РЕФЕРАТ
ТЕМА: Променеві ознаки пухлин легенів
План
Вступ
Класифікація
Центральний рак легені
Бронхіолоальвеолярний рак
Верхівковий рак
Метастатичні пухлини легенів
Доброякісні пухлини
Література
В структурі загальної онкопатології рак легенів займає друге місце після раку шлунку, а серед чоловіків вийшов на перше місце (60-90% хворих помирають протягом першого року з моменту встановлення діагнозу із-за задавненості процесу). Це обумовлено несвоєчасною діагностикою: від 3 місяців до року пацієнти лікуються з приводу помилкового діагнозу туберкульозу, пневмонії або інших хвороб. В 2/3 всіх випадків рак легені локалізується в верхній частці. Ця закономірність зберігається як для периферичного, так і для центрального раку. Але нерідко із-за схожості рентгенологічної картини центрального раку та деяких форм туберкульозу легенів, при локалізації пухлини в верхній частці ставиться діагноз туберкульозу. А при нижньочастковій чи середньочастковій локалізації ставиться діагноз пневмонії. Але при туберкульозі, як і при пневмонії, зміни переважають на периферії, а при раці, навпаки, вони нарастають до кореня легені.
Широкого визнання набула класифікація раку по Ю.М. Соколову (1956), яка побудована на анатомо-рентгенологічних даних. По цій класифікації виділяють наступні види раку:
центральний;
периферичний;
верхівковий;
міліарний карциноз;
медіастинальний.
Але враховуючи, що верхівковий рак це периферичний рак відповідної локалізації, а міліарний карциноз та медіастинальний рак - це прояви метастазів раку легені гематогенного (в першому випадку) і лімфогенного (в другому випадку) розповсюдження, в сучасному поділі первинного раку легенів виділяють тільки три форми:
центральний;
периферичний;
бронхіолоальвеолярний.
Центральний рак легенів
має відносно прихований перебіг і часто пізно діагностується. Клінічні прояви його пов’язані зі стадією розвитку пухлини, яка приводить до порушення зовнішнього дихання, дренажної функції бронху або запальної реакції прилеглих тканин. До перших симптомів раку легені відноситься кашель (у 89% хворих), який частіше буває сухим або з відходженням мокротіння. В деяких випадках рак проявляється вперше задухою. Вираженість цього симптому залежить від характеру росту пухлини та калібру задіяних бронхів. Загальна слабкість, зменшення маси тіла та підвищення температури тіла є проявами інтоксикації і спостерігаються у 79-100% хворих. Їх вираженість пропорційна стадії патологічного процесу та супутньому запаленню. Кровохаркотіння, яке пов¢язане з розпадом пухлини та проростанням судинних стінок, залежить від розмірів ракового вузла і спостерігається у 40-50% хворих.
Забиваем Сайты В ТОП КУВАЛДОЙ - Уникальные возможности от SeoHammer
Каждая ссылка анализируется по трем пакетам оценки: SEO, Трафик и SMM.
SeoHammer делает продвижение сайта прозрачным и простым занятием.
Ссылки, вечные ссылки, статьи, упоминания, пресс-релизы - используйте по максимуму потенциал SeoHammer для продвижения вашего сайта.
Что умеет делать SeoHammer
— Продвижение в один клик, интеллектуальный подбор запросов, покупка самых лучших ссылок с высокой степенью качества у лучших бирж ссылок.
— Регулярная проверка качества ссылок по более чем 100 показателям и ежедневный пересчет показателей качества проекта.
— Все известные форматы ссылок: арендные ссылки, вечные ссылки, публикации (упоминания, мнения, отзывы, статьи, пресс-релизы).
— SeoHammer покажет, где рост или падение, а также запросы, на которые нужно обратить внимание.
SeoHammer еще предоставляет технологию Буст, она ускоряет продвижение в десятки раз,
а первые результаты появляются уже в течение первых 7 дней.
