необходимо производить вертикальное раскрытие эмалевых призм. Это несколько символическое выражение подразумевает снятие тонкого бесструктурного слоя эмали, которым покрыты пучки эмалевых призм, что создает более благоприятные условия для фиксации композита.
4.Техника наслоения (стратификация)
Для достижения правильных результатов лучшей техникой является техника, позволяющая имитировать анатомию зуба, воспроизводя эмаль, протеиновый слой и дентинное тело адекватной толщины, что корректно воспроизводит характеристики прозрачности используемых масс.
Сначала наносится "небная эмаль", после чего наносится межпроксимальная эмаль. Необходима стабильная небная поверхность, которой придана окончательная форма для построения слоя эмали и добавления остальных слоев. Для этой цели нам необходимо создать силиконовый слепок непосредственно в ротовой полости или посредством снятия восковых оттисков при диагностировании. После обрезания слепка до интересующих нас размеров необходимо проверить его адаптацию. Производится протравливание полости, нанесение бонда и его активация. После этого производится нанесение Основной эмали (GE) непосредственно на слепок, удерживаемый рукой, предохраняя композит от источника света, который мог бы ускорить полимеризацию. После создания небной стенки слепок можно убрать, после чего устанавливается прозрачная матрица и деревянный клин. Построение межпроксимальной стенки производится следующим образом. На этой стадии необходимо произвести проверку толщины, следя за тем, чтобы не превысить толщину эмалевого слоя в 0,4 мм, т.к. данная толщина является наилучшей для контроля разницы рефракционных индексов между натуральной эмалью и эмалью состава.
Для восстановления протеинового слоя необходимо нанести очень тонкий слой Glass Connector, следя за тем, чтобы не затронуть границы полости; затем следует полимеризация. Glass Connector - текучий материал молочно-белого цвета с высокой степенью флюоресценции, которая модулирует диффузию света от эмали к дентинному телу.
При построении дентинного тела первый слой дентина должен обладать более сильной насыщенностью, чем базовый. Это необходимо, потому что предстоящее нанесение эмали сильно понизит внутреннюю хроматическую силу. Дентинное тело должно создать внутренний хроматический состав с десатурацией от шейки к резцовой области и от небной - к вестибулярной области. Этого можно достичь, используя сегментную стратификацию трех различных оттенков: от двух верхних к завершающему нижнему. Если верхний оттенок обозначен как 1, стратификация должна начинаться от цервикальной границы полости с UD3; затем необходимо нанести UD2, частично достигая резцовой области; затем UD1 покрываются все дентинные слои и резцовая область, где моделируются дентинные маммелоны. Это законченное дентинное тело покрывается тонким слоем Glass Connector. При необходимости получения характеристик дентинного тела (1 и 2) или границы (3) необходимо использовать массы белого цвета (OW, IW) или янтарного цвета (ОА).
Массу OBN в бороздках между маммелонами необходимо наносить осторожно. Она должна достигать резцовой части над маммелонами для воспроизведения теневого эффекта. Эта масса наносится плоской кистью. Оттенки насыщенности (IW, IM) достигаются в тонком слое и наносятся инструментами небольшой площади до нанесения вестибулярной эмалевой массы. Анатомическая стратификация получает завершение посредством нанесения вестибулярной эмали, которая покрывает все уже имеющиеся массы.
 |
 |
Рис. 6, 7
. Вестибулярные, межпроксимальные и небные границы подготовлены для новой реставрации |
 |
 |
Рис. 8
. В анатомии натурального зуба мы рассматриваем три слоя: эмаль, протеиновый слой и дентин. |
Рис. 9
. Конструкция небной и межпроксимальной эмали (GE 3) и протеинового слоя (Glass Connector). |
4.1. восстановление передней группы зубов
При реставрации передних зубов успех цветовой адаптации определяет правильная толщина слоёв композитной массы. Недаром считается наиболее сложной процедурой воспроизведение цвета коронки фронтального зуба в соответствии с цветом соседних натуральных зубов. Ещё более ответственной является восстановление разрушенной части зуба пломбой, так как пломба должна органично «вписываться» в окружающие ткани. Поэтому при первичных кариозных полостях необходимо стремиться сохранить вестибулярную эмалевую пластинку путём раскрытия и препарирования полости с оральной поверхности зуба. Подобная реставрация должна проводиться исключительно с использованием опаковой массы. При этом внутренняя поверхность эмалевой пластинки, лишённая дентина, должна быть протравлена.