Зарегистрироваться и Начать продвижение
Променева діагностика центрального раку складається із виявлення самої пухлини, розповсюдженості пухлинного процесу та його ускладнень. Встановлено, що середній час подвоєння об¢єму пухлинного вузла легені складає біля 120-140 діб. Якщо прийняти за увагу, що пухлина виникає з однієї злоякісної клітини, то для того, щоб утворився пухлинний вузол діаметром 1 см, коли його можна виявити, необхідно 30 періодів подвоєння (1подвоєння - 4 місяця, тому це 10 років). Пухлина може рости в просвіт бронху (ендобронхіально), назовні (екзобронхіально), а також повздовж бронхіальних стволів (перибронхіально).
При ендобронхіальному рості
пухлина поступово звужує просвіт бронху, що викликає недостатність надходження повітря в відповідний сегмент легені і виникненню в ньому гіповентиляції. Ця ділянка на фоні повітряної легені стає менш прозора, що краще проявляється на вдиху при рентгеноскопії. При подальшому рості пухлини виникає клапанна емфізема, яка рентгенологічно краще проявляється на видиху збідненням судинного рисунка. Коли просвіт бронху повністю перекривається пухлиною розвивається ателектаз з оточуючим його запаленням (рис.1,2,3).
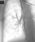
Справа в тому, що в ділянці легені, яка спалася, дія еластичної тяги приводить до розширення невеликих бронхів, артерій, вен та капілярів, що викликає збільшення кровонаповнення. Тому рано чи пізно в зоні ателектазу виникає запалення (рис.4). Враховуючи неспецифічність рентгенологічного зображення центрального раку легені на ранніх етапах розвитку, велике значення в діагностиці цієї форми набуває бронхоскопія, яка не тільки дає можливість встановити причину бронхостенозу, але і дозволяє отримати матеріал для морфологічного підтверждення діагнозу. Але для проведення диференційної діагностики виконують і бронхографію. Так ознаками пухлини, яка не повністю закриває просвіт бронху, на бронхограммі є дефект заповнення різної форми та довжини (в залежності від розмірів вузла та його конфігурації). При повній обтурації бронху спостерігається симптом „культі" чи „ампутації".
Сервис онлайн-записи на собственном Telegram-боте
Попробуйте сервис онлайн-записи VisitTime на основе вашего собственного Telegram-бота:
— Разгрузит мастера, специалиста или компанию;
— Позволит гибко управлять расписанием и загрузкой;
— Разошлет оповещения о новых услугах или акциях;
— Позволит принять оплату на карту/кошелек/счет;
— Позволит записываться на групповые и персональные посещения;
— Поможет получить от клиента отзывы о визите к вам;
— Включает в себя сервис чаевых.
Для новых пользователей первый месяц бесплатно.
Зарегистрироваться в сервисе
При екзобронхіальному рості
пухлини (рис.5) на початку захворювання немає ні клінічних ні рентгенологічних проявів. Поки діаметр вузла не стане більше діаметру великих гілок легеневої артерії чи вени, він не диференцюється. По мірі розвитку пухлини і інфільтрації стінки бронху також виникають гіповентиляція, клапанна емфізема і ателектаз. Їх рентгенологічні ознаки такі ж самі, як і при ендобронхіальному рості пухлини, але в даному випадку ще візуалізується тінь екзобронхіального раку. При КТ
дослідженні на зрізі кореня легені вже на початкових стадіях можна виявити відображення вузла, розташованого асиметрично і пов¢язаного зі стінкою бронху. При збільшенні пухлини до декількох сантиметрів і швидкому метастазуванні в лімфовузли корень виглядає поліциклічним, що іноді враховується як системне ураження лімфовузлів легені та середостіння. При подальшому рості раковий вузол починає розповсюджуватися по ходу бронхів та судин, що проявляється на рентгенограммах грубими тяжами - „променями”. Таким чином, різниця ендобронхіального та екзобронхіального росту пухлини складає в тому, що вузол ендобронхіального раку довго не визначається і на перший план виступають ознаки порушення вентиляції ділянки легені, яка вентилюється ураженим бронхом. При екзобронхіальному рості тінь ракового вузла виявляється раніше, а ознаки порушення вентиляції відповідної ділянки легені виявляються пізніше.
При рості пухлини перибронхіально
по ходу бронхів та судин (Рис.6) її вузол на ранніх стадіях не визначається. Просвіти бронхів спочатку залишаються вільними і ознак порушення вентиляції легені немає. По мірі збільшення пухлинне ураження рентгенологічно проявляється грубими тяжистими тінями, які направлені від кореня в легеню. При проростанні пухлини в вигляді муфт чи футлярів в стінку бронху та звуження його просвіту виникають ознаки гіповентиляції, що може викликати пневмонію. Для виявлення перибронхіального раку велике значення має бронхографія, коли визначається концентричне звуження ураженого бронху на значному протязі зі значним потовщенням його стінок.
Центральний рак ускладнюється
пневмонією, розпадом пухлини, плевритом, метастазами
в регіональні лімфатичні вузли. Необхідно пам¢ятати, якщо у осіб віком більше 30 років в одній частці однієї легені багаторазово спостерігаються пневмонії, то це може бути проявом ранніх стадій розвитку центрального раку. Але і саме пухлинне ураження досить часто ускладнюється запальним процесом. Справа в тому, що в зоні бронхостенозу та гіповентиляції виникає затримка секрету, інфікування з подальшим розвитком пневмонії. Після протизапального лікування може наступити покращення почуття, іноді нормалізується рентгенологічна картина. При прогресуванні запального процесу може виникнути гнійне розплавлення легеневої тканини з формуванням порожнини розпаду без рідини.
Виникнення плевриту пов¢язане з проростанням пухлини в плевру, здавленням та ураженням лімфатичних та кровоносних шляхів.
По метастазуванню раку легені в інші органи на першому місці стоять лімфатичні вузли кореня легені та середостіння, що рентгенологічно проявляється збільшенням коренів та змінами їх контурів (стають поліциклічними).
Периферичний рак
складає 20-30% від загальної кількості випадків раку легені. Виникає в стінці невеликого бронху або бронхіоли і на рентгенограммах визначається в різних ділянках легені за межами кореня, тому і називається периферичним. Пухлина може розташовуватися субплеврально чи досить на великій відстані від плеври. Як і центральний, периферичний рак частіше локалізується в правій легені (на першому місці передні сегменти верхніх часток). Він росте в вигляді вузла, об’єм якого подвоюється впродовж 112-141 діб. Периферичний рак легенів на ранніх стадіях розвитку майже не проявляється клінічно. Існують дані, що пухлина існує в середньому 3-5 років до появи перших клінічних проявів. Симптоми залежать від розміщення пухлинного вузла по відношенню до грудної стінки чи великих бронхів. Задійснення плеври в пухлинний процес проявляється біллю різного характеру та інтенсивності. Задишка є проявом метастазування первинного вузла в лімфатичні вузли середостіння чи міліарною дисемінацією в легенях. При проростанні пухлини в бронх значного калібру з’являється кашель, мокрота або кровохаркотіння. Нездужання, швидка втома, відсутність апетиту з’являються пізно і не мають специфічного характеру.
Рентгенологічно пухлина виявляється вузлом, який в залежності від розміру може мати полігональну форму (при діаметрі 1-1,5 см) або шароподібну (при діаметрі 3-4 см). Контури невеликої периферичної ракової пухлини частіше нечіткі із-за інфільтративного росту на ранніх стадіях розвитку. При розмірах пухлини більше 2,5 см в діаметрі її контури стають більш чіткими з короткими тяжами („спікулами”), що взагаллі складає картину злоякісної корони „Соrona maligna”. Інтенсивність тіні вузла залежить від її розмірів та ступеню щільності. Разом з ростом в пухлині розвиваються некробіотичні процеси, які стимулюють реактивну реакцію сполучної тканини з формуванням зірчатоподібного рубця. Нерідко в центрі вузла незалежно від його розміру виникає некроз з порожниною розпаду, що нагадує тонкостінне кістозне утворення з залишками пухлинної тканини в вигляді нерівномірного потовщення стінки кісти, а в самій порожнині - тканинний детрит та секвестри („перстень з печаткою”) (рис.7). У невеликій кількості випадків при периферичному розташуванні пухлини виявляють доріжку до кореня легені, яка обумовлена лімфангоїтом, або перибронхіальним чи периваскулярним ростом пухлини.