В том случае, если вестибулярную эмалевую стенку нельзя сохранить или требуется восстановить целый резцовый край или угол, прибегают к трудоёмкой «сменной» технике. Здесь также существует несколько принципиально важных правил. Весь отсутствующий дентин необходимо восстановить опаковой массой. Натуральный эмалевый слой в пришеечной половине зуба замещается массой стандартного цвета средней транспарантности. Эмалевый слой второй половины зуба, прилежащей к режущему краю, восстанавливается только слоем эмалевой массы соответствующего цвета. Эти правила должны соблюдаться неукоснительно, иначе пломба, о чём уже говорилось выше, получится слишком прозрачной.
В случае отсутствия выраженной стираемости резцов кромка режущего края и угла представляет собой тонкую прозрачную полоску (так называемый эффект «Halo»). При реставрации её можно сымитировать при помощи очень тонкого слоя светлой композитной массы (А1) или с помощью интенсивной краски. Точно так же можно «нарисовать» эмалевые трещинки или меловые пятна, используя соответствующую краску. При этом поверхностные рисунки должны покрываться тонким слоем эмалевой массы. Практически это выполняется следующим образом. В поверхностном композитном слое формируются маленькие бороздки, в которые закладывается краска, и закрываются тонким слоем композита. Так краска оказывается внутри композита и при обработке уже не уничтожается, например случайно.
После устранения первоначальных реставраций и после препарирования кариозного дентина прикладывают силиконовый оттиск и наносят Основную эмаль сначала небно, причем, прежде всего на зуб 11 и, после этого, на соседний зуб 12.
Далее с помощью Универсального дентина выравнивают неточный рельеф поверхности. После этого с помощью прозрачной матрицы и деревянного клинышка приступают к выравниванию аппроксимальной стенки полости, для чего вновь применяют Основную эмаль.
Затем послойно наносят дентины, покрывают его тонким слоем Glass Connector (в обязательном порядке между слоем дентина и слоем эмали), а сверху наносят заключительный последний слой композита (Основную эмаль), обладающего одинаковым оттенком, который имеет палатинальный и аппроксимальный слои. Моделирование этого последнего эмалевого слоя можно проводить с помощью специального силиконового инструмента разной формы.
Просматривается неточность в дистальной части 11, допущенная вследствие ошибочного выбора оттенка эмали GE2, то есть, заниженной яркости.
В этом случае удаляют ошибочный слой эмали, вновь обрабатывают кислотой и с помощью бондинга наносят – на этот раз – уже оптимальный оттенок эмали.
Второй Клинический пример (рис. 18-24) касается молодой девушки, у которой произошли переломы фронтальных зубов (11, 12, 21) без угрозы для жизнеспособности пульпы.
В первую очередь применяют композитный материал без какого-либо адгезивного состава и моделируют данный материал так, чтобы он имитировал планируемую реконструкцию и одновременно не мешал при артикуляции.
Это моделирование проводится для получения наиболее точного силиконового оттиска, который будет служить в качестве предварительной формы для моделирования реставрации, однако, не ранее как после наложения коффердама и устранения временных реконструкций.
В этом случае не было необходимости в излишнем скашивании эмали, ее кромки были лишь слегка сглажены. Далее следовало протравливание и применение бондинга. После этого можно было приступать к стратификации эмали.
Достижению совершенного эстетического результата содействовало применение оттенков эмали предназначенных для характеризации ее окраски (интенсивная молочная и резцовая опалесцентная).
Заключительное глянцевание поверхности является весьма важной процедурой, которая ведет к улучшению эстетического результата.
Коррекцию композитных пломб фронтальных и боковых зубов следует осуществлять с использованием заострённого Arkansas-камешка. При использовании широко пропагандируемых алмазных финиров тактильная разница между композитом и зубной эмалью не ощущается. Поэтому можно легко повредить окружающие пломбу твёрдые субстанции. Arkansas-камешки режут зубную эмаль только при сильном нажатии. Последующая обработка должна проводиться с помощью заострённого силиконового инструмента для полирования. Для высококачественной работы более всего подходят абразивные щёточки. Полировка вращающимися дисками не рекомендуется, так как они разрушают с таким трудом смоделированную поверхностную структуру.
4.2.Этапы пломбирования полостей 2-го класса
1. Анестезия и очистка поверхности зуба.
2. Наложение коффердама и препарирование.
3. Наложение контурной матрицы и её фиксация клином из дерева (клин
необходимо вводить в межзубной промежуток под давлением).
4. Смачивание клина водой из пистолета (клин разбухает и ещё сильнее рас-
клинит зубы. Отсюда название метода — предварительная расклинка).
5. При необходимости наложение лечебной прокладки.
6. Протравливание, смывание и высушивание.
7. Нанесение праймера.
8. Нанесение адгезива.
9. Заполнение композитом, начиная с придесневой части полости.
10. Завершение наложения композита с использованием послойной тех-
ники и применение направленной полимеризации.
11. Удаление матрицы, клина, коффердама.
12. Досветка придесневой части пломбы через прозрачный клин.
13. Проверка контактного пункта флоссом. При необходимости удаление
нависающего края с помощью ножа для композитов или штрипсы.
14. Коррекция окклюзии, финишная обработка, полировка.
15. Финишное отсвечивание.
При реставрации тканей, пораженных кариесом, на контактных поверх-
остях применяются стандартные формы с контурированными прозрачны-
и полосками, либо профилированные полоски или одноразовые формы.
:ажно обеспечить плотное прилегание полоски к зубу возле десны. Уплот-
ить полоску формы можно с помощью специального прозрачного межзуб-
ого клина, который отражает свет по направлению к дну полости. Такой
ин улучшает условия полимеризации этого фрагмента пломбы при приме-
ении композитных материалов.
4.3.Пломбирование полостей 3 и 4 классов
Для получения эффекта интактного зуба необходимо воссоздать дентин
эмаль из пломбировочного материала, имеющего опакерные и прозрачные цвета или использовать технику сэндвич".Для того, чтобы линия перехода композит-эмаль не была заметна, следует перекрыть фальц композитом на 2-3 мм. Если
линия перехода все же выделяется, можно использовать эффект "капли": наложить на эту линию тонкий слой расцветки "прозрачный режущий край". При пломбировании полостей 4-го класса важно правильно определить степень прозрачности зуба.При пломбировании полостей 3-го класса, расположенных с оральной стороны,можно пользоваться стеклоиономером или композитом, так как в этих случаях при сохраненной вестибулярной эмали проблем с цветом не возникает.Для реставрации очень хорошо подходит "Dyracf.
При пломбировании полостей 3-го класса композитами, компомерами и светоотверждаемыми стеклоиономерами первое отсвечивание следует проводить со стороны эмали /т.е. через эмаль/для образования максимальной адаптации "эмаль-композит" и для предотвращения усадочных отрывов.
При работе с полостями 3 и 4-го классов без коффердама необходимо
использовать ретракционные нити и контурные прозрачные матрицы. После
удаления тракционных нитей и матриц следует обработать пришеечную часть
реставрации финишными борами, стараясь не травмировать десну (рис.40.).
Этапы проведения реставраций для полостей 3 и 4-го классов:
1. Очистка поверхности зуба от налёта и определение цвета.