Лінійною томографією
виявляється пухлинний вузол діаметром не менше 1 см. Найбільш інформативним променевим методом виявлення невеликих вузлів (менше 0,8 см) є КТ та ПЕТ
.
Таким чином, периферичний рак на різних стадіях еволюції має різну променеву картину, тому і диференційно-діагностичний ряд в кожному випадку інший. На ранніх стадіях розвитку периферичний рак частіше виглядає як вогнище запалення, рідше - доброякісної пухлини чи кісти. Для диференційної діагностики вузла розміром до 3 см, слід провести направлену бронхографію. Виявлення узурації стінки, звуження просвіту або „культі" невеликих бронхів свідчить про проростання пухлини в ці бронхіальні гілки.
Частіше периферичний рак диференцюють з туберкульомою та доброякісною пухлиною (див. алгоритм № 3). В диференційній діагностиці слід враховувати клінічну картину, наявність пневмосклерозу, кальцинатів (лише 17% туберкульом без кальцинатів). Периферичний рак на початку захворювання має безсимптомний перебіг, а при загостренні туберкульоми є ознаки інтоксикації. Порожнина туберкульоми при бронхографії контрастується, тому що дренуючий її бронх залишається вільним, що є диференційною ознакою від порожнини раку.
По мірі росту вузла (діаметр більше 5-6 см) він проростає стовбури великих бронхів, що клінічно проявляється картиною центрального раку легені. В диференціюванні периферичного раку з іншими вузловими утвореннями труднощі викликають шароподібні пневмонії. Пухлинний вузол на відміну від пневмонічного при рентгенологічному дослідженні має більш високу оптичну щільність з неоднорідною структурою. Шароподібна пневмонія поступово розсмоктується і на її місці залишається зірчатоподібний рубець. В оцінці розповсюдженості злоякісного процесу, виявленні ураження головного бронху, легеневих судин, лімфатичних вузлів та інших структур середостіння допомагає КТ. В складних випадках виконують трансторакальну пункцію з біопсією. Селективна ангіографія також використовується з метою проведення диференційної діагностики шароподібних утворень. Виявлення обриву судин на межі вузла свідчить про наявність ракового утворення та проростання пухлини в судинні гілки.
З ускладнень периферичного раку слід відмітити:
1) розпад пухлини;
2) метастазування в регіонарні лімфовузли (медіастинальна форма раку);
3) метастазування в легені (міліарний карциноз);
4) плеврит;
5) вторинні запальні процеси.
Медіастинальний рак легенів
клінічно характеризується компресіонним синдромом ушкодження середостіння (синдром верхньої порожнистої вени, здавлення стравоходу та ін). Краще визначається на КТ як тінь з одного боку, яка закриває тінь кореня або проростає в середостіння (рис.8).
Міліарний карциноз легенів
рентгенологічно характеризується множинними тінями, діаметр яких від 1 до 3 мм. Легеневий рисунок не простежується.
Бронхіолоальвеолярний рак (аденоматоз легенів)
виникає з епітелія альвеол чи бронхіол і спостерігається у 5% всіх хворих на рак легені. Пухлина відрізняється повільними темпами росту: середній час подвоєння її об¢єму складає 350-500 діб. Клінічні прояви цього раку на початкових стадіях розвитку відсутні. Характерною ознакою бронхіолоальвеолярного раку є виділення великої кількості піністої слизово-водяністої мокроти.
Специфічних променевих ознак цього захворювання не має, як не існує і характерної локалізації. При бронхіолоальвеолярному раці зустрічаються всі відомі в рентгенології синдроми захворювань легенів: солітарний периферичний вузол чи пневмонієподібний інфільтрат, група вогнищ, які симулють туберкульоз, прикорневе, часткове чи субчасткове ущільнення, міліарна дисемінація та інше. Але частіше зустрічаються три форми: вузлова, пневмонієподібна та дисемінована. Процес може бути однобічним чи двобічним. Велике значення в діагностиці бронхіолоальвеолярного раку має цитологічне дослідження мокроти чи пункційна біопсія.