2. Наложение коффердама и препарирование.
3. Введение ретракционных нитей и фиксации матрицы — "козырька",
если дефект прилежит к десневому краю. По возможности наложение
коффердама.
4. При глубокой полости наложение лечебной прокладки и её изоляция
стеклоиономером. Воспроизведение контуров дентина.
5. Протравливание, смывание кислоты водой, высушивание.
6. Нанесение праймера, если есть свободный от прокладок дентин
7. Нанесение адгезива, его распределение воздушной струёй и отвержде-
ние полимеризатором.
8. Повторное определение цвета.
9. Послойное внесение композитов с отверждением каждого слоя.
10. Удаление матрицы, нитей и коффердама.
11. Обработка поверхности красным, жёлтым и белым борами и пласти-
ковыми головками.
12. Проверка окклюзии.
13. Обработка контактных поверхностей полировочными штрипсами.
4.4.Пломбирование полостей 5-го класса
Использование компомеров для пломбирования дефектов 5-го класса не
занимает много времени, так как не требует протравливания. Компомеры
рекомендуются к использованию там, где большая часть дефекта локализо-
вана в дентине (глубокие клиновидные дефекты, эрозии), так как их адгезия
дентину значительно выше, чем к эмали.
Батарейный эффект компомеров и хорошая герметизация дентина и це-
мента помогает снизить чувствительность, которая обычно сопровождает
клиновидные дефекты и эрозии.
Если дефект располагается в основном в пределах эмали или в даном
случае важна эстетика реставрации, компомерам и стеклокомпомерам следует
предпочесть светоотверждаемые композиты с их цветовой гаммой.
Если у пациента выражен процес ретракции десны, то для пломбирова-
ния пришеечных полостей следует предпочесть компомер или стеклоионо-
меры, так как они не требуют протравливания и абсолютно инертны.
При пломбировании полостей с границей в пришеечной области необхо-
димо помнить о так называемой послеоперационной чувствительности, ко-
торая связана с нанесением микротравм при протравливании и обработке
поверхности реставрации в пришеечной области. Для снятия болевого син-
дрома необходимо после окончания работы провести обработку тканей зуба
праймером. Как правило, достаточно одного раза, иногда приходится про-
цедуру повторить 2-3 раза. Эффект праймера основан на его способности
герметизировать дентин и цемент.
При отверждении композита, внесённого в полость 5-го класса, следует
направлять световод "от десны". В этом случае усадка композита будет на-
правлена к пришеечным тканям зуба и будет достигнута хорошая марги-
нальная адаптация.
4.5.Восстановление зубов при частичных отколах коронок
В клинике мы сталкиваемся с травматическими отколами коронок зубов,
Чаще передней группы. Тактика восстановления зависит от типа перелома. Тут
мы рассмотрим частичные отколы коронок при сохранённой пульпе, то есть,
когда есть смысл восстанавливать зуб путём реставрации.
Если линия откола проходит в пределах эмали, то восстановление зуба
проводится по такой схеме:
1. Обезбаливание и очистка поверхности.
2. Наложение коффердама.
3. Препарирование на вестибулярной и оральной поверхности широкого
фальца.
4. Протравливание, смывание кислоты и высушивание.
5. Нанесение, раздувание и отверждение адгезива.
6. Определение цвета.
7. Послойное востановление оральной части (первое отсвечивание — с
вестибулярной стороны) с перекрыванием линии фальца.
8. Послойное наложение композита с вестибулярной стороны (первое
отсвечивание — с оральной стороны) с перекрыванием линии фальца.
9. Снятие коффердама и проверка окклюзии, финишная обработка.
10. Финишное отсвечивание.
При отломе части зуба вместе с дентином при необходимости следует
точечно наложить лечебную прокладку. В этом случае необходимо восста-
новить контуры дентина, затем нанести цвета эмали:
1. Обезбаливание, удаление налёта, определение цвета.
2. Наложение коффердама.