Верхівковий рак (рак Пенкоста)
має характерний інфільтративний ріст, порушення ребер, появи різких болей в руці (плексит) та тріади Горнера (птоз повіки, енофтальм, звуження зіниці). Це симптоми запущеного процесу, який поширився за межі легені.
Рентгенологічні ознаки верхівкового раку - тінь з дугоподібною нижньою межею в ділянці верхівки легені. Ця межа високо піднімається по мірі наближення до середостіння, тому максимальний розмір тіні відмічається в легені. Верхня межа не виявляється. Характерною ознакою цієї форми раку є деструкція задніх відрізків ребер, а також поперечних відтінків декількох хребців.
Метастатичні пухлини легенів
виникають при розповсюдженні пухлинних емболів гематогенним, лімфогенним і бронхогенним шляхами. Клініка при метастастатичному ураженні легенів складається з задухи, виділення мокротиння з кров’ю, біллю у грудній клітині, підвищення температури тіла та слабкості. Променева картина метастатичних пухлин залежить від шляху розповсюдження процесу. В разі гематогенного поширення пухлинні емболи осідають у найменших судинах легенів (артеріолах, капілярах, венулах), де в подальшому розвиваються метастази. Частіше вони локалізуються у поверхневих відділах легеневої паренхіми (нерідко субплеврально). За формою можуть бути округлі, вузлоподібні, інтерстиціальні, змішані з чіткими контурами. Метастази можуть виявлятися в різній кількості в одній або в двох легенях, в них не буває порожнини розпаду (рис.9) !
У разі лімфогенного занесення пухлинних мас пошкоджуються лімфатичні вузли навколо коренів легенів і середостіння, що призводить до пухлинного переродження лімфатичних вузлів. Ураження лімфовузлів приводить до подальшого застою в легенях і розвитку септичної метастатичної пневмонії.
При сцинтиграфічному дослідженні
з різними РФП: з Na131
I - для виявлення рецидиву та метастазів диференційованого раку щитоподібної залози в легені; з 67
Ga-цитратом - для виявлення метастазів в лімфовузли, останні виглядають як вогнища накопичення РФП в відповідних ділянках, уражених Mts.
Головною ознакоюпухлин, які можуть виникати з будь-якої тканини, що є у структурі легені (епітеліальної, сполучної, хрящової та ін) або із тканин, будова яких відхиляється від норми внаслідок порушення ембріогенезу (хондроми, дермоїди, тератоїди та ін.), є чіткі межі тіні на фоні незміненої легеневої тканини.
Загальна класифікація доброякісних пухлин легенів поділяє їх на дві групи: внутрішньо - та зовнішньобронхіальні. Перші рано викликають порушення бронхіальної проходимості, другі можуть досягати великих розмірів, не викликаючи суттєвих функціональних порушень. В кожній групі, в свою чергу, виділяють епітеліальні (аденоми, папіломи) та неепітеліальні (гамартоми, фіброми, міоми, ліпоми, невроми, тератоми) пухлини.
Рентгенологічними ознаками внутрішньобронхіальних пухлин є зменшення прозорості легені на боці ушкодження, різного ступеня тяжкості симптом Гольцкнехта-Якобсона, який залежить від ступеня стенозу головного бронха. Якщо пухлина обтурує бронх повністю, на рентгенограмі визначається ателектаз певної ділянки легені. Внутрішньобронхіальні пухлини діагностують також за допомогою бронхоскопії та бронхографії. Зовнішньобронхіальні пухлини, незалежно від гістологічної структури, проявляються, як правило, тінями із рівними чіткими контурами, які можуть бути хвилястими. Структура доброякісних пухлин залежить від їх генезу. Легеневий рисунок навколо пухлини не змінений.
Отже, показання до рентгенологічного дослідження легенів дуже широкі: підвищення температури тіла, кашель, виділення харкотиння, задишка, біль у грудях, немотивована слабкість та інші патологічні стани.