3. Препарирование широкого фальца.
4. Протравливание, смывание кислоты и высушивание.
5. Нанесение праймера.
6. Нанесение адгезива.
7. Повторное определение цвета.
8. Восстановление контуров дентина из опака.
9. Послойное наложение композита цвета эмали на оральную поверх-
ность с первым отсвечиванием с вестибулярной стороны.
10. Послойное наложение композита цвета эмали на вестебулярную по-
верхность с отсвечиванием с оральной стороны.
11. Создание фестончатости режущего края эмали с нанесением компо-
зита цвета "край резца".
12. Снятие коффердама и проверка окклюзии, финишная обработка.
13. Финишное отсвечивание.
В целом восстановление зубов после откола части коронок не представ-
ляет значительных трудностей. Основным моментом является решение воп-
роса о жизнеспособности пульпы зуба после травмы. Рекомендуется во всех
случаях при травмах проводить рентгенологическое исследование и учиты-
вать данные электроодонтодиагностики (ЭОД).
Чаще всего с отколами части коронок обращаются дети. В случае, если
Линия перелома у детей проходит через дентин, мы обязательно изолируем
дентин компомером и не протравливаем дентин.
5.Реставрации зубов измененных в цвете.
Изготовление искусственных зубов
Часто пациенты жалуются на изменение цвета зубов, что лишает улыбку
привлекательности. Мы наблюдали изменение цвета зубов в следующих си-
туациях.
1. Изменение цвета живых зубов, связанное с гипоплазией или флюоро-
зом.
2. Изменение цвета депульпированного зуба из-за окрашивания пастой,
которой запломбирован канал. Мы часто наблюдали фронтальные зубы
верхней челюсти, запломбированны резорцинформалиновой пастой
(на это указывает красный или розоватый цвет зуба).
3. Изменение цвета зуба после травмы вследствие гибели пульпы. В этом
случае внешне интактный зуб обладает розоватым или сероватым от-
тенком (в зависимости от "возраста" травмы).
Рассмотрим клинические этапы реставрационных работ.
4.1. Коррекция цвета живых зубов
Если изменение цвета связано с наличием флюороза или гипоплазии
эмали, то восстановление цвета зубов заключается в изготовлении ламина-
та. Для этого производится препарирование зуба с удалением вестибулярной эмали.Зубы с неправильным положением должны быть редуцированы настолько, чтобы гармонично адаптировать их к зубной дуге.При необходимости удлинить зуб препарировать следует не только с вестибулярной поверхности, но и с небной с созданием фальца.Во всех случаях при травмах необходимо проводить рентгенологическое исследование и учитывать данные ЭОД. Над зубом с помощью клиньев фиксируют матрицу — "козырек" и накладывается композит:
слой композита должен или не доходить до режущего края зуба на 1 мм или
перекрывать его с перекидыванием на оральную поверхность. Цветовая гамма включает цвета шейки, тела и цвет прозрачного режущего края. Известно,
что контактные поверхности в пришеечной I/3 зуба слегка темнее тона зуба. Если дентин живого зуба ярко окрашен или на нём естьпятна, то для маскировки цвета дентина применяют стеклоиономер или опакерные цвета композита. Сделав из опакера основу, на неё наносят цвета тела или шейки.
Этапы изготовления ламината.
1. Обезболивание.
2. Очистка поверхности зуба от налёта,
наложение коффердама.
3. Препарирование: удаление измененной в
цвете эмали и создание площадки для ламина-
та в форме окошка. Кривизна дна полости повторяет естественный ре-
льеф зуба. В случае необходимости перекрытия режущего края по нему
формируется широкий фальц с вестибулярной и оральной сторон.
4. Протравливание, смывание, высушивание.
5. Нанесение праймера.
6. Нанесение и отверждение адгезива.
7. Нанесение и отверждение опакера, если нужна маскировка.
8. Нанесение и отверждение цвета шейки.
9. Нанесение и отверждение цвета тела.
10. При перекрытии режущего края — нанесение цвета прозрачного режу-
щего края из двух слоев. Второй слой "приваривается" к первому.
11. Снятие коффердама и финишная обработка.
12. Финишное отсвечивание.
Изготовление искусственных зубов в полости рта
В случае полного отлома коронковой части зуба при сохранённой круго-
вой связке возможно восстановление зуба композитом на основе штифта или
с применением адгезивной системы. Для этой работы желательно использо-
вать коффердам, ретракционные нити и контурные матрицы.
5.1.Этапы формирования искусственного зуба на штифте
1. Корневой канал необходимо расширить бором на '/2 длины.
2. Ввести в канал предварительно выбраный анкерный штифт и зафик-
сировать его в канале на стеклоиономере. Вводить штифт в канал сле-
дует без сильного давления, чтобы не вызвать вертикальный перелом
корня зуба.
3. Головку штифта "раскрываем" ключом на лепестки для создания хо-
рошей механической адгезии , маскируем стеклоиономером
или опакером (если есть адгезивная система, позволяющая присоеди-
нить композит непосредственно к металлу). Штифт можно готовить
из нитей "Connect".
4. Если штифт покрыт стеклоиономером проводим протравливание, от-
мывание и высушивание. Наносим адгезив.
5. На культе из опакера или стеклоиономера с помощью прозрачной
матрицы моделируем нёбную стенку. Композит цвета эмали вводится
между матрицей и культей, прижимается через матрицу к культе паль-
цем и отверждается с вестибулярной стороны. Дополнительное отсве-
чивание проводится с нёбной стороны.
6. Фиксируем с нёбной стороны контурную вестибулярную матрицу и
накладываем цвета по схеме "шейка — тело — режущий край". После
наложения цвета тела необходимо гладилкой создать фестончатость
края перед использованием цвета "край резца". У центральных верх-
них резцов фестончатость выражена сильнее, чем у боковых.
7. Создаём с помощью финишных боров присущие данной группе зубов
анатомические особенности: скаты, неровности.
8. Финишная обработка и коррекция окклюзии.
9. Финишное отсвечивание.
5.2.Изготовление искусственного зуба без штифта
1. Расширение устьевой части корня и углубление её на 3 — 4 мм.
2. Протравливание, смывание и высушивание.
3. Нанесение праймера, адгезива и его отверждение.
4. Послойное моделирование культи, воспроизводящей форму дентина
из опакера. В ряде случаев на композитную культю изготавливается
коронка из металлокерамики. Этот метод применяется, если некроти-
ческие изменения корня не позволяют зафиксировать штифт или ли-
тую вкладку.
5. На культе из опакера с помощью прозрачной матрицы моделируем
нёбную стенку. Композит цвета эмали вводится между матрицей и
культей, прижимается через матрицу к культе пальцем и отверждается
с вестибулярной стороны. Дополнительное отсвечивание проводится с
нёбной стороны.
6. Фиксируем с вестибулярной стороны контурную вестибулярную мат-
рицу и накладываем цвета по схеме "шейка-тело-режущий край". После
наложения цвета тела прозрачного режущего края на краю композита
цвета тела необходимо создать фестончатость.
7. Создаём с помощью финишных боров присущие данной группе зубов
анатомические особенности: скаты, неровности, "талию" зуба, зени-
ты шеек.
8. Финишная обработка и коррекция окклюзии.
9. Финишное отсвечивание.
Закрытие трем и диастем
Ещё одним довольно распространённым дефектом зубных рядов являют-
ся тремы или диастемы (промежутки между зубами). Хотя, по мнению мно-
гих визажистов диастема придаёт улыбке неповторимую пикантность, мно-
гие пациенты хотят от неё избавится.
Как правило, причиной возникновения диастемы является аномалия
преддверия и прикрепления уздечки. В этом случае перед реставрацией па-
циент получает консультацию (а при необходимости и оперативное вмеша-
тельство) в хирургическом отделении.