Всі методи рентгенологічного дослідження органів дихання поділяють на безконтрастні, контрастні та рентгенофункціональні.
Серед перших найчастіше використовуються: рентгеноскопія, рентгенографія, флюорографія, лінійна та комп’ютерна томографії.
Для характеристики стану трахеобронхіального дерева проводять штучне контрастування бронхіальної системи (бронхографію),
а при підозрі на патологію судин легенів штучне контрастування бронхіальних артерій чи гілок легеневої артерії (ангіопульмонографію).
Якщо потрібно встановити функціональні зміни органів дихання проводять рентгенологічне дослідження з визначеними пробами: Соколова-Вальсальви, Мюллера
.
  
Рис.1 Рис.2 Рис.3

Рис.4
 
Рис.5 Рис.6
 
Рис.7 Рис.8

Рис.9
1. Болезни системы дыхания под редакцией проф. Ивана Й. Йонкова и проф. Стефана Т. Тодорова. "Медицина и физкультура", София. 1966 г.
2. В.І. Мілько, Т.В. Топчій, А.П. Лазар. Рентгенодіагностика, “Нова книга", Вінниця. 2005 р.
3. Вибрані лекції з радіонуклідної діагностики та променевої терапії за ред. проф. А.П. Лазара. „Нова книга", Вінниця. 2006. - 197 с.
4. Дворяковский И.В., Федоров А.М., Ляшко В.В., и др. Возможности эхографии в диагностике острой пневмонии у детей // Материалы 1Съезда ассоциации специалистов УЗД в медицине. М. 1991. - 169 с.
5. Кальная Т.В., Самохина Н.В., Кальная Н.А. Возможности сочетанной рентгено ультразвуковой диагностики заболеваний органов грудной клетки у детей // Ультразв. диагн. акуш. гинекол. педиатр. N 2.1994. - 41 с.
6. Кравчук С.Ю., Лазар А.П. “Основи променевої діагностики", Чернівці, 2005 рік.
7. Кузнецов А.А., Иванищак Б.Е., Пикулев Л.А. Возможности ультразвука в диагностике крупозной пневмонии // Ультразв. диагн. N 2.1997. - 25 с.
8. Л.Д. Линденбратен, И.П. Королюк. "Медицинская радиология" М.: "Медицина", 2000. - 640 с.
9. Л.Д. Линденбратен, И.П. Королюк. "Медицинская рентгенология и радиология" М.: "Медицина", 1995. - 496с.
10. Л.Д. Линденбратен, Л.Б. Наумов. "Медицинская рентгенология" М.: "Медицина", 1974. - 383 с.
11. Л.С. Розенштраух, Н.И. Рыбакова, М.Г. Винер. "Рентгенодіагностика заболеваний органов дыхания" М.: "Медицина", 1984. - 640 с.
12. Общее руководство по радиологии. Редактор Х. Петерсон, в 2-х томах. Юбилейная книга МІСЕК 1995 г.
13. Пособие по ядерной медицине. Под ред. Т.П. Сиваченко. К.: "Вища школа", 1991. - 535с.
14. Променева діагностика. За ред. Г Ю Коваль. - К.: ОРБІС, т. І, т.2 1998. - 835с.
15. Руководство для врачей, направляющих пациентов на радиологическое исследование. Критерии выбора метода изображения. (Адаптировано Европейской комиссией и экспертами, представляющими Европейскую радиологию и Ядерную медицину. Согласовано с Европейской комиссией). МЗ Украины 2000. - 104 с.
16. Сапожников В.Г., Куликов В.А., Тарасова О.В., и др. О возможности эхографической диагностики кисты лёгких у новорожденных // Ультразв. диагн. акуш. гинекол. педиатр. N 4.1994. - С.76-78.
17. Тимофеев А.А., Волынец Г.В., Горячев С.В. Острые пневмонии у детей в эхографическом изображении // Ультразв. диагн. акуш. гинекол. педиатр. N 2.1995. - С.86-93.
18. Ультразвуковая диагностика в детской хирургии. Под. ред. Дворяковского И.В., Беляевой О.А. М. 1997. - С.119-127.
|