Технически уменьшение или закрытие диастемы не представляет значи-
тельных сложностей. Следует решить, возможно ли полностью закрыть диас-
тему без вовлечения в процесс реставрации боковых резцов. Если диастема
слишком широкая, то её нельзя закрыть за счёт разширения центральных
резцов: необходимо разложить величину диастемы на 4 зуба. Мы считаем
такой вариант возможным лишь при явно уродующих улыбку диастемах или
при поражении боковых резцов кариесом. В других случаях предпочтительны
варианты уменьшения диастемы без вовлечения в процесс боковых резцов.
5.3.Этапы уменьшения или закрытия диастемы
1. Очистка поверхности от налёта абразивной пастой.
2. Наложение коффердама.
3. Снятие бором поверхностного слоя эмали с тех частей зубов, где будет
наложен композит.
4. Протравливание, смывание водой и высушивание.
5. Нанесение и отверждение адгезива (праймер не наносим, если нет
открытого дентина).
6. Послойное наложение композита с нёбной стороны между матрицей
и зубом (первое отсвечивание слоя композита через зуб с вестибуляр-
ной стороны. Досвечивание с нёбной стороны).
7. Послойное наложение композита на вестибулярную поверхность (пер-
вое отсвечивание — через зуб с небной стороны. Досвечивание с вес-
тибулярной стороны). При наложении композита необходимо ориен-
тироваться на природную прозрачность зубов и использовать оттенки
соответствующей прозрачности.
8. Удаление матриц, редакционных нитей и снятие коффердама.
9. Проверка окклюзии и необходимая коррекция.
10. Прохождение контактных поверхностей штрипсами и удаление нави-
сающих краёв.
11. Финишная обработка и полировка.
12. Финишное отсвечивание.
В зависимости от пола пациента моделирование углов зубов проводится
по-разному: для женщин больше подходят слегка закруглённые углы зубов,
предающие улыбке женственно-юный вид; для мужчин предпочтительны
прямые углы зубов, что считается мужественным типом. Этими же принци-
пами следует руководствоваться при проведении художественного контури-
рования. Особенно важно придерживаться этого правила с пациентами старше
среднего возраста, чьи фронтальные зубы имеют прямые углы в результате
возрастной стираемости. Небольшое закругление углов резцов придаёт па-
циентке более молодой вид.
6. Отделка, полировка и уход
Отделка устраняет излишки материала и позволяет получить характеристики поверхности, которые невозможно создать стратификацией при помощи кисти или шпателя. Для этой цели можно использовать боры с красным кольцом, в виде оливы. Для межпроксимальных областей предлагаются абразивные полоски из металла и бумаги, с нанесенной на них алмазной пастой. На этом этапе поверхность должна быть обработана силиконовыми инструментами. Их абразивность калибруется относительно состава, и они должны быть чистыми. Для воспроизведения микротекстуры необходимы низкоскоростные карборундовые боры.
 |
 |
 |
 |
 |
 |
Рис. 10-13
. Этапы стратификации. |
Рис. 14
. Реставрация после стадии отделки и полировки. |
Рис. 15
. Просвеченная реставрация с очевидной опалесценцией резцов и соотношением световой текстуры, сходным с естественным зубом. |
Фаза полировки не должна разрушать поверхность или делать ее плоской. Лучший инструмент -колесо из козьей щетины, пропитанное алмазной пастой: 3 микрона (Shiny А) и 1 микрон (Shiny В). Для придания поверхности блеска и для ухода предлагается паста из оксида алюминия (Shiny С), наносимая с помощью войлочного колеса.
Правильная реставрация передних зубов при помощи микрогибридного композита, с последующим уходом во время периодических визитов (когда производится повторная полировка, уход и т.п.), считается более благоприятной, чем ношение коронок, которые дают менее благоприятный эстетический прогноз из-за разрушений зубной ткани и тканей пародонта.
7.Возможные осложнения при проведении реставрации
Как в любой работе, при проведении реставраций могут возникнуть ослож-
нения. Наиболее частые — послеоперационная гиперчувствительность денти-
на, микроподтекание жидкости из дентинных трубочек и разгерметизация пломб.
: Краевую разгерметизацию можно предотвратить или свести её возник-
новение к минимуму с помощью применения технологии направленной по-
лимеризации композита. Микроподтекание и гиперчувствительность, что
особенно часто происходит при реставрации полостей V и II классов, можно
предотвратить с помощью праймера адгезивных систем четвёртого поколе-
ния, так как он способен "запечатывать" дентинные трубочки и фиксиро-
вать смазанный слой.Причиной возникновения гиперчувствительности дентина, развития пульпита после реставрации может стать пролонгированное травление дентина кислотой (более 15 сек.) при применении методики тотального протравливания полости под композит. Кислота разрушает пробки смазанного слоя и способствует раскрытию дентинных трубочек, увеличивая проницаемость
дентина для адгезива и композита. Но иногда адгезив и композит проника-
ют слишком глубоко в дентинные трубочки и недополимеризованный ком-
позит оказывает на пульпу раздражающее воздействие.
Часто гиперчувствительность дентина связана с его пересушиванием стру-
ёй воздуха из воздушного пистолета. При длительном действии сильной струи
воздуха на открытые дентинные трубочки протравленного дентина происхо-
дит выдувание дентинной жидкости с последующим смещением одонтоблас-
та в сторону полости. Нервное волокно растягивается или даже отрывается,
что сопровождается возникновением болевых ощущений. Однако во всех этих
случаях гиперчувствительность дентина носит временный характер и болевые
ощущения постепенно проходят (F.P. Ashley R.Orchardson, 1994r).
Для того, чтобы свести риск развития осложнений к минимуму, необхо-
димо:
1. проводить адекватную диференциальную диагностику, широко исполь-
зовать электроодонтометрию.
2. Тщательно препарировать ткани, поражённые кариесом. Диагности-
ческий зонд должен иметь острый неповреждённый кончик, так как
тупой зонд "скрипит" при зондировании кариозных тканей.
3. Соблюдать время воздействия кислоты на ткани зуба.
4. Тщательно смывать кислоту.
5. Не пересушивать протравленный дентин.
6. Строго соблюдать этапы нанесения компонентов адгезивной системы.
Иногда наблюдается развитие явлений локального гингивита в области
реставрации. Это может быть связано с тем, что в десневом желобке или
кармане остался отвержденный адгезив. Поэтому необходимо всегда прово-
дить ревизию карманов и удалять остатки адгезива, затёкшие туда под дей-
ствием воздушной струи и отверждённые при полимеризации. Часто разви-
тие явлений гингивита связано с некачественной обработкой пришеечной
части реставрации, когда "ступенька" из композита создаёт условия для
формирования бляшки, поддерживающей воспаление в десне и способству-
ющей развитию вторичного кариеса.
Для создания качественной поверхности в пришеечной области следует:
1. Пользоваться методом направленной полимеризации. Это предотвра-
тит краевой отрыв композита от тканей зуба.
2. "Проходить" (то есть обрабатывать пришеечную поверхность справа
налево и слева направо) финишными борами, добиваясь идеального
гладкого при зондировании перехода композит-эмаль или композит-цемент.
8.Заключение
Задача создания цветовой гармонии композитных реставраций стояла пред врачами с момента появления этих материалов. Большинство стоматологов пытались решить эту задачу путем привлечения собственных художественных навыков.
Сегодня многочисленные стоматологи по-прежнему считают, что эстетический результат определяется возможностями личных клинических методик, основанных на мастерстве врача и его художественных навыках при использовании различных материалов. Однако, клинический опыт и неудачи при создании реставраций показали, что лишь совокупность точных знаний, соответствующих материалов и личных художественных навыков может обеспечить правильное восприятие и понимание феномена цвета.
|